ARG55224
anti-DCI antibody
anti-DCI antibody for Flow cytometry,IHC-Formalin-fixed paraffin-embedded sections,Western blot and Human
Cancer antibody; Cell Biology and Cellular Response antibody; Controls and Markers antibody; Metabolism antibody; Signaling Transduction antibody
Overview
| Product Description | Rabbit Polyclonal antibody recognizes DCI |
|---|---|
| Tested Reactivity | Hu |
| Tested Application | FACS, IHC-P, WB |
| Host | Rabbit |
| Clonality | Polyclonal |
| Isotype | IgG |
| Target Name | DCI |
| Antigen Species | Human |
| Immunogen | KLH-conjugated synthetic peptide corresponding to aa. 275-302 (C-terminus) of Human DCI. |
| Conjugation | Un-conjugated |
| Alternate Names | 3,2-trans-enoyl-CoA isomerase; DCI; Enoyl-CoA delta isomerase 1, mitochondrial; 3; 2; D3,D2-enoyl-CoA isomerase; Delta; EC 5.3.3.8; Dodecenoyl-CoA isomerase |
Application Instructions
| Application Suggestion |
|
||||||||
|---|---|---|---|---|---|---|---|---|---|
| Application Note | * The dilutions indicate recommended starting dilutions and the optimal dilutions or concentrations should be determined by the scientist. | ||||||||
| Positive Control | HepG2 |
Properties
| Form | Liquid |
|---|---|
| Purification | Purification with Protein A and immunogen peptide. |
| Buffer | PBS and 0.09% (W/V) Sodium azide |
| Preservative | 0.09% (W/V) Sodium azide |
| Storage Instruction | For continuous use, store undiluted antibody at 2-8°C for up to a week. For long-term storage, aliquot and store at -20°C or below. Storage in frost free freezers is not recommended. Avoid repeated freeze/thaw cycles. Suggest spin the vial prior to opening. The antibody solution should be gently mixed before use. |
| Note | For laboratory research only, not for drug, diagnostic or other use. |
Bioinformation
| Database Links |
Swiss-port # P42126 Human Enoyl-CoA delta isomerase 1, mitochondrial |
|---|---|
| Gene Symbol | ECI1 |
| Gene Full Name | enoyl-CoA delta isomerase 1 |
| Background | This gene encodes a member of the hydratase/isomerase superfamily. The protein encoded is a key mitochondrial enzyme involved in beta-oxidation of unsaturated fatty acids. It catalyzes the transformation of 3-cis and 3-trans-enoyl-CoA esters arising during the stepwise degradation of cis-, mono-, and polyunsaturated fatty acids to the 2-trans-enoyl-CoA intermediates. Alternatively spliced transcript variants have been described. [provided by RefSeq, May 2010] |
| Function | Able to isomerize both 3-cis and 3-trans double bonds into the 2-trans form in a range of enoyl-CoA species. [UniProt] |
| Cellular Localization | Mitochondrion matrix. |
| Research Area | Cancer antibody; Cell Biology and Cellular Response antibody; Controls and Markers antibody; Metabolism antibody; Signaling Transduction antibody |
| Calculated MW | 33 kDa |
Images (3) Click the Picture to Zoom In
-
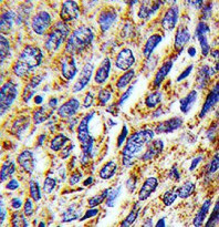
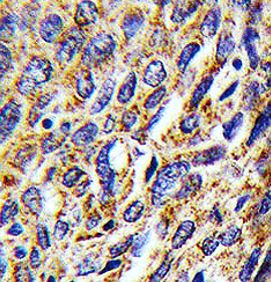
ARG55224 anti-DCI antibody IHC-P image
Immunohistochemistry: Formalin-fixed and paraffin-embedded Human lung carcinoma stained with ARG55224 anti-DCI antibody.
-
ARG55224 anti-DCI antibody WB image
Western blot: 35 µg of HepG2 cell lysate stained with ARG55224 anti-DCI antibody.
-
ARG55224 anti-DCI antibody FACS image
Flow Cytometry: MCF-7 cells stained with ARG55224 anti-DCI antibody (right histogram) or without primary antibody control (left histogram), followed by incubation with FITC labelled secondary antibody.
