ARG67089
anti-Caspase 9 antibody
anti-Caspase 9 antibody for ICC/IF,IHC-Formalin-fixed paraffin-embedded sections,Western blot and Human
Cancer antibody; Cell Biology and Cellular Response antibody; Cell Death antibody; Metabolism antibody; Mitochondria/Caspase Dependant Apoptosis Marker antibody
Overview
| Product Description | Rabbit Polyclonal antibody recognizes Caspase 9 |
|---|---|
| Tested Reactivity | Hu |
| Tested Application | ICC/IF, IHC-P, WB |
| Host | Rabbit |
| Clonality | Polyclonal |
| Isotype | IgG |
| Target Name | Caspase 9 |
| Antigen Species | Human |
| Immunogen | Synthetic peptide corresponding to amino-terminal residues adjacent to Asp315 of human Caspase 9 |
| Conjugation | Un-conjugated |
| Alternate Names | APAF-3; ICE-LAP6; PPP1R56; CASP-9; Apoptotic protease-activating factor 3; Caspase-9; ICE-like apoptotic protease 6; Apoptotic protease Mch-6; APAF3; MCH6; EC 3.4.22.62 |
Application Instructions
| Application Suggestion |
|
||||||||
|---|---|---|---|---|---|---|---|---|---|
| Application Note | * The dilutions indicate recommended starting dilutions and the optimal dilutions or concentrations should be determined by the scientist. | ||||||||
| Observed Size | 33 ~ 45 kDa |
Properties
| Form | Liquid |
|---|---|
| Purification | Affinity Purified |
| Buffer | 100 mM Tris Glycine (pH 7.0), 0.025% ProClin 300 and 20% Glycerol. |
| Preservative | 0.025% ProClin 300 |
| Stabilizer | 20% Glycerol |
| Concentration | 1.22 mg/ml |
| Storage Instruction | For continuous use, store undiluted antibody at 2-8°C for up to a week. For long-term storage, aliquot and store at -20°C. Storage in frost free freezers is not recommended. Avoid repeated freeze/thaw cycles. Suggest spin the vial prior to opening. The antibody solution should be gently mixed before use. |
| Note | For laboratory research only, not for drug, diagnostic or other use. |
Bioinformation
| Database Links | |
|---|---|
| Gene Symbol | CASP9 |
| Gene Full Name | caspase 9, apoptosis-related cysteine peptidase |
| Background | Caspases are synthesized as inactive pro-enzymes that are processed to active form in cells undergoing apoptosis. Caspase-9 is an important member of the caspase family. Upon induction of apoptosis, Cytochrome c released from mitochondria associates with pro-caspase-9 (47 kDa) and Apaf-1. The complex processes pro-caspase-9 into a large subunit (37 kDa/17 kDa) and a small subunit (10 kDa). Cleaved caspase-9 further processes other caspases including caspase-3 and caspase-6, to initiate a caspase cascade leading to apoptosis. The affinity purified antibody recognizing the active forms of caspase-9 provides a new tool for identifying apoptotic cell populations in both tissue sections and cultured cells. |
| Function | Involved in the activation cascade of caspases responsible for apoptosis execution. Binding of caspase-9 to Apaf-1 leads to activation of the protease which then cleaves and activates caspase-3. Promotes DNA damage-induced apoptosis in a ABL1/c-Abl-dependent manner. Proteolytically cleaves poly(ADP-ribose) polymerase (PARP). Isoform 2 lacks activity is an dominant-negative inhibitor of caspase-9. [UniProt] |
| Research Area | Cancer antibody; Cell Biology and Cellular Response antibody; Cell Death antibody; Metabolism antibody; Mitochondria/Caspase Dependant Apoptosis Marker antibody |
| Calculated MW | 46 kDa |
| PTM | Cleavages at Asp-315 by granzyme B and at Asp-330 by caspase-3 generate the two active subunits. Caspase-8 and -10 can also be involved in these processing events. Phosphorylated at Thr-125 by MAPK1/ERK2. Phosphorylation at Thr-125 is sufficient to block caspase-9 processing and subsequent caspase-3 activation. Phosphorylation on Tyr-153 by ABL1/c-Abl; occurs in the response of cells to DNA damage. |
Images (3) Click the Picture to Zoom In
-
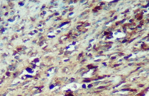
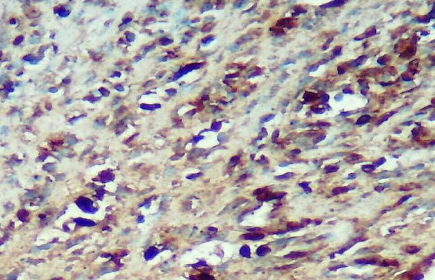
ARG67089 anti-Caspase 9 antibody IHC-P image
Immunohistochemistry: Human cancer tissue stained with ARG67089 anti-Caspase 9 antibody at 1:200 dilution.
-
ARG67089 anti-Caspase 9 antibody ICC/IF image
Immunofluorescence: Jurkat stained with ARG67089 anti-Caspase 9 antibody at 1:400 dilution.
-
ARG67089 anti-Caspase 9 antibody WB image
Western blot: Jurkat stained with ARG67089 anti-Caspase 9 antibody at 1:500 dilution.
