ARG66652
anti-DCT / TRP2 antibody
anti-DCT / TRP2 antibody for IHC-Formalin-fixed paraffin-embedded sections,Western blot and Human
Overview
| Product Description | Rabbit Polyclonal antibody recognizes DCT / TRP2 |
|---|---|
| Tested Reactivity | Hu |
| Predict Reactivity | Ms, Rat |
| Tested Application | IHC-P, WB |
| Host | Rabbit |
| Clonality | Polyclonal |
| Isotype | IgG |
| Target Name | DCT / TRP2 |
| Antigen Species | Human |
| Immunogen | Synthetic peptide corresponding to aa. 1268-1341 of Human DCT / TRP2. |
| Conjugation | Un-conjugated |
| Alternate Names | L-dopachrome tautomerase; TYRP2; Tyrosinase-related protein 2; L-dopachrome Delta-isomerase; EC 5.3.3.12; TRP2; DCT; DT; TRP-2 |
Application Instructions
| Application Suggestion |
|
||||||
|---|---|---|---|---|---|---|---|
| Application Note | * The dilutions indicate recommended starting dilutions and the optimal dilutions or concentrations should be determined by the scientist. | ||||||
| Observed Size | ~ 70 kDa |
Properties
| Form | Liquid |
|---|---|
| Purification | Affinity purification with immunogen. |
| Buffer | PBS (pH 7.4), 0.02% Sodium azide and 50% Glycerol. |
| Preservative | 0.02% Sodium azide |
| Stabilizer | 50% Glycerol |
| Concentration | 1 mg/ml |
| Storage Instruction | For continuous use, store undiluted antibody at 2-8°C for up to a week. For long-term storage, aliquot and store at -20°C. Storage in frost free freezers is not recommended. Avoid repeated freeze/thaw cycles. Suggest spin the vial prior to opening. The antibody solution should be gently mixed before use. |
| Note | For laboratory research only, not for drug, diagnostic or other use. |
Bioinformation
| Database Links | |
|---|---|
| Gene Symbol | DCT |
| Gene Full Name | dopachrome tautomerase |
| Function | Involved in regulating eumelanin and phaeomelanin levels. [UniProt] |
| Cellular Localization | Melanosome membrane; Single-pass type I membrane protein. Melanosome. Note=Proper trafficking to melanosome is regulated by SGSM2, ANKRD27, RAB9A, RAB32 and RAB38. [UniProt] |
| Calculated MW | Isoform 1: 59 kDa Isoform 2: 63 kDa |
| PTM | Glycosylated. [UniProt] |
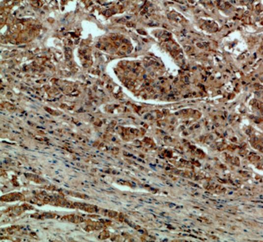
Images (2) Click the Picture to Zoom In
-
ARG66652 anti-DCT / TRP2 antibody IHC-P image
Immunohistochemistry: Paraffin-embedded Human breast cancer tissue stained with ARG66652 anti-DCT / TRP2 antibody at 1:200 dilution.
-
ARG66652 anti-DCT / TRP2 antibody WB image
Western blot: HeLa and A549 cell lysates stained with ARG66652 anti-DCT / TRP2 antibody at 1:1000 dilution.
