ARG42023
anti-DAZL antibody
anti-DAZL antibody for Flow cytometry,IHC-Formalin-fixed paraffin-embedded sections and Human,Mouse,Rat
Overview
| Product Description | Rabbit Polyclonal antibody recognizes DAZL |
|---|---|
| Tested Reactivity | Hu, Ms, Rat |
| Tested Application | FACS, IHC-P |
| Host | Rabbit |
| Clonality | Polyclonal |
| Isotype | IgG |
| Target Name | DAZL |
| Antigen Species | Human |
| Immunogen | Recombinant protein corresponding to E34-R281 of Human DAZL. |
| Conjugation | Un-conjugated |
| Alternate Names | DAZL1; SPGYLA; Deleted in azoospermia-like; Deleted in azoospermia-like 1; SPGY-like-autosomal; DAZLA; DAZH; DAZ homolog; DAZ-like autosomal |
Application Instructions
| Application Suggestion |
|
||||||
|---|---|---|---|---|---|---|---|
| Application Note | IHC-P: Antigen Retrieval: Heat mediation was performed in EDTA buffer (pH 8.0). * The dilutions indicate recommended starting dilutions and the optimal dilutions or concentrations should be determined by the scientist. |
Properties
| Form | Liquid |
|---|---|
| Purification | Affinity purification with immunogen. |
| Buffer | 0.2% Na2HPO4, 0.9% NaCl, 0.05% Sodium azide and 4% Trehalose. |
| Preservative | 0.05% Sodium azide |
| Stabilizer | 4% Trehalose |
| Concentration | 0.5 mg/ml |
| Storage Instruction | For continuous use, store undiluted antibody at 2-8°C for up to a week. For long-term storage, aliquot and store at -20°C or below. Storage in frost free freezers is not recommended. Avoid repeated freeze/thaw cycles. Suggest spin the vial prior to opening. The antibody solution should be gently mixed before use. |
| Note | For laboratory research only, not for drug, diagnostic or other use. |
Bioinformation
| Database Links | |
|---|---|
| Gene Symbol | DAZL |
| Gene Full Name | deleted in azoospermia-like |
| Background | The DAZ (Deleted in AZoospermia) gene family encodes potential RNA binding proteins that are expressed in prenatal and postnatal germ cells of males and females. The protein encoded by this gene is localized to the nucleus and cytoplasm of fetal germ cells and to the cytoplasm of developing oocytes. In the testis, this protein is localized to the nucleus of spermatogonia but relocates to the cytoplasm during meiosis where it persists in spermatids and spermatozoa. Transposition and amplification of this autosomal gene during primate evolution gave rise to the DAZ gene cluster on the Y chromosome. Mutations in this gene have been linked to severe spermatogenic failure and infertility in males. Two transcript variants encoding different isoforms have been found for this gene. [provided by RefSeq, Jun 2010] |
| Function | RNA-binding protein, which is essential for gametogenesis in both males and females. Plays a central role during spermatogenesis. Acts by binding to the 3'-UTR of mRNA, specifically recognizing GUU triplets, and thereby regulating the translation of key transcripts (By similarity). [UniProt] |
| Cellular Localization | Cytoplasm. Nucleus. Note=Predominantly cytoplasmic. Nuclear in spermatogonia until near the end of the meiotic prophase and cytoplasmic localization from then onward. [UniProt] |
| Calculated MW | 33 kDa |
Images (5) Click the Picture to Zoom In
-
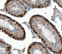
ARG42023 anti-DAZL antibody IHC-P image
Immunohistochemistry: Paraffin-embedded Human testis cancer tissue. Antigen Retrieval: Heat mediation was performed in EDTA buffer (pH 8.0). The tissue section was blocked with 10% goat serum. The tissue section was then stained with ARG42023 anti-DAZL antibody at 1 µg/ml dilution, overnight at 4°C.
-
ARG42023 anti-DAZL antibody FACS image
Flow Cytometry: HEPA1-6 cells were blocked with 10% normal goat serum and then stained with ARG42023 anti-DAZL antibody (blue) at 1 µg/10^6 cells for 30 min at 20°C, followed by incubation with DyLight®488 labelled secondary antibody. Isotype control antibody (green) was Rabbit IgG (1 µg/10^6 cells) used under the same conditions. Unlabelled sample (red) was also used as a control.
-
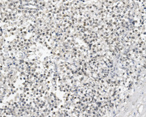
ARG42023 anti-DAZL antibody IHC-P image
Immunohistochemistry: Paraffin-embedded Mouse testis cancer tissue. Antigen Retrieval: Heat mediation was performed in EDTA buffer (pH 8.0). The tissue section was blocked with 10% goat serum. The tissue section was then stained with ARG42023 anti-DAZL antibody at 1 µg/ml dilution, overnight at 4°C.
-
ARG42023 anti-DAZL antibody IHC-P image
Immunohistochemistry: Paraffin-embedded Rat testis cancer tissue. Antigen Retrieval: Heat mediation was performed in EDTA buffer (pH 8.0). The tissue section was blocked with 10% goat serum. The tissue section was then stained with ARG42023 anti-DAZL antibody at 1 µg/ml dilution, overnight at 4°C.
-
ARG42023 anti-DAZL antibody FACS image
Flow Cytometry: HL-60 cells were blocked with 10% normal goat serum and then stained with ARG42023 anti-DAZL antibody (blue) at 1 µg/10^6 cells for 30 min at 20°C, followed by incubation with DyLight®488 labelled secondary antibody. Isotype control antibody (green) was Rabbit IgG (1 µg/10^6 cells) used under the same conditions. Unlabelled sample (red) was also used as a control.
