ARG10769
anti-Ceruloplasmin antibody
anti-Ceruloplasmin antibody for IHC-Formalin-fixed paraffin-embedded sections,Western blot and Human
Overview
| Product Description | Rabbit Polyclonal antibody recognizes Ceruloplasmin |
|---|---|
| Tested Reactivity | Hu |
| Tested Application | IHC-P, WB |
| Host | Rabbit |
| Clonality | Polyclonal |
| Isotype | IgG |
| Target Name | Ceruloplasmin |
| Antigen Species | Human |
| Immunogen | Synthetic peptide around aa. 20-259 of Human Ceruloplasmin. |
| Conjugation | Un-conjugated |
| Alternate Names | Ceruloplasmin; CP-2; EC 1.16.3.1; Ferroxidase |
Application Instructions
| Application Suggestion |
|
||||||
|---|---|---|---|---|---|---|---|
| Application Note | IHC-P: Antigen Retrieval: Citrate buffer (10mM, pH 6.0), boiling bathing for 20 min. * The dilutions indicate recommended starting dilutions and the optimal dilutions or concentrations should be determined by the scientist. |
Properties
| Form | Liquid |
|---|---|
| Purification | Affinity purification with immunogen. |
| Buffer | PBS, 0.025% Sodium azide and 2.5% BSA. |
| Preservative | 0.025% Sodium azide |
| Stabilizer | 2.5% BSA |
| Concentration | 0.5 mg/ml |
| Storage Instruction | For continuous use, store undiluted antibody at 2-8°C for up to a week. For long-term storage, aliquot and store at -20°C or below. Storage in frost free freezers is not recommended. Avoid repeated freeze/thaw cycles. Suggest spin the vial prior to opening. The antibody solution should be gently mixed before use. |
| Note | For laboratory research only, not for drug, diagnostic or other use. |
Bioinformation
| Database Links | |
|---|---|
| Gene Symbol | CP |
| Gene Full Name | ceruloplasmin (ferroxidase) |
| Background | The protein encoded by this gene is a metalloprotein that binds most of the copper in plasma and is involved in the peroxidation of Fe(II)transferrin to Fe(III) transferrin. Mutations in this gene cause aceruloplasminemia, which results in iron accumulation and tissue damage, and is associated with diabetes and neurologic abnormalities. Two transcript variants, one protein-coding and the other not protein-coding, have been found for this gene. [provided by RefSeq, Feb 2012] |
| Function | Ceruloplasmin is a blue, copper-binding (6-7 atoms per molecule) glycoprotein. It has ferroxidase activity oxidizing Fe(2+) to Fe(3+) without releasing radical oxygen species. It is involved in iron transport across the cell membrane. Provides Cu(2+) ions for the ascorbate-mediated deaminase degradation of the heparan sulfate chains of GPC1. May also play a role in fetal lung development or pulmonary antioxidant defense (By similarity). [UniProt] |
| Calculated MW | ~130 kDa. The ~180 kDa may represent the glycosylated form of the protein. |
Images (2) Click the Picture to Zoom In
-
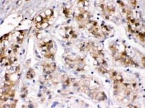
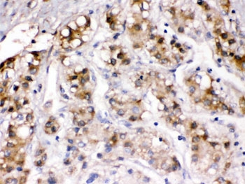
ARG10769 anti-Ceruloplasmin antibody IHC-P image
Immunohistochemistry: Formalin-fixed and paraffin-embedded Human liver cancer tissue stained with ARG10769 anti-Ceruloplasmin antibody. Antigen retrieval: Citrate buffer (10mM, pH 6.0), boiling bathing for 20 min.
-
ARG10769 anti-Ceruloplasmin antibody WB image
Western: 1) 22RV1, and 2) A549 cell lysates stained with ARG10769 anti-Ceruloplasmin antibody.
