ARG66033
anti-Cardiotrophin 1 antibody
anti-Cardiotrophin 1 antibody for ELISA,IHC-Formalin-fixed paraffin-embedded sections,Neutralizing,Western blot and Human
Overview
| Product Description | Rabbit Polyclonal antibody recognizes Cardiotrophin 1 |
|---|---|
| Tested Reactivity | Hu |
| Tested Application | ELISA, IHC-P, Neut, WB |
| Host | Rabbit |
| Clonality | Polyclonal |
| Isotype | IgG |
| Target Name | Cardiotrophin 1 |
| Antigen Species | Human |
| Immunogen | E. coli derived recombinant Human Cardiotrophin 1. (SRREGSLEDP QTDSSVSLLP HLEAKIRQTH SLAHLLTKYA EQLLQEYVQL QGDPFGLPSF SPPRLPVAGL SAPAPSHAGL PVHERLRLDA AALAALPPLL DAVCRRQAEL NPRAPRLLRR LEDAARQARA LGAAVEALLA ALGAANRGPR AEPPAATASA ASATGVFPAK VLGLRVCGLY REWLSRTEGD LGQLLPGGSA) |
| Conjugation | Un-conjugated |
| Alternate Names | CT-1; CT1; Cardiotrophin-1 |
Application Instructions
| Application Suggestion |
|
||||||||||
|---|---|---|---|---|---|---|---|---|---|---|---|
| Application Note | IHC-P: Antigen Retrieval: Boil tissue section in Sodium Citrate buffer (pH 6.0) followed by cooling at RT for 20 min. * The dilutions indicate recommended starting dilutions and the optimal dilutions or concentrations should be determined by the scientist. |
Properties
| Form | Liquid |
|---|---|
| Purification | Affinity purification with immunogen. |
| Buffer | PBS (pH 7.2) |
| Concentration | 1 mg/ml |
| Storage Instruction | For continuous use, store undiluted antibody at 2-8°C for up to a week. For long-term storage, aliquot and store at -20°C or below. Storage in frost free freezers is not recommended. Avoid repeated freeze/thaw cycles. Suggest spin the vial prior to opening. The antibody solution should be gently mixed before use. |
| Note | For laboratory research only, not for drug, diagnostic or other use. |
Bioinformation
| Database Links | |
|---|---|
| Gene Symbol | CTF1 |
| Gene Full Name | cardiotrophin 1 |
| Background | The protein encoded by this gene is a secreted cytokine that induces cardiac myocyte hypertrophy in vitro. It has been shown to bind and activate the ILST/gp130 receoptor. Two transcript variants encoding different isoforms have been found for this gene. [provided by RefSeq, Dec 2008] |
| Function | Induces cardiac myocyte hypertrophy in vitro. Binds to and activates the ILST/gp130 receptor. [UniProt] |
| Calculated MW | 21 kDa |
Images (2) Click the Picture to Zoom In
-
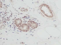
ARG66033 anti-Cardiotrophin 1 antibody IHC-P image
Immunohistochemistry: Formalin-fixed and paraffin-embedded sections of Human breast invasive ductal carcinoma. The recommended ARG66033 anti-Cardiotrophin 1 antibody concentration is 0.25 µg/ml with an overnight incubation at 4°C. An HRP-labeled polymer detection system was used with a DAB chromogen. Antigen Retrieval: Boil tissue section in Sodium Citrate buffer (pH 6.0) followed by cooling at RT for 20 min.
-
ARG66033 anti-Cardiotrophin 1 antibody standard curve image
Sandwich ELISA: ARG66033 anti-Cardiotrophin 1 antibody as a capture antibody at 0.5 - 2.0 µg/ml combined with ARG66034 anti-Cardiotrophin 1 antibody (Biotin) as a detection antibody. Results of a typical standard run with optical density reading at 405 - 650 nm.
