ARG59191
anti-Cullin 4A antibody
anti-Cullin 4A antibody for Western blot and Human,Mouse,Rat
Overview
| Product Description | Rabbit Polyclonal antibody recognizes Cullin 4A |
|---|---|
| Tested Reactivity | Hu, Ms, Rat |
| Tested Application | WB |
| Host | Rabbit |
| Clonality | Polyclonal |
| Isotype | IgG |
| Target Name | Cullin 4A |
| Antigen Species | Human |
| Immunogen | Recombinant protein corresponding to M494-A759 of Human Cullin 4A. |
| Conjugation | Un-conjugated |
| Alternate Names | Cullin-4A; CUL-4A |
Application Instructions
| Application Suggestion |
|
||||
|---|---|---|---|---|---|
| Application Note | * The dilutions indicate recommended starting dilutions and the optimal dilutions or concentrations should be determined by the scientist. |
Properties
| Form | Liquid |
|---|---|
| Purification | Affinity purification with immunogen. |
| Buffer | 0.9% NaCl, 0.2% Na2HPO4, 0.05% Sodium azide and 4% Trehalose. |
| Preservative | 0.05% Sodium azide |
| Stabilizer | 4% Trehalose |
| Concentration | 0.5 mg/ml |
| Storage Instruction | For continuous use, store undiluted antibody at 2-8°C for up to a week. For long-term storage, aliquot and store at -20°C or below. Storage in frost free freezers is not recommended. Avoid repeated freeze/thaw cycles. Suggest spin the vial prior to opening. The antibody solution should be gently mixed before use. |
| Note | For laboratory research only, not for drug, diagnostic or other use. |
Bioinformation
| Database Links | |
|---|---|
| Gene Symbol | CUL4A |
| Gene Full Name | cullin 4A |
| Background | CUL4A is the ubiquitin ligase component of a multimeric complex involved in the degradation of DNA damage-response proteins (Liu et al., 2009 [PubMed 19481525]).[supplied by OMIM, Oct 2009] |
| Function | Core component of multiple cullin-RING-based E3 ubiquitin-protein ligase complexes which mediate the ubiquitination of target proteins. As a scaffold protein may contribute to catalysis through positioning of the substrate and the ubiquitin-conjugating enzyme. The E3 ubiquitin-protein ligase activity of the complex is dependent on the neddylation of the cullin subunit and is inhibited by the association of the deneddylated cullin subunit with TIP120A/CAND1. The functional specificity of the E3 ubiquitin-protein ligase complex depends on the variable substrate recognition component. DCX(DET1-COP1) directs ubiquitination of JUN. DCX(DDB2) directs ubiquitination of XPC. DCX(DDB2) ubiquitinates histones H3-H4 and is required for efficient histone deposition during replication-coupled (H3.1) and replication-independent (H3.3) nucleosome assembly, probably by facilitating the transfer of H3 from ASF1A/ASF1B to other chaperones involved in histone deposition. DCX(DTL) plays a role in PCNA-dependent polyubiquitination of CDT1 and MDM2-dependent ubiquitination of TP53 in response to radiation-induced DNA damage and during DNA replication. In association with DDB1 and SKP2 probably is involved in ubiquitination of CDKN1B/p27kip. Is involved in ubiquitination of HOXA9. DCX(DTL) directs autoubiquitination of DTL. [UniProt] |
| Calculated MW | 88 kDa |
| PTM | Neddylated. Deneddylated via its interaction with the COP9 signalosome (CSN) complex. (Microbial infection) Deneddylated by Epstein-Barr virus BPLF1 leading to a S-phase-like environment that is required for efficient replication of the viral genome. [UniProt] |
Images (2) Click the Picture to Zoom In
-
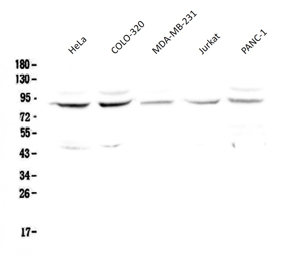
ARG59191 anti-Cullin 4A antibody WB image
Western blot: 50 µg of samples under reducing conditions. HeLa, COLO-320, MDA-MB-231, Jurkat and PANC-1 whole cell lysates stained with ARG59191 anti-Cullin 4A antibody at 0.5 µg/ml, overnight at 4°C.
-
ARG59191 anti-Cullin 4A antibody WB image
Western blot: 50 µg of samples under reducing conditions. Rat brain, Rat spleen, Rat heart, Rat testis, Mouse brain, Mouse spleen, Mouse heart and Mouse testis lysates stained with ARG59191 anti-Cullin 4A antibody at 0.5 µg/ml, overnight at 4°C.
