ARG41679
anti-Caspase 6 (fullength + P18) antibody
anti-Caspase 6 (fullength + P18) antibody for IHC-Frozen sections,IHC-Formalin-fixed paraffin-embedded sections,Western blot and Mouse,Rat
Overview
| Product Description | Rabbit Polyclonal antibody recognizes Caspase 6 (fullength + P18) |
|---|---|
| Tested Reactivity | Ms, Rat |
| Tested Application | IHC-Fr, IHC-P, WB |
| Host | Rabbit |
| Clonality | Polyclonal |
| Isotype | IgG |
| Target Name | Caspase 6 (fullength + P18) |
| Antigen Species | Rat |
| Immunogen | Synthetic peptide corresponding to aa. 7-27 of Rat Caspase 6 (P18). (FYRSREVLDPAEQYKMDHKRR) |
| Conjugation | Un-conjugated |
| Alternate Names | MCH2; EC 3.4.22.59; CASP-6; Caspase-6; Apoptotic protease Mch-2 |
Application Instructions
| Application Suggestion |
|
||||||||
|---|---|---|---|---|---|---|---|---|---|
| Application Note | * The dilutions indicate recommended starting dilutions and the optimal dilutions or concentrations should be determined by the scientist. | ||||||||
| Observed Size | ~ 33 kDa |
Properties
| Form | Liquid |
|---|---|
| Purification | Affinity purification with immunogen. |
| Buffer | 0.2% Na2HPO4, 0.9% NaCl, 0.05% Thimerosal, 0.05% Sodium azide and 5% BSA. |
| Preservative | 0.05% Thimerosal and 0.05% Sodium azide |
| Stabilizer | 5% BSA |
| Concentration | 0.5 mg/ml |
| Storage Instruction | For continuous use, store undiluted antibody at 2-8°C for up to a week. For long-term storage, aliquot and store at -20°C or below. Storage in frost free freezers is not recommended. Avoid repeated freeze/thaw cycles. Suggest spin the vial prior to opening. The antibody solution should be gently mixed before use. |
| Note | For laboratory research only, not for drug, diagnostic or other use. |
Bioinformation
| Database Links | |
|---|---|
| Gene Symbol | CASP6 |
| Gene Full Name | caspase 6, apoptosis-related cysteine peptidase |
| Background | This gene encodes a protein which is a member of the cysteine-aspartic acid protease (caspase) family. Sequential activation of caspases plays a central role in the execution-phase of cell apoptosis. Caspases exist as inactive proenzymes which undergo proteolytic processing at conserved aspartic residues to produce two subunits, large and small, that dimerize to form the active enzyme. This protein is processed by caspases 7, 8 and 10, and is thought to function as a downstream enzyme in the caspase activation cascade. Alternative splicing of this gene results in two transcript variants that encode different isoforms. [provided by RefSeq, Jul 2008] |
| Function | Involved in the activation cascade of caspases responsible for apoptosis execution. Cleaves poly(ADP-ribose) polymerase in vitro, as well as lamins. Overexpression promotes programmed cell death. [UniProt] |
| Cellular Localization | Cytoplasm. [UniProt] |
| Calculated MW | 33 kDa |
| PTM | Cleavages by caspase-3, caspase-8 or -10 generate the two active subunits. [UniProt] |
Images (5) Click the Picture to Zoom In
-
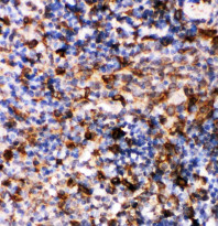
ARG41679 anti-Caspase 6 (fullength + P18) antibody IHC-P image
Immunohistochemistry: Paraffin-embedded Rat spleen tissue stained with ARG41679 anti-Caspase 6 (fullength + P18) antibody.
-
ARG41679 anti-Caspase 6 (fullength + P18) antibody WB image
Western blot: Rat liver, Rat kidney, Rat testis, NRK cell, Mouse liver, Mouse kidney and Mouse testis lysates stained with ARG41679 anti-Caspase 6 (fullength + P18) antibody.
-
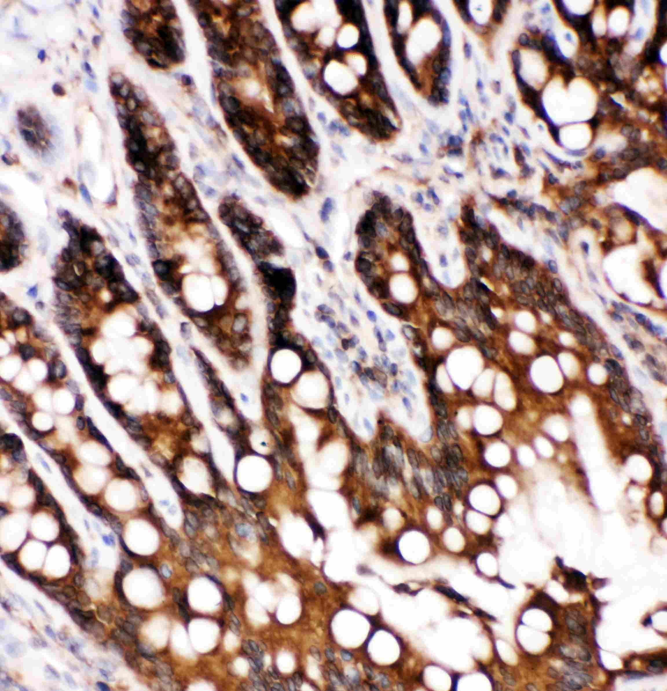
ARG41679 anti-Caspase 6 (fullength + P18) antibody IHC-P image
Immunohistochemistry: Paraffin-embedded Rat intestine tissue stained with ARG41679 anti-Caspase 6 (fullength + P18) antibody.
-
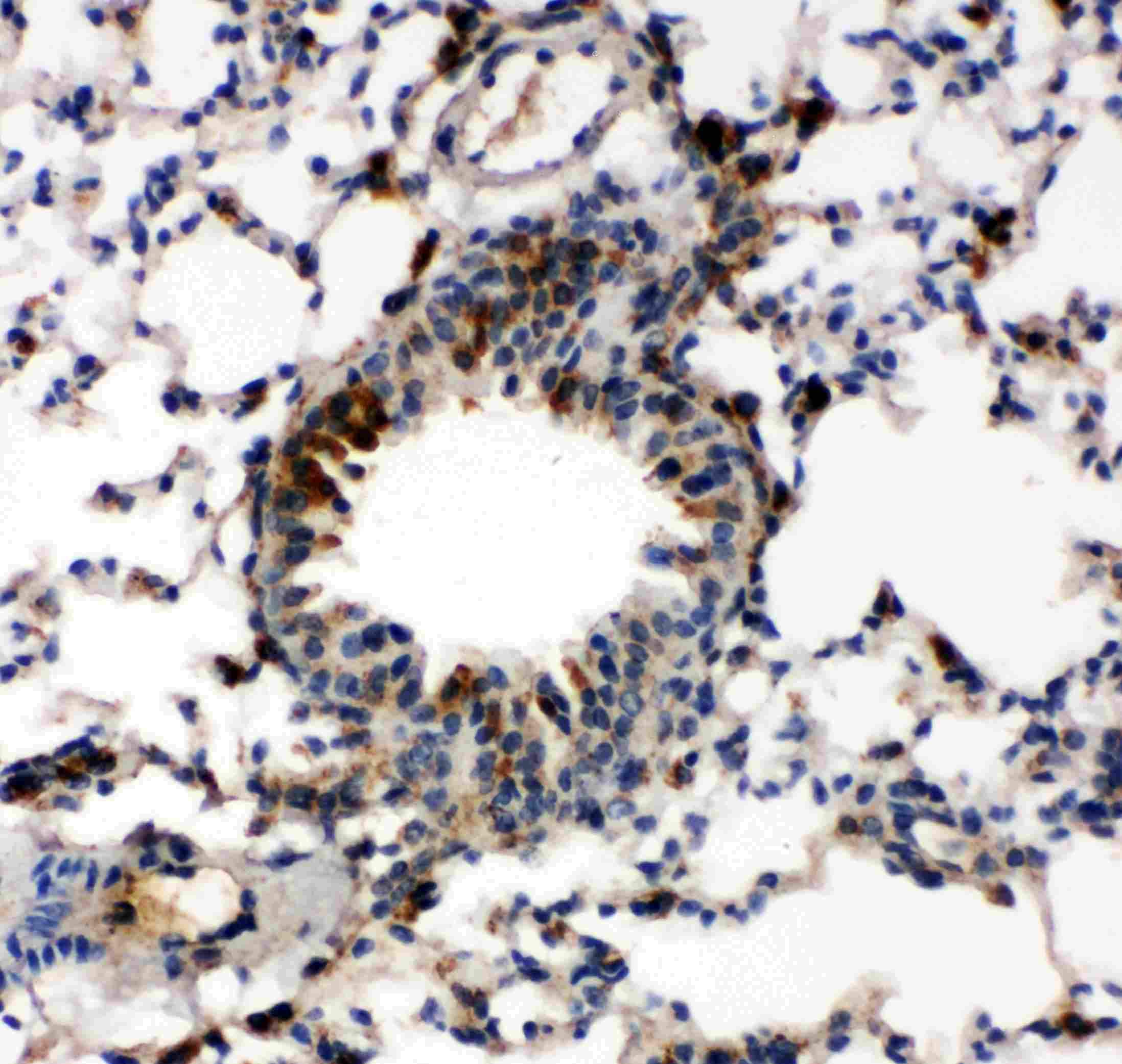
ARG41679 anti-Caspase 6 (fullength + P18) antibody IHC-P image
Immunohistochemistry: Paraffin-embedded Mouse lung tissue stained with ARG41679 anti-Caspase 6 (fullength + P18) antibody.
-
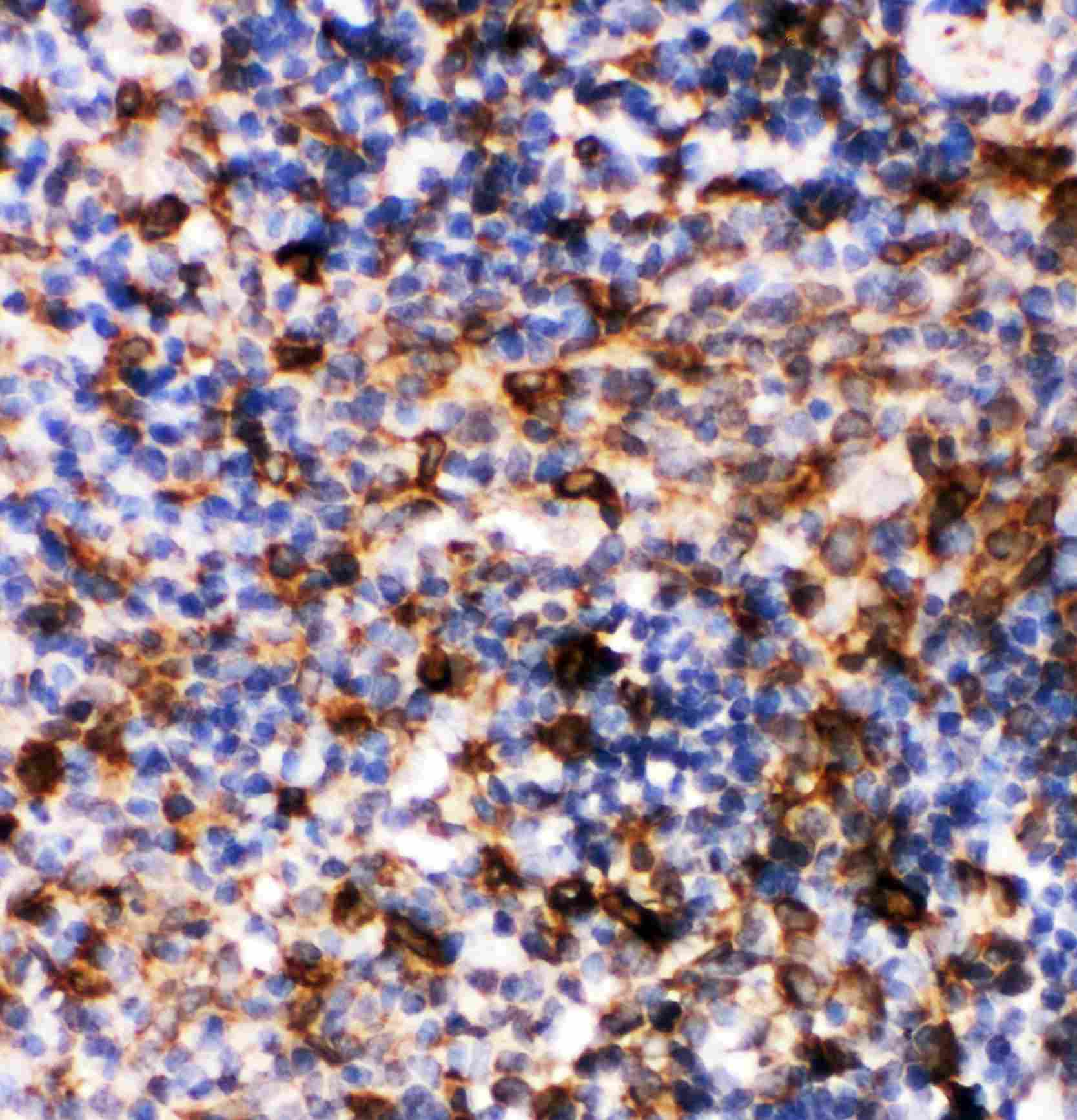
ARG41679 anti-Caspase 6 (fullength + P18) antibody IHC-Fr image
Immunohistochemistry: Frozen section of Rat spleen tissue stained with ARG41679 anti-Caspase 6 (fullength + P18) antibody.
