ARG55177
anti-Caspase 12 antibody
anti-Caspase 12 antibody for ELISA,ICC/IF,IHC-Formalin-fixed paraffin-embedded sections,Western blot and Human,Mouse,Rat
Cancer antibody; Cell Biology and Cellular Response antibody; Cell Death antibody; Metabolism antibody; Neuroscience antibody
Overview
| Product Description | Rabbit Polyclonal antibody recognizes Caspase 12 |
|---|---|
| Tested Reactivity | Hu, Ms, Rat |
| Tested Application | ELISA, ICC/IF, IHC-P, WB |
| Specificity | This antibody can be used for the detection of both the propeptide and cleaved forms of Caspase-12. |
| Host | Rabbit |
| Clonality | Polyclonal |
| Isotype | IgG |
| Target Name | Caspase 12 |
| Antigen Species | Mouse |
| Immunogen | Synthetic peptide (16 aa) within aa. 170-220 of Mouse Caspase-12. |
| Conjugation | Un-conjugated |
| Alternate Names | Inactive caspase-12; CASP-12; CASP12P1 |
Application Instructions
| Application Suggestion |
|
||||||||||
|---|---|---|---|---|---|---|---|---|---|---|---|
| Application Note | * The dilutions indicate recommended starting dilutions and the optimal dilutions or concentrations should be determined by the scientist. | ||||||||||
| Positive Control | Human Heart Tissue Lysate |
Properties
| Form | Liquid |
|---|---|
| Purification | Affinity purification with immunogen. |
| Buffer | PBS and 0.02% Sodium azide |
| Preservative | 0.02% Sodium azide |
| Concentration | 1 mg/ml |
| Storage Instruction | For continuous use, store undiluted antibody at 2-8°C for up to a week. For long-term storage, aliquot and store at -20°C or below. Storage in frost free freezers is not recommended. Avoid repeated freeze/thaw cycles. Suggest spin the vial prior to opening. The antibody solution should be gently mixed before use. |
| Note | For laboratory research only, not for drug, diagnostic or other use. |
Bioinformation
| Database Links | |
|---|---|
| Gene Symbol | Casp12 |
| Gene Full Name | caspase 12 |
| Background | Three distinct signaling pathways lead to programmed cell death (apoptosis). The death receptor and mitochondrion pathways are the mains, in which the key apoptotic proteases capase-8 and caspase-9, respectively, are involved. The endoplasmic reticulum (ER) stress is the third apoptotic pathway and caspase-12 is involved. Caspase-12 is localized to the ER but not to cytoplasm or mitochondrion. Caspase-12 is activated by ER stress, including disruption of ER calcium homeostasis, and mediates ER stress-induced apoptosis. Caspase-12 is co-localized to the ER with several proteins that are involved in Alzheimer's disease including gamma-secretase presenilin and beta-amyloid precursor protein (APP). Caspase-12 mediates cytotoxicity induced by amyloid-beta. Caspase-12 is ubiquitously expressed in mouse tissues. |
| Function | Involved in the activation cascade of caspases responsible for apoptosis execution. [UniProt] |
| Highlight | Related products: Caspase12 antibodies; Anti-Rabbit IgG secondary antibodies; |
| Research Area | Cancer antibody; Cell Biology and Cellular Response antibody; Cell Death antibody; Metabolism antibody; Neuroscience antibody |
| Calculated MW | 39 kDa |
Images (4) Click the Picture to Zoom In
-
ARG55177 anti-Caspase 12 antibody WB image
Western blot: Human heart lysate stained with ARG55177 anti-Caspase 12 antibody at (A) 0.5, (B) 1, and (C) 2 ug/ml dilution.
-
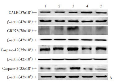
ARG55177 anti-Caspase 12 antibody WB image
Western blot: Human hepatic stellate cell stained with ARG20531 anti-BiP / GRP78 antibody, ARG54938 anti-Caspase 3 antibody, ARG55123 anti-Calreticulin antibody, ARG55177 anti-Caspase 12 antibody, and ARG65683 anti-beta Actin antibody. Secondary Antibody stained with ARG65351 Goat anti-Rabbit IgG antibody (HRP).
From DAI Linyu et al. Journal of Third Military Medical University (2021), doi: 10-16016-j-1000-5404-202012010, Fig. 4.
-
ARG55177 anti-Caspase 12 antibody IHC image
Immunohistochemistry: Human heart tissue stained with ARG55177 anti-Caspase 12 antibody at 2 ug/ml dilution.
-
ARG55177 anti-Caspase 12 antibody IHC image
Immunohistochemistry: Caspase-12 in Human Heart tissue stained with ARG55177 anti-Caspase 12 antibody at 10 ug/ml dilution.
Customer's Feedback
Specific References

