ARG42911
anti-DAZAP1 antibody
anti-DAZAP1 antibody for IHC-Formalin-fixed paraffin-embedded sections,Western blot and Human,Mouse,Rat
Overview
| Product Description | Rabbit Polyclonal antibody recognizes DAZAP1 |
|---|---|
| Tested Reactivity | Hu, Ms, Rat |
| Tested Application | IHC-P, WB |
| Host | Rabbit |
| Clonality | Polyclonal |
| Isotype | IgG |
| Target Name | DAZAP1 |
| Antigen Species | Human |
| Immunogen | Recombinant protein corresponding to M1-E189 of Human DAZAP1. |
| Conjugation | Un-conjugated |
| Alternate Names | DAZ-associated protein 1; Deleted in azoospermia-associated protein 1 |
Application Instructions
| Application Suggestion |
|
||||||
|---|---|---|---|---|---|---|---|
| Application Note | IHC-P: Antigen Retrieval: Heat mediation was performed in Citrate buffer (pH 6.0) for 20 min. * The dilutions indicate recommended starting dilutions and the optimal dilutions or concentrations should be determined by the scientist. |
||||||
| Observed Size | ~ 45 kDa |
Properties
| Form | Liquid |
|---|---|
| Purification | Affinity purification with immunogen. |
| Buffer | 0.2% Na2HPO4, 0.9% NaCl, 0.05% Sodium azide and 4% Trehalose. |
| Preservative | 0.05% Sodium azide |
| Stabilizer | 4% Trehalose |
| Concentration | 0.5 mg/ml |
| Storage Instruction | For continuous use, store undiluted antibody at 2-8°C for up to a week. For long-term storage, aliquot and store at -20°C or below. Storage in frost free freezers is not recommended. Avoid repeated freeze/thaw cycles. Suggest spin the vial prior to opening. The antibody solution should be gently mixed before use. |
| Note | For laboratory research only, not for drug, diagnostic or other use. |
Bioinformation
| Database Links | |
|---|---|
| Gene Symbol | DAZAP1 |
| Gene Full Name | DAZ associated protein 1 |
| Background | In mammals, the Y chromosome directs the development of the testes and plays an important role in spermatogenesis. A high percentage of infertile men have deletions that map to regions of the Y chromosome. The DAZ (deleted in azoospermia) gene cluster maps to the AZFc region of the Y chromosome and is deleted in many azoospermic and severely oligospermic men. It is thought that the DAZ gene cluster arose from the transposition, amplification, and pruning of the ancestral autosomal gene DAZL also involved in germ cell development and gametogenesis. This gene encodes a RNA-binding protein with two RNP motifs that was originally identified by its interaction with the infertility factors DAZ and DAZL. Two isoforms are encoded by transcript variants of this gene. [provided by RefSeq, Jul 2008] |
| Function | RNA-binding protein, which may be required during spermatogenesis. [UniProt] |
| Cellular Localization | Cytoplasm. Nucleus. Note=Predominantly cytoplasmic (By similarity). Nuclear at some stages of spermatozoides development. In midpachytene spermatocytes, it is localized in both the cytoplasm and the nuclei and is clearly excluded from the sex vesicles. In round spermatids, it localizes mainly in the nuclei, whereas in elongated spermatids, it localizes to the cytoplasm (By similarity). [UniProt] |
| Calculated MW | 43 kDa |
| PTM | Acetylation at Lys-150 is predominantly observed in the nuclear fraction, and may regulate nucleocytoplasmic transport. [UniProt] |
Images (4) Click the Picture to Zoom In
-
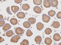
ARG42911 anti-DAZAP1 antibody IHC-P image
Immunohistochemistry: Paraffin-embedded Rat testis tissue. Antigen Retrieval: Heat mediation was performed in Citrate buffer (pH 6.0) for 20 min. The tissue section was blocked with 10% goat serum. The tissue section was then stained with ARG42911 anti-DAZAP1 antibody at 1 µg/ml dilution, overnight at 4°C.
-
ARG42911 anti-DAZAP1 antibody WB image
Western blot: 50 µg of sample under reducing conditions. K562, THP-1, HL-60 and HEK293 whole cell lysates stained with ARG42911 anti-DAZAP1 antibody at 0.5 µg/ml dilution, overnight at 4°C.
-
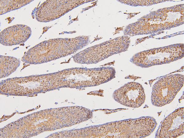
ARG42911 anti-DAZAP1 antibody IHC-P image
Immunohistochemistry: Paraffin-embedded Mouse testis tissue. Antigen Retrieval: Heat mediation was performed in Citrate buffer (pH 6.0) for 20 min. The tissue section was blocked with 10% goat serum. The tissue section was then stained with ARG42911 anti-DAZAP1 antibody at 1 µg/ml dilution, overnight at 4°C.
-
ARG42911 anti-DAZAP1 antibody WB image
Western blot: 50 µg of sample under reducing conditions. Mouse thymus, Mouse lung and SP2/0 whole cell lysates stained with ARG42911 anti-DAZAP1 antibody at 0.5 µg/ml dilution, overnight at 4°C.
