ARG57150
anti-DHFR antibody [5B2]
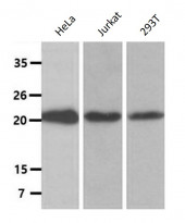
anti-DHFR antibody [5B2] for Western blot and Human
Overview
| Product Description | Mouse Monoclonal antibody [5B2] recognizes DHFR |
|---|---|
| Tested Reactivity | Hu |
| Tested Application | WB |
| Host | Mouse |
| Clonality | Monoclonal |
| Clone | 5B2 |
| Isotype | IgG1, kappa |
| Target Name | DHFR |
| Antigen Species | Human |
| Immunogen | Recombinant fragment around aa. 1-187 of Human DHFR |
| Conjugation | Un-conjugated |
| Alternate Names | EC 1.5.1.3; DHFRP1; DYR; Dihydrofolate reductase |
Application Instructions
| Application Suggestion |
|
||||
|---|---|---|---|---|---|
| Application Note | * The dilutions indicate recommended starting dilutions and the optimal dilutions or concentrations should be determined by the scientist. |
Properties
| Form | Liquid |
|---|---|
| Purification | Purification with Protein A. |
| Buffer | PBS (pH 7.4), 0.02% Sodium azide and 10% Glycerol. |
| Preservative | 0.02% Sodium azide |
| Stabilizer | 10% Glycerol |
| Concentration | 1 mg/ml |
| Storage Instruction | For continuous use, store undiluted antibody at 2-8°C for up to a week. For long-term storage, aliquot and store at -20°C. Storage in frost free freezers is not recommended. Avoid repeated freeze/thaw cycles. Suggest spin the vial prior to opening. The antibody solution should be gently mixed before use. |
| Note | For laboratory research only, not for drug, diagnostic or other use. |
Bioinformation
| Database Links | |
|---|---|
| Gene Symbol | DHFR |
| Gene Full Name | dihydrofolate reductase |
| Background | Dihydrofolate reductase converts dihydrofolate into tetrahydrofolate, a methyl group shuttle required for the de novo synthesis of purines, thymidylic acid, and certain amino acids. While the functional dihydrofolate reductase gene has been mapped to chromosome 5, multiple intronless processed pseudogenes or dihydrofolate reductase-like genes have been identified on separate chromosomes. Dihydrofolate reductase deficiency has been linked to megaloblastic anemia. Several transcript variants encoding different isoforms have been found for this gene. [provided by RefSeq, Mar 2014] |
| Function | Key enzyme in folate metabolism. Contributes to the de novo mitochondrial thymidylate biosynthesis pathway. Catalyzes an essential reaction for de novo glycine and purine synthesis, and for DNA precursor synthesis. Binds its own mRNA and that of DHFRL1. [UniProt] |
| Calculated MW | 21 kDa |
Images (1) Click the Picture to Zoom In
