ARG64979
anti-Calponin 2 antibody
anti-Calponin 2 antibody for IHC-Formalin-fixed paraffin-embedded sections,Western blot and Human
Cell Biology and Cellular Response antibody; Signaling Transduction antibody
Overview
| Product Description | Goat Polyclonal antibody recognizes Calponin 2 |
|---|---|
| Tested Reactivity | Hu |
| Tested Application | IHC-P, WB |
| Specificity | This antibody is expected to recognize both reported isoforms (NP_004359.1; NP_958434.1), but it is not expected to cross-react with CCN3. |
| Host | Goat |
| Clonality | Polyclonal |
| Isotype | IgG |
| Target Name | Calponin 2 |
| Antigen Species | Human |
| Immunogen | C-DPGEVPEYPPYYQEE |
| Conjugation | Un-conjugated |
| Alternate Names | Calponin-2; Neutral calponin; Calponin H2, smooth muscle |
Application Instructions
| Application Suggestion |
|
||||||
|---|---|---|---|---|---|---|---|
| Application Note | WB: Recommend incubate at RT for 1h. IHC-P: Antigen Retrieval: Steam tissue section in Citrate buffer (pH 6.0). * The dilutions indicate recommended starting dilutions and the optimal dilutions or concentrations should be determined by the scientist. |
Properties
| Form | Liquid |
|---|---|
| Purification | Purified from goat serum by antigen affinity chromatography. |
| Buffer | Tris saline (pH 7.3), 0.02% Sodium azide and 0.5% BSA. |
| Preservative | 0.02% Sodium azide |
| Stabilizer | 0.5% BSA |
| Concentration | 0.5 mg/ml |
| Storage Instruction | For continuous use, store undiluted antibody at 2-8°C for up to a week. For long-term storage, aliquot and store at -20°C or below. Storage in frost free freezers is not recommended. Avoid repeated freeze/thaw cycles. Suggest spin the vial prior to opening. The antibody solution should be gently mixed before use. |
| Note | For laboratory research only, not for drug, diagnostic or other use. |
Bioinformation
| Database Links | |
|---|---|
| Background | The protein encoded by this gene, which can bind actin, calmodulin, troponin C, and tropomyosin, may function in the structural organization of actin filaments. The encoded protein could play a role in smooth muscle contraction and cell adhesion. Two transcript variants encoding different isoforms have been found for this gene. [provided by RefSeq, Jul 2008] |
| Research Area | Cell Biology and Cellular Response antibody; Signaling Transduction antibody |
| Calculated MW | 34 kDa |
Images (2) Click the Picture to Zoom In
-
ARG64979 anti-Calponin 2 antibody WB image
Western blot: HepG2 lysates (35 µg protein in RIPA buffer) with (B) and without (A) blocking with the immunising peptide. stained with ARG64979 anti-Calponin 2 antibody at 0.03 µg/ml dilution.
-
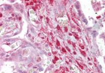
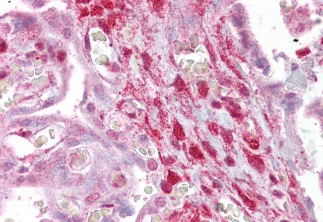
ARG64979 anti-Calponin 2 antibody IHC-P image
Immunohistochemistry: Paraffin-embedded Human placenta tissue. Antigen Retrieval: Steam tissue section in Citrate buffer (pH 6.0). The tissue section was stained with ARG64979 anti-Calponin 2 antibody at 2.5 µg/ml dilution followed by AP-staining.
