ARG55395
anti-DCT / TRP2 antibody
anti-DCT / TRP2 antibody for IHC-Formalin-fixed paraffin-embedded sections,Western blot and Human
Cell Biology and Cellular Response antibody; Developmental Biology antibody; Metabolism antibody
Overview
| Product Description | Rabbit Polyclonal antibody recognizes DCT / TRP2 |
|---|---|
| Tested Reactivity | Hu |
| Tested Application | IHC-P, WB |
| Host | Rabbit |
| Clonality | Polyclonal |
| Isotype | IgG |
| Target Name | DCT / TRP2 |
| Antigen Species | Human |
| Immunogen | KLH-conjugated synthetic peptide corresponding to aa. 62-89 (N-terminus) of Human DCT. |
| Conjugation | Un-conjugated |
| Alternate Names | L-dopachrome tautomerase; TYRP2; Tyrosinase-related protein 2; L-dopachrome Delta-isomerase; EC 5.3.3.12; TRP2; DCT; DT; TRP-2 |
Application Instructions
| Application Suggestion |
|
||||||
|---|---|---|---|---|---|---|---|
| Application Note | * The dilutions indicate recommended starting dilutions and the optimal dilutions or concentrations should be determined by the scientist. | ||||||
| Positive Control | A375 |
Properties
| Form | Liquid |
|---|---|
| Purification | Purification with Protein A and immunogen peptide. |
| Buffer | PBS and 0.09% (W/V) Sodium azide |
| Preservative | 0.09% (W/V) Sodium azide |
| Storage Instruction | For continuous use, store undiluted antibody at 2-8°C for up to a week. For long-term storage, aliquot and store at -20°C or below. Storage in frost free freezers is not recommended. Avoid repeated freeze/thaw cycles. Suggest spin the vial prior to opening. The antibody solution should be gently mixed before use. |
| Note | For laboratory research only, not for drug, diagnostic or other use. |
Bioinformation
| Database Links | |
|---|---|
| Gene Symbol | DCT |
| Gene Full Name | dopachrome tautomerase |
| Function | Involved in regulating eumelanin and phaeomelanin levels. [UniProt] |
| Research Area | Cell Biology and Cellular Response antibody; Developmental Biology antibody; Metabolism antibody |
| Calculated MW | Isoform 1: 59 kDa Isoform 2: 63 kDa |
| PTM | Glycosylated. |
Images (2) Click the Picture to Zoom In
-
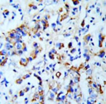
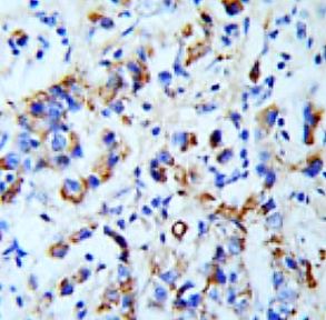
ARG55395 anti-DCT / TRP2 antibody IHC-P image
Immunohistochemistry: Formalin-fixed and paraffin-embedded breast carcinoma stained with ARG55395 anti-DCT / TRP2 antibody.
-
ARG55395 anti-DCT / TRP2 antibody WB image
Western blot: 35 µg of A375 cell lysate stained with ARG55395 anti-DCT / TRP2 antibody.
