ARG67056
anti-ChemR23 / CMKLR1 antibody
anti-ChemR23 / CMKLR1 antibody for ICC/IF,IHC-Formalin-fixed paraffin-embedded sections,Western blot and Human
Overview
| Tested Reactivity | Hu |
|---|---|
| Predict Reactivity | Ms, Rat |
| Tested Application | ICC/IF, IHC-P, WB |
| Host | Rabbit |
| Clonality | Polyclonal |
| Isotype | IgG |
| Target Name | ChemR23 / CMKLR1 |
| Antigen Species | Human |
| Immunogen | Synthetic peptide corresponding to Human CMKLR1 . |
| Conjugation | Un-conjugated |
| Protein Full Name | Chemerin-like receptor 1 |
| Alternate Names | CMKLR1, Chemerin Chemokine-Like Receptor 1, Chemokine-Like Receptor 1, RVER1, G-Protein Coupled Receptor ChemR23, G-Protein Coupled Receptor DEZ, Chemerin-Like Receptor 1, Resolvin E1 Receptor, Chemerin Receptor, DEZ, Orphan G-Protein Coupled Receptor, Dez, Chemokine Receptor-Like 1, CHEMERINR, ChemR23, CHEMR23 |
Application Instructions
| Application Suggestion |
|
||||||||
|---|---|---|---|---|---|---|---|---|---|
| Positive Control | A549 | ||||||||
| Observed Size | 42 kDa |
Properties
| Form | Liquid |
|---|---|
| Purification | Affinity chromatography purified |
| Buffer | PBS, 0.02% Sodium azide, 50% Glycerol and 0.5% BSA. |
| Preservative | 0.02% Sodium azide |
| Stabilizer | 50% Glycerol and 0.5% BSA |
| Concentration | 1 mg/ml |
| Storage Instruction | For continuous use, store undiluted antibody at 2-8°C for up to a week. For long-term storage, aliquot and store at -20°C. Storage in frost free freezers is not recommended. Avoid repeated freeze/thaw cycles. Suggest spin the vial prior to opening. The antibody solution should be gently mixed before use. |
| Note | For laboratory research only, not for drug, diagnostic or other use. |
Bioinformation
| Database Links | |
|---|---|
| Gene Symbol | CMKLR1 |
| Gene Full Name | Chemerin Chemokine-Like Receptor 1 |
| Background | Enables adipokinetic hormone binding activity and adipokinetic hormone receptor activity. Involved in several processes, including negative regulation of NF-kappaB transcription factor activity; positive regulation of macrophage chemotaxis; and regulation of calcium-mediated signaling. Located in plasma membrane. [provided by Alliance of Genome Resources, Apr 2022] |
| Function | Receptor for the chemoattractant adipokine chemerin/RARRES2 and for the omega-3 fatty acid derived molecule resolvin E1. Interaction with RARRES2 initiates activation of G proteins G(i)/G(o) and beta-arrestin pathways inducing cellular responses via second messenger pathways such as intracellular calcium mobilization, phosphorylation of MAP kinases MAPK1/MAPK3 (ERK1/2), TYRO3, MAPK14/P38MAPK and PI3K leading to multifunctional effects, like, reduction of immune responses, enhancing of adipogenesis and angionesis PubMed:27716822. Resolvin E1 down-regulates cytokine production in macrophages by reducing the activation of MAPK1/3 (ERK1/2) and NF-kappa-B. Positively regulates adipogenesis and adipocyte metabolism. [UniProt] |
| Cellular Localization | Cell membrane; Membrane |
| Calculated MW | 42 kDa |
| PTM | Disulfide bond; Glycoprotein; Phosphoprotein |
Images (3) Click the Picture to Zoom In
-
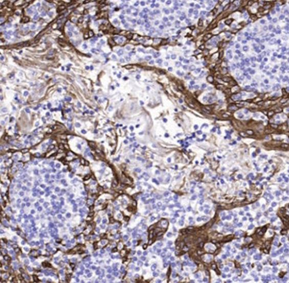
ARG67056 anti-ChemR23 / CMKLR1 antibody IHC-P image
Immunohistochemistry: Human tonsil stained with ARG67056 anti-ChemR23 / CMKLR1 antibody at 1:200 dilution.
-
ARG67056 anti-ChemR23 / CMKLR1 antibody ICC/IF image
Immunofluorescence: A549 stained with ARG67056 anti-ChemR23 / CMKLR1 antibody at 1:200 dilution.
-
ARG67056 anti-ChemR23 / CMKLR1 antibody WB image
Western blot: 293T stained with ARG67056 anti-ChemR23 / CMKLR1 antibody at 1:1000 dilution.
