ARG43429
anti-DHODH antibody [4E3]
anti-DHODH antibody [4E3] for Flow cytometry,ICC/IF,Western blot and Human,Mouse,Rat
Overview
| Product Description | Mouse Monoclonal antibody [4E3] recognizes DHODH |
|---|---|
| Tested Reactivity | Hu, Ms, Rat |
| Tested Application | FACS, ICC/IF, WB |
| Host | Mouse |
| Clonality | Monoclonal |
| Clone | 4E3 |
| Isotype | IgG2b |
| Target Name | DHODH |
| Antigen Species | Human |
| Immunogen | Synthetic peptide corresponding to aa. 132-173 of Human DHODH. (RVFRL PEDQA VINRY GFNSH GLSVV EHRLR ARQQK QAKLT ED) |
| Conjugation | Un-conjugated |
| Alternate Names | URA1; POADS; DHOdehase; Dihydroorotate dehydrogenase (quinone), mitochondrial; DHOdehase; EC 1.3.5.2; Dihydroorotate oxidase |
Application Instructions
| Application Suggestion |
|
||||||||
|---|---|---|---|---|---|---|---|---|---|
| Application Note | * The dilutions indicate recommended starting dilutions and the optimal dilutions or concentrations should be determined by the scientist. | ||||||||
| Observed Size | ~ 43 kDa |
Properties
| Form | Liquid |
|---|---|
| Purification | Affinity purification with immunogen. |
| Buffer | 0.2% Na2HPO4, 0.9% NaCl and 4% Trehalose. |
| Stabilizer | 4% Trehalose |
| Concentration | 0.5 mg/ml |
| Storage Instruction | For continuous use, store undiluted antibody at 2-8°C for up to a week. For long-term storage, aliquot and store at -20°C or below. Storage in frost free freezers is not recommended. Avoid repeated freeze/thaw cycles. Suggest spin the vial prior to opening. The antibody solution should be gently mixed before use. |
| Note | For laboratory research only, not for drug, diagnostic or other use. |
Bioinformation
| Database Links | |
|---|---|
| Gene Symbol | DHODH |
| Gene Full Name | dihydroorotate dehydrogenase (quinone) |
| Background | The protein encoded by this gene catalyzes the fourth enzymatic step, the ubiquinone-mediated oxidation of dihydroorotate to orotate, in de novo pyrimidine biosynthesis. This protein is a mitochondrial protein located on the outer surface of the inner mitochondrial membrane. [provided by RefSeq, Jul 2008] |
| Function | Catalyzes the conversion of dihydroorotate to orotate with quinone as electron acceptor. [UniProt] |
| Cellular Localization | Mitochondrion inner membrane; Single-pass membrane protein. [UniProt] |
| Calculated MW | 43 kDa |
| PTM | The uncleaved transit peptide is required for mitochondrial targeting and proper membrane integration. [UniProt] |
Images (3) Click the Picture to Zoom In
-
ARG43429 anti-DHODH antibody [4E3] ICC/IF image
Immunofluorescence: MCF7 cells were blocked with 10% goat serum and then stained with ARG43429 anti-DHODH antibody [4E3] (green) at 5 µg/ml dilution, overnight at 4°C. DAPI (blue) for nuclear staining.
-
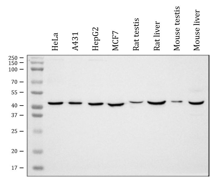
ARG43429 anti-DHODH antibody [4E3] WB image
Western blot: 30 µg of sample under reducing conditions. HeLa, A431, HepG2, MCF7, Rat testis, Rat liver, Mouse testis and Mouse liver lysates stained with ARG43429 anti-DHODH antibody [4E3] at 0.5 µg/ml dilution, overnight at 4°C.
-
ARG43429 anti-DHODH antibody [4E3] FACS image
Flow Cytometry: U937 cells were blocked with 10% normal goat serum and then stained with ARG43429 anti-DHODH antibody [4E3] (blue) at 1 µg/10^6 cells for 30 min at 20°C, followed by incubation with DyLight®488 labelled secondary antibody. Isotype control antibody (green) was mouse IgG (1 µg/10^6 cells) used under the same conditions. Unlabelled sample (red) was also used as a control.
