ARG55053
anti-Calpain 6 antibody
anti-Calpain 6 antibody for ELISA,ICC/IF,IHC-Formalin-fixed paraffin-embedded sections,Western blot and Human,Mouse,Rat
Cell Biology and Cellular Response antibody; Signaling Transduction antibody
Overview
| Product Description | Rabbit Polyclonal antibody recognizes Calpain 6 |
|---|---|
| Tested Reactivity | Hu, Ms, Rat |
| Tested Application | ELISA, ICC/IF, IHC-P, WB |
| Host | Rabbit |
| Clonality | Polyclonal |
| Isotype | IgG |
| Target Name | Calpain 6 |
| Antigen Species | Human |
| Immunogen | Synthetic peptide (18 aa) within the last 50 aa of Human Calpain 6 protein. |
| Conjugation | Un-conjugated |
| Alternate Names | DJ914P14.1; CANPX; CalpM; Calpain-6; Calpain-like protease X-linked; Calpamodulin; CAPNX |
Application Instructions
| Application Suggestion |
|
||||||||||
|---|---|---|---|---|---|---|---|---|---|---|---|
| Application Note | * The dilutions indicate recommended starting dilutions and the optimal dilutions or concentrations should be determined by the scientist. | ||||||||||
| Positive Control | Rat Lung Tissue Lysate |
Properties
| Form | Liquid |
|---|---|
| Purification | Affinity purification with immunogen. |
| Buffer | PBS and 0.02% Sodium azide |
| Preservative | 0.02% Sodium azide |
| Concentration | 1 mg/ml |
| Storage Instruction | For continuous use, store undiluted antibody at 2-8°C for up to a week. For long-term storage, aliquot and store at -20°C or below. Storage in frost free freezers is not recommended. Avoid repeated freeze/thaw cycles. Suggest spin the vial prior to opening. The antibody solution should be gently mixed before use. |
| Note | For laboratory research only, not for drug, diagnostic or other use. |
Bioinformation
| Database Links | |
|---|---|
| Gene Symbol | CAPN6 |
| Gene Full Name | calpain 6 |
| Background | CAPN6 Antibody: Calpains make up a ubiquitously expressed, well-conserved family of calcium-dependent cysteine proteases. The calpain proteins are heterodimers consisting of an invariant small subunit and variable large subunits. This large subunit possesses a cysteine protease domain, and both subunits possess calcium-binding domains. Calpains have been implicated in neurodegenerative processes as their activation can be triggered by calcium influx and oxidative stress. Calpain 6 (CAPN6) is most similar to Calpain 5; the C-terminal region of CAPN6 lacks homology to the calmodulin-like domain of other vertebrate calpains. CAPN6 is thought to be involved in the regulation of microtubule dynamics and cytoskeletal organization. CAPN6 has also been recently identified as an HIV dependency factor (HDF), suggesting that CAPN6 may be an important drug target in HIV treatment. |
| Function | Microtubule-stabilizing protein that may be involved in the regulation of microtubule dynamics and cytoskeletal organization. May act as a regulator of RAC1 activity through interaction with ARHGEF2 to control lamellipodial formation and cell mobility. Does not seem to have protease activity as it has lost the active site residues (By similarity). [UniProt] |
| Research Area | Cell Biology and Cellular Response antibody; Signaling Transduction antibody |
| Calculated MW | 75 kDa |
Images (3) Click the Picture to Zoom In
-
ARG55053 anti-Calpain 6 antibody WB image
Western blot: rat lung tissue lysate stained with ARG55053 anti-Calpain 6 antibody at (A) 0.5 and (B) 1 ug/ml dilution.
-
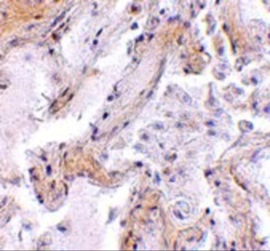
ARG55053 anti-Calpain 6 antibody IHC image
Immunohistochemistry: CAPN6 in human lung tissue stained with ARG55053 anti-Calpain 6 antibody at 2.5 ug/ml dilution.
-
ARG55053 anti-Calpain 6 antibody ICC/IF image
Immunofluorescence: Human Lung cells stained with ARG55053 anti-Calpain 6 antibody at 20 ug/ml dilution.
