ARG66588
anti-Cyclophilin B antibody
anti-Cyclophilin B antibody for IHC-Formalin-fixed paraffin-embedded sections,Western blot and Human,Mouse,Rat,Monkey
Overview
| Product Description | Mouse Monoclonal antibody recognizes Cyclophilin B |
|---|---|
| Tested Reactivity | Hu, Ms, Rat, Mk |
| Tested Application | IHC-P, WB |
| Host | Mouse |
| Clonality | Monoclonal |
| Isotype | IgG |
| Target Name | Cyclophilin B |
| Antigen Species | Human |
| Immunogen | Synthetic peptide from Human Cyclophilin B. |
| Conjugation | Un-conjugated |
| Alternate Names | HEL-S-39; CYPB; PPIase B; CYP-S1; Cyclophilin B; SCYLP; EC 5.2.1.8; S-cyclophilin; OI9; Rotamase B; Peptidyl-prolyl cis-trans isomerase B |
Application Instructions
| Application Suggestion |
|
||||||
|---|---|---|---|---|---|---|---|
| Application Note | IHC-P: Antigen Retrieval: Heat mediation was performed in Sodium citrate buffer (pH 6.0) for 20 min. * The dilutions indicate recommended starting dilutions and the optimal dilutions or concentrations should be determined by the scientist. |
||||||
| Observed Size | 24 kDa |
Properties
| Form | Liquid |
|---|---|
| Purification | Affinity purification with immunogen. |
| Buffer | PBS, 0.02% Sodium azide, 50% Glycerol and 0.5% BSA. |
| Preservative | 0.02% Sodium azide |
| Stabilizer | 50% Glycerol and 0.5% BSA |
| Concentration | 1 mg/ml |
| Storage Instruction | For continuous use, store undiluted antibody at 2-8°C for up to a week. For long-term storage, aliquot and store at -20°C. Storage in frost free freezers is not recommended. Avoid repeated freeze/thaw cycles. Suggest spin the vial prior to opening. The antibody solution should be gently mixed before use. |
| Note | For laboratory research only, not for drug, diagnostic or other use. |
Bioinformation
| Database Links | |
|---|---|
| Gene Symbol | PPIB |
| Gene Full Name | peptidylprolyl isomerase B (cyclophilin B) |
| Background | The protein encoded by this gene is a cyclosporine-binding protein and is mainly located within the endoplasmic reticulum. It is associated with the secretory pathway and released in biological fluids. This protein can bind to cells derived from T- and B-lymphocytes, and may regulate cyclosporine A-mediated immunosuppression. Variants have been identified in this protein that give rise to recessive forms of osteogenesis imperfecta. [provided by RefSeq, Oct 2009] |
| Function | PPIases accelerate the folding of proteins. It catalyzes the cis-trans isomerization of proline imidic peptide bonds in oligopeptides. [UniProt] |
| Cellular Localization | Endoplasmic reticulum lumen. Melanosome. Note=Identified by mass spectrometry in melanosome fractions from stage I to stage IV (PubMed:17081065). [UniProt] |
| Calculated MW | 24 kDa |
Images (4) Click the Picture to Zoom In
-
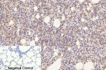
ARG66588 anti-Cyclophilin B antibody IHC-P image
Immunohistochemistry: Paraffin-embedded Human uterus tissue stained with ARG66588 anti-Cyclophilin B antibody at 1:200 dilution (4°C, overnight). Antigen Retrieval: Heat mediation was performed in Sodium citrate buffer (pH 6.0) for 20 min. Negative control was used by secondary antibody only.
-
ARG66588 anti-Cyclophilin B antibody WB image
Western blot: Jurkat, 293T, Rat liver and 3T3 cell lysates stained with ARG66588 anti-Cyclophilin B antibody at 1:2000 dilution.
-
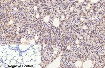
ARG66588 anti-Cyclophilin B antibody IHC-P image
Immunohistochemistry: Paraffin-embedded Rat lung tissue stained with ARG66588 anti-Cyclophilin B antibody at 1:200 dilution (4°C, overnight). Antigen Retrieval: Heat mediation was performed in Sodium citrate buffer (pH 6.0) for 20 min. Negative control was used by secondary antibody only.
-
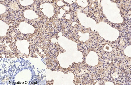
ARG66588 anti-Cyclophilin B antibody IHC-P image
Immunohistochemistry: Paraffin-embedded Mouse lung tissue stained with ARG66588 anti-Cyclophilin B antibody at 1:200 dilution (4°C, overnight). Antigen Retrieval: Heat mediation was performed in Sodium citrate buffer (pH 6.0) for 20 min. Negative control was used by secondary antibody only.
