ARG54388
anti-DAPK2 antibody
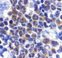
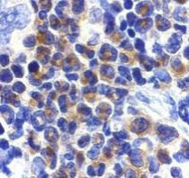
anti-DAPK2 antibody for IHC-Formalin-fixed paraffin-embedded sections,Western blot and Human,Mouse,Rat
Cell Biology and Cellular Response antibody; Cell Death antibody
Overview
| Product Description | Rabbit Polyclonal antibody recognizes DAPK2 |
|---|---|
| Tested Reactivity | Hu, Ms, Rat |
| Tested Application | IHC-P, WB |
| Specificity | This antibody recognizes human, mouse, and rat DAPK2 (approx. 42kDa) and does not cross-react with DAPK. |
| Host | Rabbit |
| Clonality | Polyclonal |
| Isotype | IgG |
| Target Name | DAPK2 |
| Antigen Species | Human |
| Immunogen | Peptide corresponding to aa 356-370 of human DAPK2 (accession no. BAA88063). This sequence is identical to that of mouse. |
| Conjugation | Un-conjugated |
| Alternate Names | DRP1; DAP-kinase-related protein 1; DRP-1; DAP kinase 2; EC 2.7.11.1; Death-associated protein kinase 2 |
Application Instructions
| Application Suggestion |
|
||||||
|---|---|---|---|---|---|---|---|
| Application Note | * The dilutions indicate recommended starting dilutions and the optimal dilutions or concentrations should be determined by the scientist. | ||||||
| Positive Control | A431, Mouse spleen and Rat kidney |
Properties
| Form | Liquid |
|---|---|
| Purification | Immunoaffinity chroma-tography |
| Buffer | PBS (pH 7.4) and 0.02% Sodium azide |
| Preservative | 0.02% Sodium azide |
| Storage Instruction | For continuous use, store undiluted antibody at 2-8°C for up to a week. For long-term storage, aliquot and store at -20°C or below. Storage in frost free freezers is not recommended. Avoid repeated freeze/thaw cycles. Suggest spin the vial prior to opening. The antibody solution should be gently mixed before use. |
| Note | For laboratory research only, not for drug, diagnostic or other use. |
Bioinformation
| Database Links | |
|---|---|
| Gene Symbol | DAPK2 |
| Gene Full Name | death-associated protein kinase 2 |
| Background | Certain serine/threonine protein kinases, such as RIP and DAP kinase, are mediators of apoptosis. DAP kinase (DAPK) is a pro-apoptotic, calcium-regulated serine/threonine kinase containing a death domain. Expression of DAPK induces cell death and suppresses oncogenic trans-formation. DAPK mediates IFN -induced apoptosis. A DAPK-related protein was recently described and designated DAPK2, or DRP-1. Expression of DAPK2 induces apoptosis. The messenger RNA for DAPK2 is expressed in multiple human tissues. |
| Function | Calcium/calmodulin-dependent serine/threonine kinase involved in multiple cellular signaling pathways that trigger cell survival, apoptosis, and autophagy. Regulates both type I apoptotic and type II autophagic cell deaths signal, depending on the cellular setting. The former is caspase-dependent, while the latter is caspase-independent and is characterized by the accumulation of autophagic vesicles. Acts as a mediator of anoikis and a suppressor of beta-catenin-dependent anchorage-independent growth of malignant epithelial cells. May play a role in granulocytic maturation. Isoform 2 is not regulated by calmodulin. It can phosphorylate MYL9. It can induce membrane blebbing and autophagic cell death. [UniProt] |
| Research Area | Cell Biology and Cellular Response antibody; Cell Death antibody |
| Calculated MW | 43 kDa |
| PTM | Autophosphorylation at Ser-318 inhibits its catalytic activity. Dephosphorylated at Ser-318 in response to activated Fas and TNF-alpha receptors. |
Images (2) Click the Picture to Zoom In
