ARG63910
anti-DCDC2 antibody
anti-DCDC2 antibody for IHC-Formalin-fixed paraffin-embedded sections,Western blot and Human,Mouse,Rat
Neuroscience antibody; Signaling Transduction antibody
Overview
| Product Description | Goat Polyclonal antibody recognizes DCDC2 |
|---|---|
| Tested Reactivity | Hu, Ms, Rat |
| Predict Reactivity | Dog, Pig |
| Tested Application | IHC-P, WB |
| Host | Goat |
| Clonality | Polyclonal |
| Isotype | IgG |
| Target Name | DCDC2 |
| Antigen Species | Human |
| Immunogen | C-DGEKANKDAEQKED |
| Conjugation | Un-conjugated |
| Alternate Names | RU2S; DCDC2A; DFNB66; Doublecortin domain-containing protein 2; RU2; Protein RU2S; NPHP19 |
Application Instructions
| Application Suggestion |
|
||||||
|---|---|---|---|---|---|---|---|
| Application Note | IHC-P: Antigen Retrieval: Steam tissue section in Citrate buffer (pH 6.0). WB: Recommend incubate at RT for 1h. * The dilutions indicate recommended starting dilutions and the optimal dilutions or concentrations should be determined by the scientist. |
Properties
| Form | Liquid |
|---|---|
| Purification | Purified from goat serum by antigen affinity chromatography. |
| Buffer | Tris saline (pH 7.3), 0.02% Sodium azide and 0.5% BSA. |
| Preservative | 0.02% Sodium azide |
| Stabilizer | 0.5% BSA |
| Concentration | 0.5 mg/ml |
| Storage Instruction | For continuous use, store undiluted antibody at 2-8°C for up to a week. For long-term storage, aliquot and store at -20°C or below. Storage in frost free freezers is not recommended. Avoid repeated freeze/thaw cycles. Suggest spin the vial prior to opening. The antibody solution should be gently mixed before use. |
| Note | For laboratory research only, not for drug, diagnostic or other use. |
Bioinformation
| Database Links |
Swiss-port # D3ZR10 Rat Doublecortin domain-containing protein 2 Swiss-port # Q9UHG0 Human Doublecortin domain-containing protein 2 |
|---|---|
| Background | This gene encodes a member of the doublecortin family. The protein encoded by this gene contains two doublecortin domains. The doublecortin domain has been demonstrated to bind tubulin and enhance microtubule polymerization. Mutations in this gene have been associated with Reading Disability (RD), also referred to as developmental dyslexia. Alternatively spliced transcript variants encoding the same protein have been found for this gene.[provided by RefSeq, Sep 2010] |
| Research Area | Neuroscience antibody; Signaling Transduction antibody |
| Calculated MW | 53 kDa |
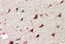
Images (2) Click the Picture to Zoom In
-
ARG63910 anti-DCDC2 antibody WB image
Western Blot: COS7 cell lysate transfected with full length recombinant human DCDC2 (A) and untransfected control COS7 cells (B) stained with ARG63910 anti-DCDC2 antibody at 0.2 µg/ml dilution.
-
ARG63910 anti-DCDC2 antibody IHC-P image
Immunohistochemistry: paraffin embedded Human Cerebral Cortex. (Steamed antigen retrieval with citrate buffer pH 6) stained with ARG63910 anti-DCDC2 antibody at 5 µg/ml dilution followed by AP-staining.
