ARG56953
anti-Cyclophilin B antibody [k2E2]
anti-Cyclophilin B antibody [k2E2] for Flow cytometry,Western blot and Human
Overview
| Product Description | Mouse Monoclonal antibody [k2E2] recognizes Cyclophilin B |
|---|---|
| Tested Reactivity | Hu |
| Tested Application | FACS, WB |
| Host | Mouse |
| Clonality | Monoclonal |
| Clone | k2E2 |
| Isotype | IgG1, kappa |
| Target Name | Cyclophilin B |
| Antigen Species | Human |
| Immunogen | Recombinant fragment around aa. 26-216 of Human Cyclophilin B. |
| Conjugation | Un-conjugated |
| Alternate Names | HEL-S-39; CYPB; PPIase B; CYP-S1; Cyclophilin B; SCYLP; EC 5.2.1.8; S-cyclophilin; OI9; Rotamase B; Peptidyl-prolyl cis-trans isomerase B |
Application Instructions
| Application Suggestion |
|
||||||
|---|---|---|---|---|---|---|---|
| Application Note | * The dilutions indicate recommended starting dilutions and the optimal dilutions or concentrations should be determined by the scientist. |
Properties
| Form | Liquid |
|---|---|
| Purification | Purification with Protein G. |
| Buffer | PBS (pH 7.4), 0.02% Sodium azide and 10% Glycerol. |
| Preservative | 0.02% Sodium azide |
| Stabilizer | 10% Glycerol |
| Concentration | 1 mg/ml |
| Storage Instruction | For continuous use, store undiluted antibody at 2-8°C for up to a week. For long-term storage, aliquot and store at -20°C. Storage in frost free freezers is not recommended. Avoid repeated freeze/thaw cycles. Suggest spin the vial prior to opening. The antibody solution should be gently mixed before use. |
| Note | For laboratory research only, not for drug, diagnostic or other use. |
Bioinformation
| Database Links |
Swiss-port # P23284 Human Peptidyl-prolyl cis-trans isomerase B |
|---|---|
| Gene Symbol | PPIB |
| Gene Full Name | peptidylprolyl isomerase B (cyclophilin B) |
| Background | The protein encoded by this gene is a cyclosporine-binding protein and is mainly located within the endoplasmic reticulum. It is associated with the secretory pathway and released in biological fluids. This protein can bind to cells derived from T- and B-lymphocytes, and may regulate cyclosporine A-mediated immunosuppression. Variants have been identified in this protein that give rise to recessive forms of osteogenesis imperfecta. [provided by RefSeq, Oct 2009] |
| Function | PPIases accelerate the folding of proteins. It catalyzes the cis-trans isomerization of proline imidic peptide bonds in oligopeptides. [UniProt] |
| Calculated MW | 24 kDa |
Images (4) Click the Picture to Zoom In
-
ARG56953 anti-Cyclophilin B antibody [k2E2] FACS image
Flow Cytometry: Hep3B cell line stained with ARG56953 anti-Cyclophilin B antibody [k2E2] at 2-5 µg for 1x10^6 cells (red line). Secondary antibody: Goat anti-Mouse IgG Alexa fluor 488 conjugate. Isotype control antibody was Mouse IgG (black line).
-
ARG56953 anti-Cyclophilin B antibody [k2E2] WB image
Western blot: 30 µg HepG2 and HeLa cell lysates stained with ARG56953 anti-Cyclophilin B antibody [k2E2] at 1:1000.
-
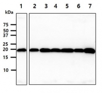
ARG56953 anti-Cyclophilin B antibody [k2E2] WB image
Western blot: 40 µg of 1) Jurkat cell lysate, 2) K562 cell lysate, 3) 293T cell lysate, 4) A549 cell lysate, 5) MCF7 cell lysate, 6) SK-OV-3 cell lysate, 7) LnCap cell lysate stained with ARG56953 anti-Cyclophilin B antibody [k2E2] at 1:1000.
-
ARG56953 anti-Cyclophilin B antibody [k2E2] WB image
Western blot: 50 ng of 1) Cyclophilin B Recombinant Protein, 2) Cyclophilin A Recombinant Protein, 3) Cyclophilin D Recombinant Protein, 4) Cyclophilin E Recombinant Protein, 5) Cyclophilin F Recombinant Protein, 6) Cyclophilin G Recombinant Protein, 7) Cyclophilin H Recombinant Protein stained with ARG56953 anti-Cyclophilin B antibody [k2E2] at 1:1000.
