ARG44790
anti-Calcyphosine antibody
anti-Calcyphosine antibody for IHC-Formalin-fixed paraffin-embedded sections,Immunoprecipitation,Western blot and Human
Overview
| Product Description | Mouse Monoclonal antibody recognizes Calcyphosine |
|---|---|
| Tested Reactivity | Hu |
| Tested Application | IHC-P, IP, WB |
| Host | Mouse |
| Clonality | Monoclonal |
| Isotype | IgG2a |
| Target Name | Calcyphosine |
| Antigen Species | Human |
| Epitope | TTQLTQGPAG RTLGQTQASC PEPRPSMDAV DATMEKLRAQ CLSRGASGIQ GLARFFRQLD RDGSRSLDAD EFRQGLAKLG LVLDQAEAEG VCRKWDRNGS GTLDLEEFLR ALRPPMSQAR EAVIAAAFAK LDRSGDGVVT VDDLRGVYSG RAHPKVRSGE WTEDEVLRRF LDNFDSSEKD GQVTLAEFQD YYSGVSASMN TDEEFVAMMT |
| Conjugation | Un-conjugated |
| Alternate Names | CAPS; Calcyphosine; CAPS1; Thyroid Protein P24; Calcyphosine 1; Calcyphosin; MGC126562 |
Application Instructions
| Application Suggestion |
|
||||||||
|---|---|---|---|---|---|---|---|---|---|
| Application Note | * The dilutions indicate recommended starting dilutions and the optimal dilutions or concentrations should be determined by the scientist. |
Properties
| Form | Liquid |
|---|---|
| Purification | Protein A purification |
| Buffer | PBS with 0.09% sodium azide |
| Preservative | 0.09% sodium azide |
| Storage Instruction | For continuous use, store undiluted antibody at 2-8°C for up to a week. For long-term storage, aliquot and store at -20°C or below. Storage in frost free freezers is not recommended. Avoid repeated freeze/thaw cycles. Suggest spin the vial prior to opening. The antibody solution should be gently mixed before use. |
| Note | For laboratory research only, not for drug, diagnostic or other use. |
Bioinformation
| Database Links | |
|---|---|
| Gene Symbol | CAPS |
| Gene Full Name | Calcyphosine |
| Background | This gene encodes a calcium-binding protein, which may play a role in the regulation of ion transport. A similar protein was first described as a potentially important regulatory protein in the dog thyroid and was termed as R2D5 antigen in rabbit. Alternative splicing of this gene generates two transcript variants. [provided by RefSeq, Jul 2008] |
| Function | Calcium-binding protein. May play a role in cellular signaling events (Potential). [Uniprot] |
| Cellular Localization | Cytoplasm. [Uniprot] |
| PTM | Phosphoprotein. [Uniprot] |
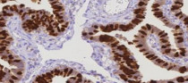
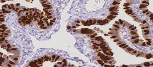
Images (3) Click the Picture to Zoom In
-
ARG44790 anti-Calcyphosine antibody IHC-P image
Immunohistochemistry: Human fallopian stained with ARG44790 anti-Calcyphosine antibody at 1 µg/mL dilution.
-
ARG44790 anti-Calcyphosine antibody WB image
Western blot: U251MG stained with ARG44790 anti-Calcyphosine antibody at 1 µg/mL dilution.
-
ARG44790 anti-Calcyphosine antibody IP image
Immunoprecipitation: U251MG lysate immunoprecipitated with 2.5 µg of ARG44790 anti-Calcyphosine antibody.
