ARG55361
anti-DHX9 antibody
anti-DHX9 antibody for ICC/IF,IHC-Formalin-fixed paraffin-embedded sections,Western blot and Human
Gene Regulation antibody
Overview
| Product Description | Rabbit Polyclonal antibody recognizes DHX9 |
|---|---|
| Tested Reactivity | Hu |
| Predict Reactivity | Bov |
| Tested Application | ICC/IF, IHC-P, WB |
| Host | Rabbit |
| Clonality | Polyclonal |
| Isotype | IgG |
| Target Name | DHX9 |
| Antigen Species | Human |
| Immunogen | KLH-conjugated synthetic peptide corresponding to aa. 1-30 (N-terminus) of Human DHX9. |
| Conjugation | Un-conjugated |
| Alternate Names | NDHII; Nuclear DNA helicase II; Leukophysin; ATP-dependent RNA helicase A; NDH2; NDH II; EC 3.6.4.13; RHA; DEAH box protein 9; DDX9; LKP |
Application Instructions
| Application Suggestion |
|
||||||||
|---|---|---|---|---|---|---|---|---|---|
| Application Note | * The dilutions indicate recommended starting dilutions and the optimal dilutions or concentrations should be determined by the scientist. | ||||||||
| Positive Control | 293 |
Properties
| Form | Liquid |
|---|---|
| Purification | Purification with Protein A and immunogen peptide. |
| Buffer | PBS and 0.09% (W/V) Sodium azide |
| Preservative | 0.09% (W/V) Sodium azide |
| Storage Instruction | For continuous use, store undiluted antibody at 2-8°C for up to a week. For long-term storage, aliquot and store at -20°C or below. Storage in frost free freezers is not recommended. Avoid repeated freeze/thaw cycles. Suggest spin the vial prior to opening. The antibody solution should be gently mixed before use. |
| Note | For laboratory research only, not for drug, diagnostic or other use. |
Bioinformation
| Database Links | |
|---|---|
| Gene Symbol | DHX9 |
| Gene Full Name | DEAH (Asp-Glu-Ala-His) box helicase 9 |
| Background | This gene encodes a member of the DEAH-containing family of RNA helicases. The encoded protein is an enzyme that catalyzes the ATP-dependent unwinding of double-stranded RNA and DNA-RNA complexes. This protein localizes to both the nucleus and the cytoplasm and functions as a transcriptional regulator. This protein may also be involved in the expression and nuclear export of retroviral RNAs. Alternate splicing results in multiple transcript variants. Pseudogenes of this gene are found on chromosomes 11 and 13.[provided by RefSeq, Feb 2010] |
| Function | Unwinds double-stranded DNA and RNA in a 3' to 5' direction. Alteration of secondary structure may subsequently influence interactions with proteins or other nucleic acids. Functions as a transcriptional activator. Component of the CRD-mediated complex that promotes MYC mRNA stability. Involved with LARP6 in the stabilization of type I collagen mRNAs for CO1A1 and CO1A2. As component of a large PER complex is involved in the inhibition of 3' transcriptional termination of circadian target genes such as PER1 and NR1D1 and the control of the circadian rhythms. Positively regulates HIV-1 LTR-directed gene expression. [UniProt] |
| Cellular Localization | Nucleus, nucleolus. Cytoplasm. Note=Localized in cytoplasmic mRNP granules containing untranslated mRNAs. Can shuttle between nucleus and cytoplasm |
| Research Area | Gene Regulation antibody |
| Calculated MW | 141 kDa |
| PTM | Methylated. HRMT1L2 mediated methylation of undefined Arg residues in the NTD is required for nuclear localization. May be phosphorylated by PRKDC/XRCC7. Phosphorylated by EIF2AK2/PKR and this phosphorylation perturbs its association with dsRNA. |
Images (3) Click the Picture to Zoom In
-
ARG55361 anti-DHX9 antibody ICC/IF image
Immunofluorescence: A549 cells stained with ARG55361 anti-DHX9 antibody (green) at 1:25 dilution. Cytoplasmic actin was counterstained with Alexa Fluor® 555 conjugated with Phalloidin (red).
-
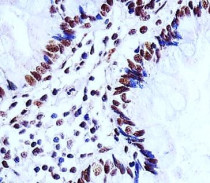
ARG55361 anti-DHX9 antibody IHC-P image
Immunohistochemistry: Paraffin-embedded Human colon section stained with ARG55361 anti-DHX9 antibody at 1:25 dilution.
-
ARG55361 anti-DHX9 antibody WB image
Western blot: 35 µg of 293 cell lysate stained with ARG55361 anti-DHX9 antibody.
