ARG44694
anti-Cytokeratin 15 antibody
anti-Cytokeratin 15 antibody for IHC-Formalin-fixed paraffin-embedded sections,Immunoprecipitation,Western blot and Human
Overview
| Product Description | Mouse Monoclonal antibody recognizes Cytokeratin 15 |
|---|---|
| Tested Reactivity | Hu |
| Tested Application | IHC-P, IP, WB |
| Host | Mouse |
| Clonality | Monoclonal |
| Isotype | IgG1 |
| Target Name | Cytokeratin 15 |
| Antigen Species | Human |
| Conjugation | Un-conjugated |
| Alternate Names | CK-15; K15; Keratin, type I cytoskeletal 15; Cytokeratin-15; Keratin-15; K1CO; CK15 |
Application Instructions
| Application Suggestion |
|
||||||||
|---|---|---|---|---|---|---|---|---|---|
| Application Note | * The dilutions indicate recommended starting dilutions and the optimal dilutions or concentrations should be determined by the scientist. |
Properties
| Form | Liquid |
|---|---|
| Purification | Protein A purification |
| Buffer | PBS with 0.09% sodium azide |
| Storage Instruction | For continuous use, store undiluted antibody at 2-8°C for up to a week. For long-term storage, aliquot and store at -20°C or below. Storage in frost free freezers is not recommended. Avoid repeated freeze/thaw cycles. Suggest spin the vial prior to opening. The antibody solution should be gently mixed before use. |
| Note | For laboratory research only, not for drug, diagnostic or other use. |
Bioinformation
| Database Links | |
|---|---|
| Gene Symbol | KRT15 |
| Gene Full Name | keratin 15, type I |
| Background | The protein encoded by this gene is a member of the keratin gene family. The keratins are intermediate filament proteins responsible for the structural integrity of epithelial cells and are subdivided into cytokeratins and hair keratins. Most of the type I cytokeratins consist of acidic proteins which are arranged in pairs of heterotypic keratin chains and are clustered in a region on chromosome 17q21.2. [provided by RefSeq, Jul 2008] |
| Calculated MW | 49 kDa |
Images (3) Click the Picture to Zoom In
-
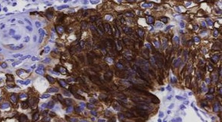
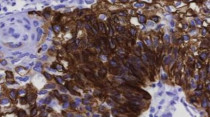
ARG44694 anti-Cytokeratin 15 antibody IHC-P image
Immunohistochemistry: Human esophageal squamous cell carcinoma stained with ARG44694 anti-Cytokeratin 15 antibody at 5 µg/mL dilution.
-
ARG44694 anti-Cytokeratin 15 antibody WB image
Western blot: A431 stained with ARG44694 anti-Cytokeratin 15 antibody at 1 µg/mL dilution.
-
ARG44694 anti-Cytokeratin 15 antibody IP image
Immunoprecipitation: A431 lysate immunoprecipitated with 2.5 µg of ARG44694 anti-Cytokeratin 15 antibody.
