ARG63634
anti-DLC1 antibody
anti-DLC1 antibody for ICC/IF,IHC-Formalin-fixed paraffin-embedded sections and Human,Mouse
Cancer antibody; Controls and Markers antibody; Gene Regulation antibody; Signaling Transduction antibody
Overview
| Product Description | Goat Polyclonal antibody recognizes DLC1 |
|---|---|
| Tested Reactivity | Hu, Ms |
| Predict Reactivity | Pig |
| Tested Application | ICC/IF, IHC-P |
| Specificity | This antibody is expected to recognise isoforms 1 and 3 ( NP_872584.2 and NP_079043.3 resp) but NOT isoform 2 (NP_006085.2). |
| Host | Goat |
| Clonality | Polyclonal |
| Isotype | IgG |
| Target Name | DLC1 |
| Antigen Species | Human |
| Immunogen | SVAIRKRSWEEHC |
| Conjugation | Un-conjugated |
| Alternate Names | STARD12; Rho GTPase-activating protein 7; p122-RhoGAP; START domain-containing protein 12; HP; StARD12; StAR-related lipid transfer protein 12; Rho-type GTPase-activating protein 7; DLC-1; Deleted in liver cancer 1 protein; ARHGAP7; HP protein |
Application Instructions
| Application Suggestion |
|
||||||
|---|---|---|---|---|---|---|---|
| Application Note | IHC-P: Antigen Retrieval: Heat mediation was performed in Citrate buffer (pH 6.0). * The dilutions indicate recommended starting dilutions and the optimal dilutions or concentrations should be determined by the scientist. |
Properties
| Form | Liquid |
|---|---|
| Purification | Purified from goat serum by antigen affinity chromatography. |
| Buffer | Tris saline (pH 7.3), 0.02% Sodium azide and 0.5% BSA. |
| Preservative | 0.02% Sodium azide |
| Stabilizer | 0.5% BSA |
| Concentration | 0.5 mg/ml |
| Storage Instruction | For continuous use, store undiluted antibody at 2-8°C for up to a week. For long-term storage, aliquot and store at -20°C or below. Storage in frost free freezers is not recommended. Avoid repeated freeze/thaw cycles. Suggest spin the vial prior to opening. The antibody solution should be gently mixed before use. |
| Note | For laboratory research only, not for drug, diagnostic or other use. |
Bioinformation
| Database Links | |
|---|---|
| Background | This gene encodes a GTPase-activating protein (GAP) that is a member of the rhoGAP family of proteins which play a role in the regulation of small GTP-binding proteins. GAP family proteins participate in signaling pathways that regulate cell processes involved in cytoskeletal changes. This gene functions as a tumor suppressor gene in a number of common cancers, including prostate, lung, colorectal, and breast cancers. Multiple transcript variants due to alternative promoters and alternative splicing have been found for this gene.[provided by RefSeq, Apr 2010] |
| Research Area | Cancer antibody; Controls and Markers antibody; Gene Regulation antibody; Signaling Transduction antibody |
| Calculated MW | 171 kDa |
Images (4) Click the Picture to Zoom In
-
ARG63634 anti-DLC1 antibody ICC/IF image
Immunofluorescence: Paraformaldehyde fixed U251 cells permeabilized with 0.15% Triton. Cells were stained with ARG63634 anti-DLC1 antibody (green) at 10 µg/ml dilution for 1 hour. DAPI (blue) for nuclear staining. Negative control: Unimmunized goat IgG (green) at 10 µg/ml dilution.
-
ARG63634 anti-DLC1 antibody IHC-P image
Immunohistochemistry: Paraffin-embedded Mouse adrenal gland tissue. Antigen Retrieval: Heat mediation was performed in Citrate buffer (pH 6.0). The tissue section was stained with ARG63634 anti-DLC1 antibody at 4 µg/ml dilution followed by HRP-staining.
-
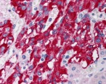
ARG63634 anti-DLC1 antibody IHC-P image
Immunohistochemistry: paraffin embedded Human Adrenal Gland. (Steamed antigen retrieval with citrate buffer pH 6) stained with ARG63634 anti-DLC1 (Isoforms 1 and 3) antibody at 5 µg/ml dilution followed by AP-staining.
-
ARG63634 anti-DLC1 antibody ICC/IF image
Immunofluorescence: Paraformaldehyde fixed U2OS cells permeabilized with 0.15% Triton. Cells were stained with ARG63634 anti-DLC1 antibody (green) at 10 µg/ml dilution for 1 hour. DAPI (blue) for nuclear staining. Negative control: Unimmunized goat IgG (green) at 10 µg/ml dilution.
