ARG43800
anti-DCT / TRP2 antibody
anti-DCT / TRP2 antibody for Flow cytometry,Western blot and Human,Mouse,Rat
Overview
| Product Description | Rabbit Polyclonal antibody recognizes DCT / TRP2 |
|---|---|
| Tested Reactivity | Hu, Ms, Rat |
| Tested Application | FACS, WB |
| Host | Rabbit |
| Clonality | Polyclonal |
| Isotype | IgG |
| Target Name | DCT / TRP2 |
| Antigen Species | Human |
| Immunogen | Recombinant protein corresponding to aa. Q24-A519 of Human DCT / TRP2. |
| Conjugation | Un-conjugated |
| Protein Full Name | L-dopachrome tautomerase |
| Alternate Names | L-dopachrome tautomerase; TYRP2; Tyrosinase-related protein 2; L-dopachrome Delta-isomerase; EC 5.3.3.12; TRP2; DCT; DT; TRP-2 |
Application Instructions
| Application Suggestion |
|
||||||
|---|---|---|---|---|---|---|---|
| Application Note | * The dilutions indicate recommended starting dilutions and the optimal dilutions or concentrations should be determined by the scientist. | ||||||
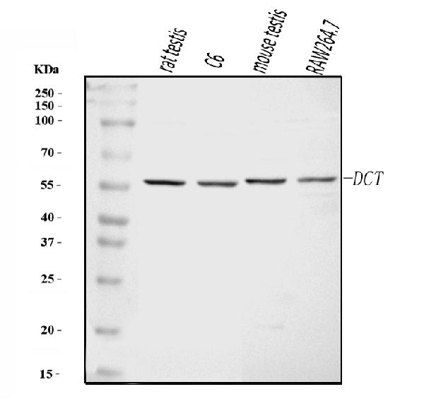
| Positive Control | rat testis tissue; C6 cell line; mouse testis; RAW264.7 cell line | ||||||
| Observed Size | ~ 60 kDa |
Properties
| Form | Liquid |
|---|---|
| Purification | Affinity purification with immunogen. |
| Buffer | 0.2% Na2HPO4, 0.9% NaCl and 4% Trehalose. |
| Stabilizer | 4% Trehalose |
| Concentration | 0.5 mg/ml |
| Storage Instruction | For continuous use, store undiluted antibody at 2-8°C for up to a week. For long-term storage, aliquot and store at -20°C. Storage in frost free freezers is not recommended. Avoid repeated freeze/thaw cycles. Suggest spin the vial prior to opening. The antibody solution should be gently mixed before use. |
| Note | For laboratory research only, not for drug, diagnostic or other use. |
Bioinformation
| Database Links | |
|---|---|
| Gene Symbol | DCT |
| Gene Full Name | dopachrome tautomerase |
| Function | Involved in regulating eumelanin and phaeomelanin levels. [UniProt] |
| Cellular Localization | Melanosome membrane; Single-pass type I membrane protein. Melanosome. Note=Proper trafficking to melanosome is regulated by SGSM2, ANKRD27, RAB9A, RAB32 and RAB38. [UniProt] |
| Calculated MW | Isoform 1: 59 kDa Isoform 2: 63 kDa |
| PTM | Glycosylated. [UniProt] |
Images (2) Click the Picture to Zoom In
-
ARG43800 anti-DCT / TRP2 antibody FACS image
Flow Cytometry: MCF-7 cells were blocked with 10% normal goat serum and then stained with ARG43800 anti-DCT / TRP2 antibody (blue) at 1 µg/10^6 cells for 30 min at 20°C, followed by incubation with DyLight®488 labelled secondary antibody. Isotype control antibody (green) was rabbit IgG (1 µg/10^6 cells) used under the same conditions. Unlabelled sample (red) was also used as a control.
-
ARG43800 anti-DCT / TRP2 antibody WB image
Western blot: rat testis tissue lysates, rat C6 whole cell lysates, mouse testis tissue lysates, mouse RAW264.7 cell lysates stained with ARG43800 anti-DCT / TRP2 antibody at 1:1000 dilution.

