ARG62450
anti-Collagen II antibody [5B2.5]
anti-Collagen II antibody [5B2.5] for ICC/IF,IHC-Formalin-fixed paraffin-embedded sections,IHC-Frozen sections,Western blot and Chicken,Human,Mouse,Pig,Rabbit
Developmental Biology antibody; Signaling Transduction antibody
Overview
| Product Description | Mouse Monoclonal antibody [5B2.5] recognizes Collagen II |
|---|---|
| Tested Reactivity | Hu, Ms, Chk, Pig, Rb |
| Tested Application | ICC/IF, IHC-Fr, IHC-P, WB |
| Specificity | This antibody is highly specific to type II collagen and shows no cross-reaction with types I, III, IV, V, VI, IX, X, or XI. In Western blotting, this antibody reacts with the TCA fragment of lathyritic type II collagen after digestion with mammalian collagenase. It does not react with pepsin-digested type II collagen. |
| Host | Mouse |
| Clonality | Monoclonal |
| Clone | 5B2.5 |
| Isotype | IgG2a, kappa |
| Target Name | Collagen II |
| Antigen Species | Chicken |
| Immunogen | A purified preparation of lathyritic type II collagen from embryonic chicken sternum |
| Conjugation | Un-conjugated |
| Alternate Names | Collagen alpha-1(II) chain; Alpha-1 type II collagen |
Application Instructions
| Application Suggestion |
|
||||||||||
|---|---|---|---|---|---|---|---|---|---|---|---|
| Application Note | * The dilutions indicate recommended starting dilutions and the optimal dilutions or concentrations should be determined by the scientist. |
Properties
| Form | Liquid |
|---|---|
| Purification | Protein A purified |
| Buffer | 1X PBS buffer with 0.1% sodium azide. |
| Preservative | 0.1% sodium azide. |
| Concentration | 2 mg/ml |
| Storage Instruction | Aliquot and store at 2-8°C. Avoid repeated freeze/thaw cycles. Suggest spin the vial prior to opening. The antibody solution should be gently mixed before use. |
| Note | For laboratory research only, not for drug, diagnostic or other use. |
Bioinformation
| Database Links | |
|---|---|
| Gene Symbol | COL2A1 |
| Gene Full Name | collagen, type II, alpha 1 |
| Background | The alpha-1 chain of type II collagen, a fibrillar collagen found in cartilage and the vitreous humor of the eye. Mutations in this gene are associated with achondrogenesis, chondrodysplasia, early onset familial osteoarthritis, SED congenita, Langer-Saldino achondrogenesis, Kniest dysplasia, Stickler syndrome type I, and spondyloepimetaphyseal dysplasia Strudwick type. In addition, defects in processing chondrocalcin, a calcium binding protein that is the C-propeptide of this collagen molecule, are also associated with chondrodysplasia. There are two transcripts identified for this gene. [provided by RefSeq, Jul 2008] |
| Function | Type II collagen is specific for cartilaginous tissues. It is essential for the normal embryonic development of the skeleton, for linear growth and for the ability of cartilage to resist compressive forces. [provided by Uniprot] |
| Cellular Localization | Secreted |
| Research Area | Developmental Biology antibody; Signaling Transduction antibody |
| Calculated MW | 142 kDa |
| PTM | Probably 3-hydroxylated on prolines by LEPREL1 (By similarity). Proline residues at the third position of the tripeptide repeating unit (G-X-P) are hydroxylated in some or all of the chains. Proline residues at the second position of the tripeptide repeating unit (G-P-X) are hydroxylated in some of the chains. The N-telopeptide is covalently linked to the helical COL2 region of alpha 1(IX), alpha 2(IX) and alpha 3(IX) chain. The C-telopeptide is covalently linked to an another site in the helical region of alpha 3(IX) COL2. |
Images (2) Click the Picture to Zoom In
-
ARG62450 anti-Collagen II antibody [5B2.5] ICC/IF image
Immunofluorescence: Rabbit NPSC stained with ARG62450 anti-Collagen II antibody [5B2.5].
From Shan-Zheng Wang et al. Stem Cell Res Ther. (2018), doi: 10.1186/s13287-018-0937-7, Fig. 6I.
-
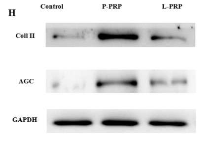
ARG62450 anti-Collagen II antibody [5B2.5] WB image
Western blot: Rabbit NPSC stained with ARG62450 anti-Collagen II antibody [5B2.5].
From Wang SZ et al. Stem Cell Res Ther- (2018), doi: 10.1186/s13287-018-0937-7, Fig. 6. H.
Specific References

