ARG62973
anti-Cytokeratin 18 antibody [DC10] (Biotin)
anti-Cytokeratin 18 antibody [DC10] (Biotin) for ELISA,Flow cytometry,ICC/IF,IHC-Formalin-fixed paraffin-embedded sections,Immunoprecipitation,Western blot and Human
Controls and Markers antibody; Signaling Transduction antibody
Overview
| Product Description | Biotin-conjugated Mouse Monoclonal antibody [DC10] recognizes Cytokeratin 18 |
|---|---|
| Tested Reactivity | Hu |
| Species Does Not React With | Ms, Rat, Bov, Dog, Hm, Pig, Sheep |
| Tested Application | ELISA, FACS, ICC/IF, IHC-P, IP, WB |
| Specificity | The clone DC-10 reacts with Cytokeratin 18 (45 kDa). Cytokeratins are a member of intermediate filaments subfamily represented in epithelial tissues. |
| Host | Mouse |
| Clonality | Monoclonal |
| Clone | DC10 |
| Isotype | IgG1 |
| Target Name | Cytokeratin 18 |
| Antigen Species | Human |
| Immunogen | Human breast carcinoma cell line PMC-42. |
| Conjugation | Biotin |
| Alternate Names | Keratin, type I cytoskeletal 18; Cytokeratin-18; K18; CK-18; Cell proliferation-inducing gene 46 protein; Keratin-18; CYK18 |
Application Instructions
| Application Suggestion |
|
||||||||||||||
|---|---|---|---|---|---|---|---|---|---|---|---|---|---|---|---|
| Application Note | * The dilutions indicate recommended starting dilutions and the optimal dilutions or concentrations should be determined by the scientist. | ||||||||||||||
| Positive Control | HT-29 | ||||||||||||||
| Observed Size | ~ 43 kDa |
Properties
| Form | Liquid |
|---|---|
| Purification Note | The purified antibody is conjugated with Biotin-LC-NHS under optimum conditions. The reagent is free of unconjugated biotin. |
| Buffer | PBS (pH 7.4) and 15 mM Sodium azide |
| Preservative | 15 mM Sodium azide |
| Concentration | 1 mg/ml |
| Storage Instruction | Aliquot and store in the dark at 2-8°C. Keep protected from prolonged exposure to light. Avoid repeated freeze/thaw cycles. Suggest spin the vial prior to opening. The antibody solution should be gently mixed before use. |
| Note | For laboratory research only, not for drug, diagnostic or other use. |
Bioinformation
| Database Links | |
|---|---|
| Gene Symbol | KRT18 |
| Gene Full Name | keratin 18, type I |
| Background | Cytokeratin 18, together with its filament partner Cytokeratin 8, are perhaps the most commonly found members of the intermediate filament gene family. They are expressed in single layer epithelial tissues of the body. Mutations in this gene have been linked to cryptogenic cirrhosis. Two transcript variants encoding the same protein have been found for this gene. [provided by RefSeq, Jul 2008] |
| Function | Cytokeratin 18 involved in the uptake of thrombin-antithrombin complexes by hepatic cells. When phosphorylated, plays a role in filament reorganization. Involved in the delivery of mutated CFTR to the plasma membrane. Together with KRT8, is involved in interleukin-6 (IL-6)-mediated barrier protection. [UniProt] |
| Research Area | Controls and Markers antibody; Signaling Transduction antibody |
| Calculated MW | 48 kDa |
| PTM | Phosphorylation at Ser-34 increases during mitosis. Hyperphosphorylated at Ser-53 in diseased cirrhosis liver. Phosphorylation increases by IL-6. Proteolytically cleaved by caspases during epithelial cell apoptosis. Cleavage occurs at Asp-238 by either caspase-3, caspase-6 or caspase-7. O-GlcNAcylation increases solubility, and decreases stability by inducing proteasomal degradation. |
Images (2) Click the Picture to Zoom In
-
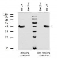
ARG62973 anti-Cytokeratin 18 antibody [DC10] (Biotin) WB image
Western blot: HT-29 (positive) and MOLT-4 (negative control) cell lysates stained with ARG62973 anti-Cytokeratin 18 antibody [DC10] (Biotin) at 2 µg/ml dilution, under reducing and non-reducing conditions.
-
ARG62973 anti-Cytokeratin 18 antibody [DC10] (Biotin) FACS image
Flow Cytometry: HeLa cells stained with ARG62973 anti-Cytokeratin 18 antibody [DC10] (Biotin) (red) at 6 µg/ml dilution, followed by Streptavidin (APC). Blank sample (black).

