ARG58544
anti-DIAPH2 antibody
anti-DIAPH2 antibody for Flow cytometry,IHC-Formalin-fixed paraffin-embedded sections,Western blot and Human
Overview
| Product Description | Rabbit Polyclonal antibody recognizes DIAPH2 |
|---|---|
| Tested Reactivity | Hu |
| Tested Application | FACS, IHC-P, WB |
| Host | Rabbit |
| Clonality | Polyclonal |
| Isotype | IgG |
| Target Name | DIAPH2 |
| Antigen Species | Human |
| Immunogen | KLH-conjugated synthetic peptide corresponding to aa. 870-899 (Center) of Human DIAPH2. |
| Conjugation | Un-conjugated |
| Alternate Names | Diaphanous-related formin-2; DRF2; Protein diaphanous homolog 2; POF2; DIA; POF; DIA2 |
Application Instructions
| Application Suggestion |
|
||||||||
|---|---|---|---|---|---|---|---|---|---|
| Application Note | * The dilutions indicate recommended starting dilutions and the optimal dilutions or concentrations should be determined by the scientist. | ||||||||
| Positive Control | MDA-MB-435 |
Properties
| Form | Liquid |
|---|---|
| Purification | Purification with Protein A and immunogen peptide. |
| Buffer | PBS and 0.09% (W/V) Sodium azide. |
| Preservative | 0.09% (W/V) Sodium azide. |
| Storage Instruction | For continuous use, store undiluted antibody at 2-8°C for up to a week. For long-term storage, aliquot and store at -20°C or below. Storage in frost free freezers is not recommended. Avoid repeated freeze/thaw cycles. Suggest spin the vial prior to opening. The antibody solution should be gently mixed before use. |
| Note | For laboratory research only, not for drug, diagnostic or other use. |
Bioinformation
| Database Links | |
|---|---|
| Gene Symbol | DIAPH2 |
| Gene Full Name | diaphanous-related formin 2 |
| Background | The product of this gene belongs to the diaphanous subfamily of the formin homology family of proteins. This gene may play a role in the development and normal function of the ovaries. Defects in this gene have been linked to premature ovarian failure 2. Alternatively spliced transcript variants encoding different isoforms have been identified. [provided by RefSeq, Jul 2008] |
| Function | Could be involved in oogenesis. Involved in the regulation of endosome dynamics. Implicated in a novel signal transduction pathway, in which isoform 3 and CSK are sequentially activated by RHOD to regulate the motility of early endosomes through interactions with the actin cytoskeleton. [UniProt] |
| Cellular Localization | Isoform 3: Cytoplasm, cytosol. Early endosome. Note=Isoform 3 is cytosolic but when coexpressed with RHOD, the 2 proteins colocalize to early endosomes. [UniProt] |
| Calculated MW | 126 kDa |
Images (3) Click the Picture to Zoom In
-
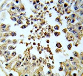
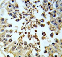
ARG58544 anti-DIAPH2 antibody IHC-P image
Immunohistochemistry: Formalin-fixed and paraffin-embedded Human testis tissue stained with ARG58544 anti-DIAPH2 antibody.
-
ARG58544 anti-DIAPH2 antibody WB image
Western blot: 35 µg of MDA-MB-435 cell lysate stained with ARG58544 anti-DIAPH2 antibody.
-
ARG58544 anti-DIAPH2 antibody FACS image
Flow Cytometry: CEM cells stained with ARG58544 anti-DIAPH2 antibody (right histogram) or without primary antibody as control (left histogram), followed by incubation with FITC labelled secondary antibody.
