ARG51744
anti-Connexin 43 phospho (Ser367) antibody
anti-Connexin 43 phospho (Ser367) antibody for IHC-Formalin-fixed paraffin-embedded sections,IHC-Frozen sections,Western blot and Human,Mouse,Rat
Cell Biology and Cellular Response antibody; Signaling Transduction antibody; Cardiomyocyte Cell Surface Marker antibody
Overview
| Product Description | Rabbit Polyclonal antibody recognizes Connexin 43 phospho (Ser367) |
|---|---|
| Tested Reactivity | Hu, Ms, Rat |
| Tested Application | IHC-Fr, IHC-P, WB |
| Host | Rabbit |
| Clonality | Polyclonal |
| Isotype | IgG |
| Target Name | Connexin 43 |
| Antigen Species | Human |
| Immunogen | Peptide sequence around phosphorylation site of serine 367 (R-A-S(p)-S-R) derived from Human Connexin 43. |
| Conjugation | Un-conjugated |
| Alternate Names | Gap junction 43 kDa heart protein; CX43; PPKCA; CMDR; Gap junction alpha-1 protein; HSS; AVSD3; Connexin-43; HLHS1; EKVP; GJAL; ODDD; Cx43 |
Application Instructions
| Application Suggestion |
|
||||||||
|---|---|---|---|---|---|---|---|---|---|
| Application Note | IHC-Fr: Refer to the reference: PMID: 35110506
for the detailed protocol. * The dilutions indicate recommended starting dilutions and the optimal dilutions or concentrations should be determined by the scientist. |
Properties
| Form | Liquid |
|---|---|
| Purification | Antibodies were produced by immunizing rabbits with KLH-conjugated synthetic phosphopeptide. Antibodies were purified by affinity-chromatography using epitope-specific phosphopeptide. In addition, non-phospho specific antibodies were removed by chromatogramphy using non-phosphopeptide. |
| Buffer | PBS (without Mg2+ and Ca2+, pH 7.4), 150mM NaCl, 0.02% Sodium azide and 50% Glycerol. |
| Preservative | 0.02% Sodium azide |
| Stabilizer | 50% Glycerol |
| Concentration | 1 mg/ml |
| Storage Instruction | For continuous use, store undiluted antibody at 2-8°C for up to a week. For long-term storage, aliquot and store at -20°C. Storage in frost free freezers is not recommended. Avoid repeated freeze/thaw cycles. Suggest spin the vial prior to opening. The antibody solution should be gently mixed before use. |
| Note | For laboratory research only, not for drug, diagnostic or other use. |
Bioinformation
| Database Links | |
|---|---|
| Gene Symbol | GJA1 |
| Gene Full Name | gap junction protein, alpha 1, 43kDa |
| Background | One gap junction consists of a cluster of closely packed pairs of transmembrane channels, the connexons, through which materials of low MW diffuse from one cell to a neighboring cell. May play a critical role in the physiology of hearing by participating in the recycling of potassium to the cochlear endolymph. |
| Function | Gap junction protein that acts as a regulator of bladder capacity. A gap junction consists of a cluster of closely packed pairs of transmembrane channels, the connexons, through which materials of low MW diffuse from one cell to a neighboring cell. May play a critical role in the physiology of hearing by participating in the recycling of potassium to the cochlear endolymph. Negative regulator of bladder functional capacity: acts by enhancing intercellular electrical and chemical transmission, thus sensitizing bladder muscles to cholinergic neural stimuli and causing them to contract (By similarity). [UniProt] |
| Research Area | Cell Biology and Cellular Response antibody; Signaling Transduction antibody; Cardiomyocyte Cell Surface Marker antibody |
| Calculated MW | 43 kDa |
| PTM | Phosphorylated at Ser-368 by PRKCG; phosphorylation induces disassembly of gap junction plaques and inhibition of gap junction activity (By similarity). Phosphorylation at Ser-325, Ser-328 and Ser-330 by CK1 modulates gap junction assembly. Phosphorylation at Ser-368 by PRKCD triggers its internalization into small vesicles leading to proteasome-mediated degradation (By similarity). Sumoylated with SUMO1, SUMO2 and SUMO3, which may regulate the level of functional Cx43 gap junctions at the plasma membrane. May be desumoylated by SENP1 or SENP2. S-nitrosylation at Cys-271 is enriched at the muscle endothelial gap junction in arteries, it augments channel permeability and may regulate of smooth muscle cell to endothelial cell communication. |
Images (3) Click the Picture to Zoom In
-
ARG51744 anti-Connexin 43 phospho (Ser367) antibody IHC-Fr image
Immunohistochemistry: Frozen Mouse melanoma stained with ARG51744 anti-Connexin 43 phospho (Ser367) antibody.
From Khatun A et al. Biol Pharm Bull- (2022), doi: 10.1248/bpb.b21-00714, Fig. 2.
-
ARG51744 anti-Connexin 43 phospho (Ser367) antibody WB image
Western blot: Extracts from 293 cells untreated or treated with PMA stained with ARG51744 anti-Connexin 43 phospho (Ser367) antibody.
-
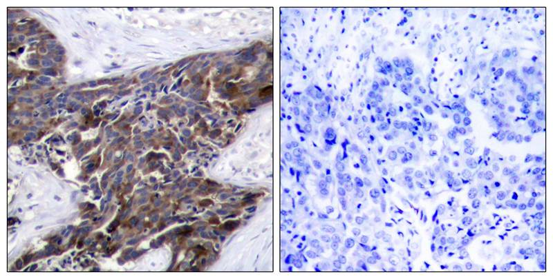
ARG51744 anti-Connexin 43 phospho (Ser367) antibody IHC-P image
Immunohistochemistry: Paraffin-embedded Human breast carcinoma tissue stained with ARG51744 anti-Connexin 43 phospho (Ser367) antibody (left) or the same antibody preincubated with blocking peptide (right).

