ARG46069
anti-Coiled-coil domain-containing protein 106 antibody
anti-Coiled-coil domain-containing protein 106 antibody for Western blot,IHC-Formalin-fixed paraffin-embedded sections and Human,Mouse,Rat
Overview
| Product Description | Rabbit Polyclonal antibody recognizes Coiled-coil domain-containing protein 106 |
|---|---|
| Tested Reactivity | Hu, Ms, Rat |
| Tested Application | IHC-P, WB |
| Host | Rabbit |
| Clonality | Polyclonal |
| Isotype | IgG |
| Target Name | Coiled-coil domain-containing protein 106 |
| Antigen Species | Human |
| Immunogen | A 15 amino acid synthetic peptide within the last 50 amino acids of human Coiled-coil domain-containing protein 106. |
| Conjugation | Un-conjugated |
| Alternate Names | CCDC106; ZNF581; HSU79303; Coiled-coil domain-containing protein 106 |
Application Instructions
| Application Suggestion |
|
||||||
|---|---|---|---|---|---|---|---|
| Application Note | * The dilutions indicate recommended starting dilutions and the optimal dilutions or concentrations should be determined by the scientist. |
Properties
| Purification | Affinity chromatography purified |
|---|---|
| Buffer | PBS and 0.02% Sodium azide. |
| Preservative | 0.02% Sodium azide |
| Concentration | 1 mg/ml |
| Storage Instruction | For continuous use, store undiluted antibody at 2-8°C for up to a week. For long-term storage, aliquot and store at -20°C. Storage in frost free freezers is not recommended. Avoid repeated freeze/thaw cycles. Suggest spin the vial prior to opening. The antibody solution should be gently mixed before use. |
| Note | For laboratory research only, not for drug, diagnostic or other use. |
Bioinformation
| Database Links |
Swiss-port # Q3ULM0 Mouse Coiled-coil domain-containing protein 106 Swiss-port # Q9BWC9 Human Coiled-coil domain-containing protein 106 |
|---|---|
| Gene Symbol | CCDC106 |
| Gene Full Name | coiled-coil domain containing 106 |
| Background | CCDC106 promotes the degradation of p53 protein and inhibits its transactivity. |
| Function | Promotes the degradation of p53/TP53 protein and inhibits its transactivity. [UniProt] |
Images (2) Click the Picture to Zoom In
-
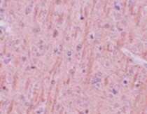
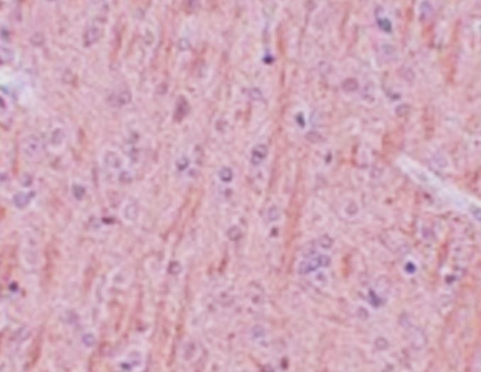
ARG46069 anti-Coiled-coil domain-containing protein 106 antibody IHC-P image
Immunohistochemistry: Rat brain stained with ARG46069 anti-Coiled-coil domain-containing protein 106 antibody.
-
ARG46069 anti-Coiled-coil domain-containing protein 106 antibody WB image
Western blot: Human brain stained with ARG46069 anti-Coiled-coil domain-containing protein 106 antibody.
