ARG43622
anti-Connexin 43 antibody
anti-Connexin 43 antibody for ICC/IF,IHC-Formalin-fixed paraffin-embedded sections,Western blot and Human,Mouse,Rat
Overview
| Product Description | Rabbit Polyclonal antibody recognizes Connexin 43 |
|---|---|
| Tested Reactivity | Hu, Ms, Rat |
| Tested Application | ICC/IF, IHC-P, WB |
| Host | Rabbit |
| Clonality | Polyclonal |
| Isotype | IgG |
| Target Name | Connexin 43 |
| Antigen Species | Human |
| Immunogen | Recombinant protein fragment within a.a. 1 - 370 of Human Connexin 43. |
| Conjugation | Un-conjugated |
| Protein Full Name | Gap junction alpha-1 protein |
| Alternate Names | Gap junction 43 kDa heart protein; CX43; PPKCA; CMDR; Gap junction alpha-1 protein; HSS; AVSD3; Connexin-43; HLHS1; EKVP; GJAL; ODDD; Cx43 |
Application Instructions
| Application Suggestion |
|
||||||||
|---|---|---|---|---|---|---|---|---|---|
| Application Note | * The dilutions indicate recommended starting dilutions and the optimal dilutions or concentrations should be determined by the scientist. | ||||||||
| Observed Size | 43 kDa |
Properties
| Form | Liquid |
|---|---|
| Purification | Affinity purification with immunogen. |
| Buffer | 0.9% NaCl, 0.2% Na2HPO4, 0.05% Sodium azide and 4% Trehalose. |
| Preservative | 0.05% Sodium azide |
| Stabilizer | 4% Trehalose |
| Concentration | 0.5 mg/ml |
| Storage Instruction | For continuous use, store undiluted antibody at 2-8°C for up to a week. For long-term storage, aliquot and store at -20°C or below. Storage in frost free freezers is not recommended. Avoid repeated freeze/thaw cycles. Suggest spin the vial prior to opening. The antibody solution should be gently mixed before use. |
| Note | For laboratory research only, not for drug, diagnostic or other use. |
Bioinformation
| Database Links | |
|---|---|
| Gene Symbol | GJA1 |
| Gene Full Name | gap junction protein, alpha 1, 43kDa |
| Background | This gene is a member of the connexin gene family. The encoded protein is a component of gap junctions, which are composed of arrays of intercellular channels that provide a route for the diffusion of low molecular weight materials from cell to cell. The encoded protein is the major protein of gap junctions in the heart that are thought to have a crucial role in the synchronized contraction of the heart and in embryonic development. A related intronless pseudogene has been mapped to chromosome 5. Mutations in this gene have been associated with oculodentodigital dysplasia, autosomal recessive craniometaphyseal dysplasia and heart malformations. [provided by RefSeq, May 2014] |
| Function | Gap junction protein that acts as a regulator of bladder capacity. A gap junction consists of a cluster of closely packed pairs of transmembrane channels, the connexons, through which materials of low MW diffuse from one cell to a neighboring cell. May play a critical role in the physiology of hearing by participating in the recycling of potassium to the cochlear endolymph. Negative regulator of bladder functional capacity: acts by enhancing intercellular electrical and chemical transmission, thus sensitizing bladder muscles to cholinergic neural stimuli and causing them to contract (By similarity). May play a role in cell growth inhibition through the regulation of NOV expression and localization. Plays an essential role in gap junction communication in the ventricles (By similarity). [UniProt] |
| Cellular Localization | Cell membrane; Multi-pass membrane protein. Cell junction, gap junction. Endoplasmic reticulum. Note=Localizes at the intercalated disk (ICD) in cardiomyocytes and the proper localization at ICD is dependent on TMEM65. [UniProt] |
| Calculated MW | 43 kDa |
| PTM | Phosphorylated at Ser-368 by PRKCG; phosphorylation induces disassembly of gap junction plaques and inhibition of gap junction activity (By similarity). Phosphorylation at Ser-325, Ser-328 and Ser-330 by CK1 modulates gap junction assembly. Phosphorylation at Ser-368 by PRKCD triggers its internalization into small vesicles leading to proteasome-mediated degradation (By similarity). Sumoylated with SUMO1, SUMO2 and SUMO3, which may regulate the level of functional Cx43 gap junctions at the plasma membrane. May be desumoylated by SENP1 or SENP2. S-nitrosylation at Cys-271 is enriched at the muscle endothelial gap junction in arteries, it augments channel permeability and may regulate of smooth muscle cell to endothelial cell communication. [UniProt] |
Images (6) Click the Picture to Zoom In
-
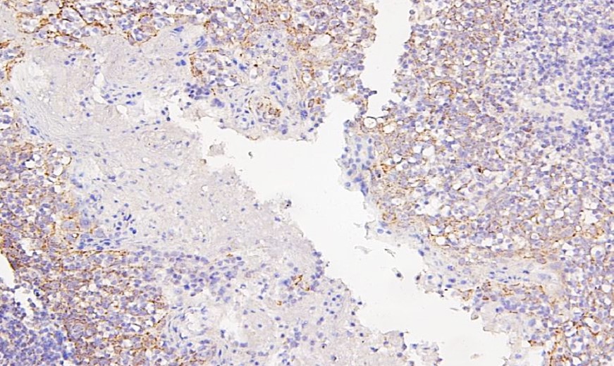
ARG43622 anti-Connexin 43 antibody IHC-P image
Immunohistochemistry: Formalin-fixed and paraffin-embedded Human Tonsil tissue stained with ARG43622 anti-Connexin 43 antibody at 1:500 dilution. Antigen Retrieval: Heat mediated was performed using citrate buffer pH 6.0.
-
ARG43622 anti-Connexin 43 antibody WB image
Western blot: U-87MG cell lysates stained with ARG43622 anti-Connexin 43 antibody at 1:1000 dilution
-
ARG43622 anti-Connexin 43 antibody ICC/IF image
Immunofluorescence: U20S cells were stained ARG43622 anti-Connexin 43 antibody(green) at 1:250 and 4°C.
-
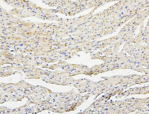
ARG43622 anti-Connexin 43 antibody IHC-P image
Immunohistochemistry: Formalin-fixed and paraffin-embedded Rat Cardiac Muscle tissue stained with ARG43622 anti-Connexin 43 antibody at 1:500 dilution. Antigen Retrieval: Heat mediated was performed using citrate buffer pH 6.0.
-
ARG43622 anti-Connexin 43 antibody WB image
Western blot: Rat brain tissue and Mouse brain tissue stained with ARG43622 anti-Connexin 43 antibody at 1:1000 dilution
-
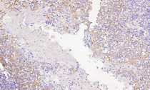
ARG43622 anti-Connexin 43 antibody IHC-P image
Immunohistochemistry: Formalin-fixed and paraffin-embedded Mouse Cardiac Muscle tissue stained with ARG43622 anti-Connexin 43 antibody at 1:500 dilution. Antigen Retrieval: Heat mediated was performed using citrate buffer pH 6.0.
