ARG55179
anti-Caspase 14 antibody
anti-Caspase 14 antibody for ELISA,IHC-Formalin-fixed paraffin-embedded sections,Western blot and Human,Mouse,Rat
Cell Biology and Cellular Response antibody; Cell Death antibody
Overview
| Product Description | Rabbit Polyclonal antibody recognizes Caspase 14 |
|---|---|
| Tested Reactivity | Hu, Ms, Rat |
| Tested Application | ELISA, IHC-P, WB |
| Host | Rabbit |
| Clonality | Polyclonal |
| Isotype | IgG |
| Target Name | Caspase 14 |
| Antigen Species | Mouse |
| Immunogen | Synthetic peptide (16 aa) within the last 50 aa of Mouse Caspase-14. |
| Conjugation | Un-conjugated |
| Alternate Names | EC 3.4.22.-; CASP-14; Caspase-14 |
Application Instructions
| Application Suggestion |
|
||||||||
|---|---|---|---|---|---|---|---|---|---|
| Application Note | * The dilutions indicate recommended starting dilutions and the optimal dilutions or concentrations should be determined by the scientist. | ||||||||
| Positive Control | Jurkat Cell Lysate |
Properties
| Form | Liquid |
|---|---|
| Purification | Affinity purification with immunogen. |
| Buffer | PBS and 0.02% Sodium azide |
| Preservative | 0.02% Sodium azide |
| Concentration | 1 mg/ml |
| Storage Instruction | For continuous use, store undiluted antibody at 2-8°C for up to a week. For long-term storage, aliquot and store at -20°C or below. Storage in frost free freezers is not recommended. Avoid repeated freeze/thaw cycles. Suggest spin the vial prior to opening. The antibody solution should be gently mixed before use. |
| Note | For laboratory research only, not for drug, diagnostic or other use. |
Bioinformation
| Database Links | |
|---|---|
| Gene Symbol | Casp14 |
| Gene Full Name | caspase 14 |
| Background | Caspases are a family of cysteine proteases that can be divided into apoptotic and inflammatory caspase subfamilies. Unlike the apoptotic caspases, members of the inflammatory subfamily are generally not involved in cell death but are associated with the immune response to microbial pathogens. Members of this subfamily include caspase-1, -4, -5, and -12 and can activate proinflammatory cytokines such as IL-1b and IL-18. Caspase-14 is highly expressed in embryonic but not adult tissues. It is processed and activated by caspase 8 and caspase 10 in vitro, and by anti-Fas agonist antibody or TNF-related apoptosis inducing ligand in vivo. The expression and processing of this caspase may be involved in the keratinocyte terminal differentiation, which is important for the formation of the skin barrier. |
| Function | Non-apoptotic caspase which is involved in epidermal differentiation. Seems to play a role in keratinocyte differentiation and is required for cornification (PubMed:18156206). Regulates maturation of the epidermis by proteolytically processing filaggrin (PubMed:21654840). In vitro is equally active on the synthetic caspase substrates WEHD-ACF and IETD-AFC. Involved in processing of prosaposin in the epidermis (PubMed:24872419). May be involved in retinal pigment epithelium cell barrier function (By similarity). [UniProt] |
| Research Area | Cell Biology and Cellular Response antibody; Cell Death antibody |
| Calculated MW | 28 kDa |
| PTM | Maturation by proteolytic processing appears to be a two-step process. The precursor is processed by KLK7 to yield the p20/p8 intermediate form which acts on the precursor to yield the p17/p10 mature form (PubMed:22825846). Initially, cleavage between Ile-152 and Lys-153 has been proposed to yield the large and small subunits of the active enzyme (PubMed:12200134). |
Images (2) Click the Picture to Zoom In
-
ARG55179 anti-Caspase 14 antibody WB image
Western blot: Jurkat cell lysate in the (A) absence or (B) presence of blocking peptide stained with ARG55179 anti-Caspase 14 antibody at 1 ug/ml dilution.
-
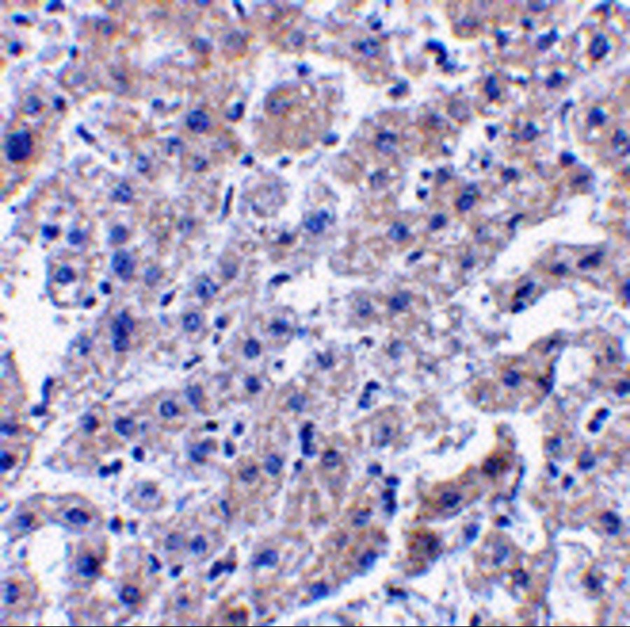
ARG55179 anti-Caspase 14 antibody IHC image
Immunohistochemistry: caspase-14 in Human liver tissue stained with ARG55179 anti-Caspase 14 antibody at 2.5 ug/ml dilution.
