ARG58524
anti-DMRT1 antibody
anti-DMRT1 antibody for IHC-Formalin-fixed paraffin-embedded sections,Western blot and Human,Mouse,Rat
Overview
| Product Description | Rabbit Polyclonal antibody recognizes DMRT1 |
|---|---|
| Tested Reactivity | Hu, Ms, Rat |
| Predict Reactivity | Hm |
| Tested Application | IHC-P, WB |
| Host | Rabbit |
| Clonality | Polyclonal |
| Isotype | IgG |
| Target Name | DMRT1 |
| Antigen Species | Human |
| Immunogen | Synthetic peptide corresponding to a sequence at the N-terminus of Human DMRT1 (98-128aa RDCQCKKCNLIAERQRVMAAQVALRRQQAQE), different from the related Mouse sequence by one amino acid. |
| Conjugation | Un-conjugated |
| Alternate Names | DMT1; DM domain expressed in testis protein 1; Doublesex- and mab-3-related transcription factor 1; CT154 |
Application Instructions
| Application Suggestion |
|
||||||
|---|---|---|---|---|---|---|---|
| Application Note | IHC-P: Antigen Retrieval: By heat mediation. * The dilutions indicate recommended starting dilutions and the optimal dilutions or concentrations should be determined by the scientist. |
Properties
| Form | Liquid |
|---|---|
| Purification | Affinity purification with immunogen. |
| Buffer | 0.9% NaCl, 0.2% Na2HPO4, 0.05% Sodium azide and 5% BSA. |
| Preservative | 0.05% Sodium azide |
| Stabilizer | 5% BSA |
| Concentration | 0.5 mg/ml |
| Storage Instruction | For continuous use, store undiluted antibody at 2-8°C for up to a week. For long-term storage, aliquot and store at -20°C or below. Storage in frost free freezers is not recommended. Avoid repeated freeze/thaw cycles. Suggest spin the vial prior to opening. The antibody solution should be gently mixed before use. |
| Note | For laboratory research only, not for drug, diagnostic or other use. |
Bioinformation
| Database Links |
Swiss-port # Q9QZ59 Mouse Doublesex- and mab-3-related transcription factor 1 Swiss-port # Q9Y5R6 Human Doublesex- and mab-3-related transcription factor 1 |
|---|---|
| Gene Symbol | DMRT1 |
| Gene Full Name | doublesex and mab-3 related transcription factor 1 |
| Background | This gene is found in a cluster with two other members of the gene family, having in common a zinc finger-like DNA-binding motif (DM domain). The DM domain is an ancient, conserved component of the vertebrate sex-determining pathway that is also a key regulator of male development in flies and nematodes. This gene exhibits a gonad-specific and sexually dimorphic expression pattern. Defective testicular development and XY feminization occur when this gene is hemizygous. [provided by RefSeq, Jul 2008] |
| Function | Transcription factor that plays a key role in male sex determination and differentiation by controlling testis development and male germ cell proliferation. Plays a central role in spermatogonia by inhibiting meiosis in undifferentiated spermatogonia and promoting mitosis, leading to spermatogonial development and allowing abundant and continuous production of sperm. Acts both as a transcription repressor and activator: prevents meiosis by restricting retinoic acid (RA)-dependent transcription and repressing STRA8 expression and promotes spermatogonial development by activating spermatogonial differentiation genes, such as SOHLH1. Also plays a key role in postnatal sex maintenance by maintaining testis determination and preventing feminization: represses transcription of female promoting genes such as FOXL2 and activates male-specific genes. May act as a tumor suppressor. May also play a minor role in oogenesis (By similarity). [UniProt] |
| Cellular Localization | Nucleus. [UniProt] |
| Calculated MW | 39 kDa |
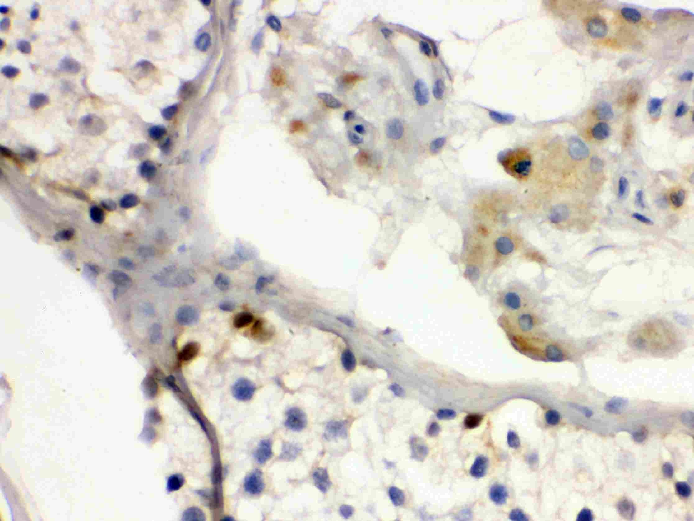
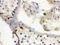
Images (2) Click the Picture to Zoom In
-
ARG58524 anti-DMRT1 antibody IHC-P image
Immunohistochemistry: Paraffin-embedded Human testis stained with ARG58524 anti-DMRT1 antibody.
-
ARG58524 anti-DMRT1 antibody WB image
Western blot: 50 µg of Rat testis, 50 µg of Mouse testis, 50 µg of Rat brain, 50 µg of Mouse brain and 40 µg of U87 whole cell lysates stained with ARG58524 anti-DMRT1 antibody at 0.5 µg/ml dilution.
