ARG10734
anti-Cas9 (S. Pyogenes) antibody
anti-Cas9 (S. Pyogenes) antibody for ICC/IF,IHC-Frozen sections,Western blot and Bacteria
Overview
| Product Description | Rabbit Polyclonal antibody recognizes Cas9 (S. Pyogenes) |
|---|---|
| Tested Reactivity | Bacteria |
| Tested Application | ICC/IF, IHC-Fr, WB |
| Host | Rabbit |
| Clonality | Polyclonal |
| Isotype | IgG |
| Target Name | Cas9 (S. Pyogenes) |
| Antigen Species | Bacteria |
| Immunogen | N-terminal region, aa. 1-608 and C-terminal region, aa. 814-1372 of Cas9 sequence CDJ55032.1 from S. pyogenes, expressed in and purified from E. coli. |
| Conjugation | Un-conjugated |
Application Instructions
| Application Suggestion |
|
||||||||
|---|---|---|---|---|---|---|---|---|---|
| Application Note | * The dilutions indicate recommended starting dilutions and the optimal dilutions or concentrations should be determined by the scientist. |
Properties
| Form | Liquid |
|---|---|
| Purification | Affinity purification. |
| Buffer | PBS and 50% Glycerol. |
| Stabilizer | 50% Glycerol |
| Concentration | 1 mg/ml |
| Storage Instruction | For continuous use, store undiluted antibody at 2-8°C for up to a week. For long-term storage, aliquot and store at -20°C. Storage in frost free freezers is not recommended. Avoid repeated freeze/thaw cycles. Suggest spin the vial prior to opening. The antibody solution should be gently mixed before use. |
| Note | For laboratory research only, not for drug, diagnostic or other use. |
Bioinformation
| Highlight | Related products: Cas9 antibodies; Anti-Rabbit IgG secondary antibodies; Related news: How snakes lose the limbs? CRISPR/Cas9 technique tell you the answer |
|---|
Images (3) Click the Picture to Zoom In
-
ARG10734 anti-Cas9 (S. Pyogenes) antibody ICC/IF image
Immunocytochemistry: Hek293 cell culture transfected with a construct including the C-terminal 814-1372 amino acids of Staphylococcus pyogenes Cas9. The cells were stained with ARG10734 anti-Cas9 (S. Pyogenes) antibody (red) and also with a chicken antibody to S. pyogenes Cas9 (green). A cell expressing Cas9 therefore appears yellow. Most Hek293 cells are not transfected so only the nucleus of these cells can be visualized with the blue DNA stain.
-
ARG10734 anti-Cas9 (S. Pyogenes) antibody WB image
Western blot: 1) 100 ng, and 2) 10 ng of full length Cas9 protein from Streptococcus pyogenes was stained with ARG10734 anti-Cas9 (S. Pyogenes) antibody at 1:2000 dilution. This antibody recognizes full length Cas9 protein at 160 kDa and a proteolytic fragment at 130 kDa.
-
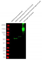
ARG10734 anti-Cas9 (S. Pyogenes) antibody WB image
Western blot: 1) HEK293 (non-transfected), 2) transfected HEK293 expressing the C-terminal aa. 814-1372 of Cas9 from S. pyogenes, 3) transfected HEK293 expressing the N-terminal 608 amino acids of Cas9 from S. pyogenes and 4) 40 ng of full length S. pyogenes Cas9 protein. The blots were stained with ARG10734 anti-Cas9 (S. Pyogenes) antibody (green) at 1: 1000 dilution.
