ARG58538
anti-Cytochrome b5 antibody
anti-Cytochrome b5 antibody for IHC-Formalin-fixed paraffin-embedded sections,Western blot and Human
Overview
| Product Description | Rabbit Polyclonal antibody recognizes Cytochrome b5 |
|---|---|
| Tested Reactivity | Hu |
| Tested Application | IHC-P, WB |
| Host | Rabbit |
| Clonality | Polyclonal |
| Isotype | IgG |
| Target Name | Cytochrome b5 |
| Antigen Species | Human |
| Immunogen | KLH-conjugated synthetic peptide corresponding to aa. 69-98 (Center) of Human Cytochrome b5. |
| Conjugation | Un-conjugated |
| Alternate Names | Microsomal cytochrome b5 type A; MCB5; Cytochrome b5; CYB5 |
Application Instructions
| Application Suggestion |
|
||||||
|---|---|---|---|---|---|---|---|
| Application Note | * The dilutions indicate recommended starting dilutions and the optimal dilutions or concentrations should be determined by the scientist. | ||||||
| Positive Control | HepG2 |
Properties
| Form | Liquid |
|---|---|
| Purification | Purification with Protein A and immunogen peptide. |
| Buffer | PBS and 0.09% (W/V) Sodium azide. |
| Preservative | 0.09% (W/V) Sodium azide. |
| Storage Instruction | For continuous use, store undiluted antibody at 2-8°C for up to a week. For long-term storage, aliquot and store at -20°C or below. Storage in frost free freezers is not recommended. Avoid repeated freeze/thaw cycles. Suggest spin the vial prior to opening. The antibody solution should be gently mixed before use. |
| Note | For laboratory research only, not for drug, diagnostic or other use. |
Bioinformation
| Database Links | |
|---|---|
| Gene Symbol | CYB5A |
| Gene Full Name | cytochrome b5 type A (microsomal) |
| Background | The protein encoded by this gene is a membrane-bound cytochrome that reduces ferric hemoglobin (methemoglobin) to ferrous hemoglobin, which is required for stearyl-CoA-desaturase activity. Defects in this gene are a cause of type IV hereditary methemoglobinemia. Three transcript variants encoding different isoforms have been found for this gene. [provided by RefSeq, Jun 2010] |
| Function | Cytochrome b5 is a membrane bound hemoprotein which function as an electron carrier for several membrane bound oxygenases. [UniProt] |
| Cellular Localization | Isoform 1: Endoplasmic reticulum membrane; Single-pass membrane protein; Cytoplasmic side. Microsome membrane; Single-pass membrane protein; Cytoplasmic side. [UniProt] |
| Calculated MW | 15 kDa |
Images (2) Click the Picture to Zoom In
-
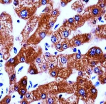
ARG58538 anti-Cytochrome b5 antibody IHC-P image
Immunohistochemistry: Formalin-fixed and paraffin-embedded Human liver tissue stained with ARG58538 anti-Cytochrome b5 antibody.
-
ARG58538 anti-Cytochrome b5 antibody WB image
Western blot: 35 µg of HepG2 cell lysate stained with ARG58538 anti-Cytochrome b5 antibody.
