ARG54706
anti-Caspase 9 phospho (Ser196) antibody
anti-Caspase 9 phospho (Ser196) antibody for IHC-Formalin-fixed paraffin-embedded sections,Western blot and Human
Cancer antibody; Cell Biology and Cellular Response antibody; Cell Death antibody; Metabolism antibody; Mitochondria/Caspase Dependant Apoptosis Marker antibody
Overview
| Product Description | Rabbit Polyclonal antibody recognizes Caspase 9 phospho (Ser196) |
|---|---|
| Tested Reactivity | Hu |
| Tested Application | IHC-P, WB |
| Host | Rabbit |
| Clonality | Polyclonal |
| Isotype | IgG |
| Target Name | Caspase 9 |
| Antigen Species | Human |
| Immunogen | KLH-conjugated phosphospecific peptide around Ser196 of Human Caspase 9 (NP_001220.2). |
| Conjugation | Un-conjugated |
| Alternate Names | APAF-3; ICE-LAP6; PPP1R56; CASP-9; Apoptotic protease-activating factor 3; Caspase-9; ICE-like apoptotic protease 6; Apoptotic protease Mch-6; APAF3; MCH6; EC 3.4.22.62 |
Application Instructions
| Application Suggestion |
|
||||||
|---|---|---|---|---|---|---|---|
| Application Note | * The dilutions indicate recommended starting dilutions and the optimal dilutions or concentrations should be determined by the scientist. | ||||||
| Positive Control | Y79 |
Properties
| Purification | Protein G purified |
|---|---|
| Buffer | PBS and 0.09% (W/V) Sodium azide |
| Preservative | 0.09% (W/V) Sodium azide |
| Storage Instruction | For continuous use, store undiluted antibody at 2-8°C for up to a week. For long-term storage, aliquot and store at -20°C or below. Storage in frost free freezers is not recommended. Avoid repeated freeze/thaw cycles. Suggest spin the vial prior to opening. The antibody solution should be gently mixed before use. |
| Note | For laboratory research only, not for drug, diagnostic or other use. |
Bioinformation
| Database Links | |
|---|---|
| Gene Symbol | CASP9 |
| Gene Full Name | caspase 9, apoptosis-related cysteine peptidase |
| Background | This gene encodes a member of the cysteine-aspartic acid protease (caspase) family. Sequential activation of caspases plays a central role in the execution-phase of cell apoptosis. Caspases exist as inactive proenzymes which undergo proteolytic processing at conserved aspartic residues to produce two subunits, large and small, that dimerize to form the active enzyme. This protein can undergo autoproteolytic processing and activation by the apoptosome, a protein complex of cytochrome c and the apoptotic peptidase activating factor 1; this step is thought to be one of the earliest in the caspase activation cascade. This protein is thought to play a central role in apoptosis and to be a tumor suppressor. Alternative splicing results in multiple transcript variants. [provided by RefSeq, May 2013] |
| Function | Involved in the activation cascade of caspases responsible for apoptosis execution. Binding of caspase-9 to Apaf- 1 leads to activation of the protease which then cleaves and activates caspase-3. Promotes DNA damage-induced apoptosis in a ABL1/c-Abl-dependent manner. Proteolytically cleaves poly(ADP- ribose) polymerase (PARP). [From Uniprot] |
| Research Area | Cancer antibody; Cell Biology and Cellular Response antibody; Cell Death antibody; Metabolism antibody; Mitochondria/Caspase Dependant Apoptosis Marker antibody |
| Calculated MW | 46 kDa |
| PTM | Cleavages at Asp-315 by granzyme B and at Asp-330 by caspase-3 generate the two active subunits. Caspase-8 and -10 can also be involved in these processing events. Phosphorylated at Thr-125 by MAPK1/ERK2. Phosphorylation at Thr-125 is sufficient to block caspase-9 processing and subsequent caspase-3 activation. Phosphorylation on Tyr-153 by ABL1/c-Abl; occurs in the response of cells to DNA damage. |
Images (2) Click the Picture to Zoom In
-
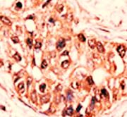
ARG54706 anti-Caspase 9 phospho (Ser196) antibody IHC-P image
Immunohistochemistry: Paraffin-embedded Human hepatocarcinoma tissue stained with ARG54706 anti-Caspase 9 phospho (Ser196) antibody.
-
ARG54706 anti-Caspase 9 phospho (Ser196) antibody WB image
Western blot: Y79 cell lysate stained with ARG54706 anti-Caspase 9 phospho (Ser196) antibody.
