ARG54943
anti-Cathelicidin antibody
anti-Cathelicidin antibody for ELISA,ICC/IF,IHC-Formalin-fixed paraffin-embedded sections,Western blot and Human
Immune System antibody; Microbiology and Infectious Disease antibody
Overview
| Product Description | Rabbit Polyclonal antibody recognizes Cathelicidin |
|---|---|
| Tested Reactivity | Hu |
| Tested Application | ELISA, ICC/IF, IHC-P, WB |
| Host | Rabbit |
| Clonality | Polyclonal |
| Isotype | IgG |
| Target Name | Cathelicidin |
| Antigen Species | Human |
| Immunogen | Synthetic peptide (17 aa) within aa. 50-100 of Human Cathelicidin. |
| Conjugation | Un-conjugated |
| Alternate Names | FALL39; CRAMP; HSD26; CAP18; 18 kDa cationic antimicrobial protein; FALL-39 peptide antibiotic; LL37; FALL-39; CAP-18; Cathelicidin antimicrobial peptide; hCAP-18 |
Application Instructions
| Application Suggestion |
|
||||||||||
|---|---|---|---|---|---|---|---|---|---|---|---|
| Application Note | * The dilutions indicate recommended starting dilutions and the optimal dilutions or concentrations should be determined by the scientist. | ||||||||||
| Positive Control | Human Spleen Tissue Lysate |
Properties
| Form | Liquid |
|---|---|
| Purification | Affinity purification with immunogen. |
| Buffer | PBS and 0.02% Sodium azide |
| Preservative | 0.02% Sodium azide |
| Concentration | 1 mg/ml |
| Storage Instruction | For continuous use, store undiluted antibody at 2-8°C for up to a week. For long-term storage, aliquot and store at -20°C or below. Storage in frost free freezers is not recommended. Avoid repeated freeze/thaw cycles. Suggest spin the vial prior to opening. The antibody solution should be gently mixed before use. |
| Note | For laboratory research only, not for drug, diagnostic or other use. |
Bioinformation
| Database Links |
Swiss-port # P49913 Human Cathelicidin antimicrobial peptide |
|---|---|
| Gene Symbol | CAMP |
| Gene Full Name | cathelicidin antimicrobial peptide |
| Background | Cathelicidin Antibody: One component of host defense at mucosal surfaces is epithelial-derived antimicrobial peptides. Cathelicidins are one family of antimicrobial peptides characterized by conserved pro-peptide sequences that have been identified in epithelial tissues and some myeloid cells of humans and animals. LL-37/hCAP-18 is the only Cathelicidin found in humans and is expressed in inflammatory and epithelial cells. The presence of these molecules is essential for defense against invasive bacterial infection in skin. Besides their direct antimicrobial function, Cathelicidins have multiple roles in mediating innate and adaptive immunity, such as endotoxin neutralizing, angiogenesis, wound healing and promoting neutrophil chemotaxis and mast cell recruitment. Finally, Cathelicidin antimicrobial peptides qualify as prototypes of innovative drugs that may be used to treat infection and/or modulate the immune response. |
| Function | Binds to bacterial lipopolysaccharides (LPS), has antibacterial activity. [UniProt] |
| Cellular Localization | Secreted |
| Research Area | Immune System antibody; Microbiology and Infectious Disease antibody |
| Calculated MW | 19 kDa |
| PTM | The N-terminus is blocked. |
Images (3) Click the Picture to Zoom In
-
ARG54943 anti-Cathelicidin antibody WB image
Western blot: Human spleen tissue lysate stained with ARG54943 anti-Cathelicidin antibody at 1 μg/ml dilution.
-
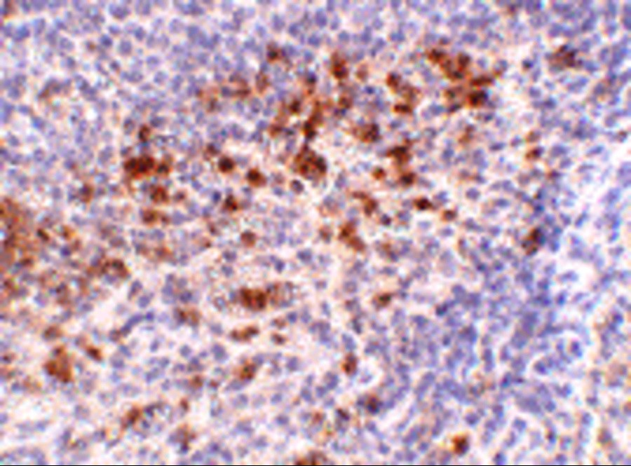
ARG54943 anti-Cathelicidin antibody IHC image
Immunohistochemistry: Human spleen tissue stained with ARG54943 anti-Cathelicidin antibody at 5 μg/ml dilution.
-
ARG54943 anti-Cathelicidin antibody ICC/IF image
Immunofluorescence: Human Spleen cells stained with ARG54943 anti-Cathelicidin antibody at 20 μg/ml dilution.
