ARG40990
anti-Cyclophilin B antibody
anti-Cyclophilin B antibody for IHC-Formalin-fixed paraffin-embedded sections,Western blot and Human,Mouse,Rat
Overview
| Product Description | Rabbit Polyclonal antibody recognizes Cyclophilin B |
|---|---|
| Tested Reactivity | Hu, Ms, Rat |
| Predict Reactivity | Hm |
| Tested Application | IHC-P, WB |
| Host | Rabbit |
| Clonality | Polyclonal |
| Isotype | IgG |
| Target Name | Cyclophilin B |
| Antigen Species | Human |
| Immunogen | Synthetic peptide corresponding to aa. 176-196 of Human Cyclophilin B (MEVVRKVESTKTDSRDKPLKD). |
| Conjugation | Un-conjugated |
| Alternate Names | HEL-S-39; CYPB; PPIase B; CYP-S1; Cyclophilin B; SCYLP; EC 5.2.1.8; S-cyclophilin; OI9; Rotamase B; Peptidyl-prolyl cis-trans isomerase B |
Application Instructions
| Application Suggestion |
|
||||||
|---|---|---|---|---|---|---|---|
| Application Note | IHC-P: Antigen Retrieval: Heat mediation was performed in Citrate buffer (pH 6.0, epitope retrieval solution) for 20 min. * The dilutions indicate recommended starting dilutions and the optimal dilutions or concentrations should be determined by the scientist. |
Properties
| Form | Liquid |
|---|---|
| Purification | Affinity purification with immunogen. |
| Buffer | 0.2% Na2HPO4, 0.9% NaCl, 0.05% Thimerosal, 0.05% Sodium azide and 5% BSA. |
| Preservative | 0.05% Thimerosal and 0.05% Sodium azide |
| Stabilizer | 5% BSA |
| Concentration | 0.5 mg/ml |
| Storage Instruction | For continuous use, store undiluted antibody at 2-8°C for up to a week. For long-term storage, aliquot and store at -20°C or below. Storage in frost free freezers is not recommended. Avoid repeated freeze/thaw cycles. Suggest spin the vial prior to opening. The antibody solution should be gently mixed before use. |
| Note | For laboratory research only, not for drug, diagnostic or other use. |
Bioinformation
| Database Links | |
|---|---|
| Gene Symbol | PPIB |
| Gene Full Name | peptidylprolyl isomerase B (cyclophilin B) |
| Background | The protein encoded by this gene is a cyclosporine-binding protein and is mainly located within the endoplasmic reticulum. It is associated with the secretory pathway and released in biological fluids. This protein can bind to cells derived from T- and B-lymphocytes, and may regulate cyclosporine A-mediated immunosuppression. Variants have been identified in this protein that give rise to recessive forms of osteogenesis imperfecta. [provided by RefSeq, Oct 2009] |
| Function | PPIases accelerate the folding of proteins. It catalyzes the cis-trans isomerization of proline imidic peptide bonds in oligopeptides. [UniProt] |
| Cellular Localization | Endoplasmic reticulum lumen. Melanosome. Note=Identified by mass spectrometry in melanosome fractions from stage I to stage IV (PubMed:17081065). [UniProt] |
| Calculated MW | 24 kDa |
Images (3) Click the Picture to Zoom In
-
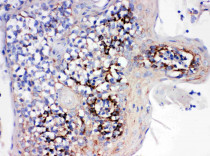
ARG40990 anti-Cyclophilin B antibody IHC-P image
Immunohistochemistry: Paraffin-embedded Human tonsil tissue. Antigen Retrieval: Heat mediation was performed in Citrate buffer (pH 6.0, epitope retrieval solution) for 20 min. The tissue section was blocked with 10% goat serum. The tissue section was then stained with ARG40990 anti-Cyclophilin B antibody at 1 µg/ml dilution, overnight at 4°C.
-
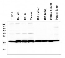
ARG40990 anti-Cyclophilin B antibody WB image
Western blot: 50 µg of samples under reducing conditions. THP-1, HepG2, HeLa, Caco-2, Rat spleen, Rat lung, Mouse spleen and Mouse lung lysates stained with ARG40990 anti-Cyclophilin B antibody at 0.5 µg/ml, overnight at 4°C.
-
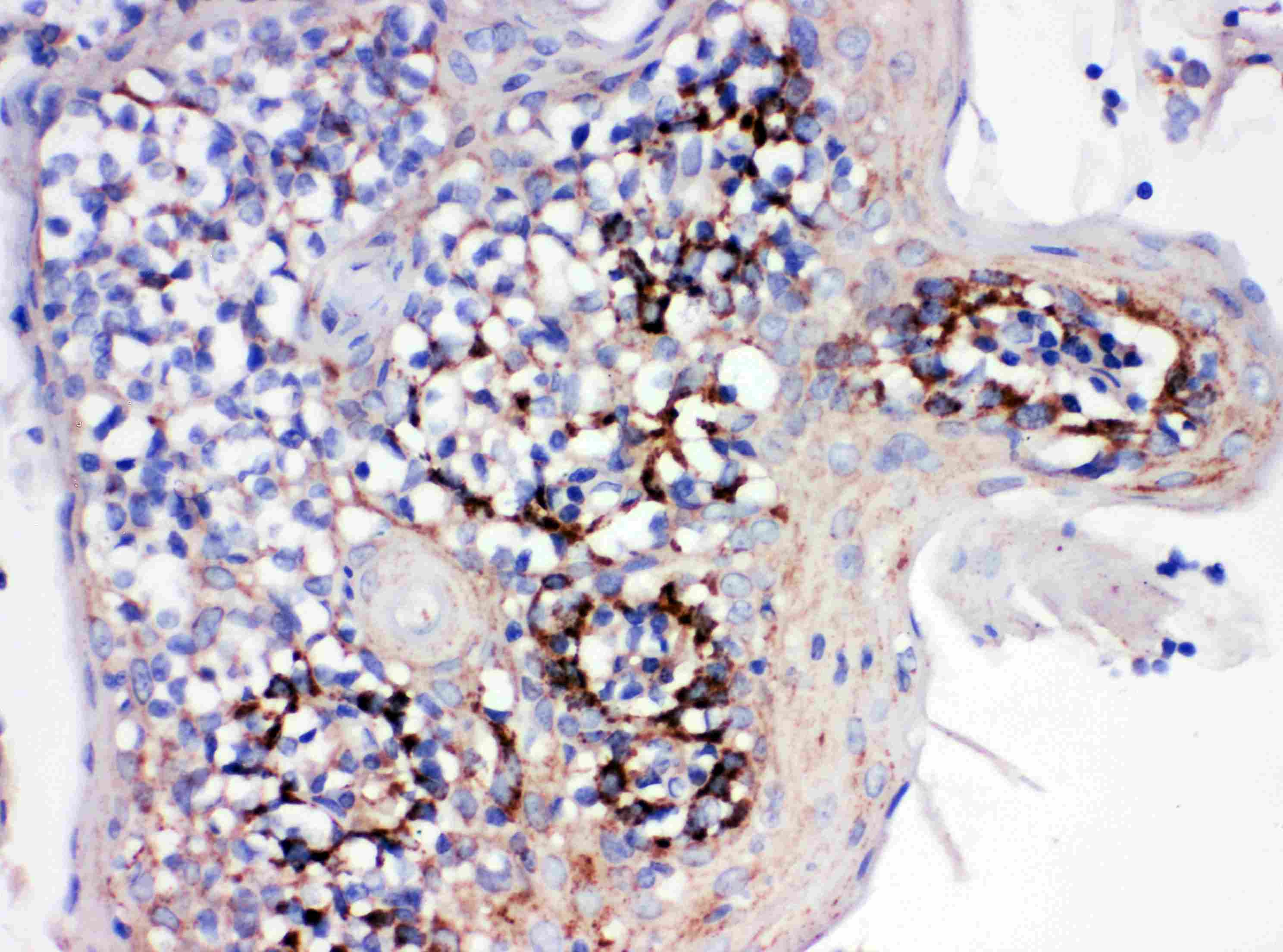
ARG40990 anti-Cyclophilin B antibody IHC-P image
Immunohistochemistry: Paraffin-embedded Mouse intestine tissue. Antigen Retrieval: Heat mediation was performed in Citrate buffer (pH 6.0, epitope retrieval solution) for 20 min. The tissue section was blocked with 10% goat serum. The tissue section was then stained with ARG40990 anti-Cyclophilin B antibody at 1 µg/ml dilution, overnight at 4°C.
