ARG54335
anti-DNase II antibody
anti-DNase II antibody for IHC-Formalin-fixed paraffin-embedded sections,Western blot and Human
Cell Biology and Cellular Response antibody; Cell Death antibody; Gene Regulation antibody; Metabolism antibody
Overview
| Product Description | Rabbit Polyclonal antibody recognizes DNase II |
|---|---|
| Tested Reactivity | Hu |
| Tested Application | IHC-P, WB |
| Specificity | This antibody recognizes the proenzyme of human DNase II (40kDa). |
| Host | Rabbit |
| Clonality | Polyclonal |
| Isotype | IgG |
| Target Name | DNase II |
| Antigen Species | Human |
| Immunogen | Peptide corresponding to aa 347-360 of human DNase II precursor (accession no. AF047016). |
| Conjugation | Un-conjugated |
| Alternate Names | EC 3.1.22.1; DNASE2A; Deoxyribonuclease II alpha; DNL2; DNL; Deoxyribonuclease-2-alpha; Acid DNase; R31240_2; Lysosomal DNase II; DNase II alpha |
Application Instructions
| Application Suggestion |
|
||||||
|---|---|---|---|---|---|---|---|
| Application Note | * The dilutions indicate recommended starting dilutions and the optimal dilutions or concentrations should be determined by the scientist. | ||||||
| Positive Control | Human spleen |
Properties
| Form | Liquid |
|---|---|
| Purification | Immunoaffinity chroma-tography |
| Buffer | PBS (pH 7.4) and 0.02% Sodium azide |
| Preservative | 0.02% Sodium azide |
| Storage Instruction | For continuous use, store undiluted antibody at 2-8°C for up to a week. For long-term storage, aliquot and store at -20°C or below. Storage in frost free freezers is not recommended. Avoid repeated freeze/thaw cycles. Suggest spin the vial prior to opening. The antibody solution should be gently mixed before use. |
| Note | For laboratory research only, not for drug, diagnostic or other use. |
Bioinformation
| Database Links | |
|---|---|
| Gene Symbol | DNASE2 |
| Gene Full Name | deoxyribonuclease II, lysosomal |
| Background | DNase II causes both chromatin condensation and DNA fragmentation. The genes encoding human, porcine, and murine DNase II have been cloned. The DNase II gene encodes a 40 kDa proenzyme. The mature enzyme consists of two non-identical subunits, the 32 kDa and 12 kDa chains, generated by proteolytic processing. Overexpression of DNase II induces chromatin condensation. DNase II is ubiquitously expressed in human tissues. |
| Function | Hydrolyzes DNA under acidic conditions with a preference for double-stranded DNA. Plays a major role in the degradation of nuclear DNA in cellular apoptosis during development. Necessary for proper fetal development and for definitive erythropoiesis in fetal liver, where it degrades nuclear DNA expelled from erythroid precursor cells. [UniProt] |
| Research Area | Cell Biology and Cellular Response antibody; Cell Death antibody; Gene Regulation antibody; Metabolism antibody |
| Calculated MW | 40 kDa |
| PTM | Glycosylated. Mutations that eliminate N-glycosylation sites reduce activity, but enzymatic deglycosylation has no effect. |
Images (2) Click the Picture to Zoom In
-
ARG54335 anti-DNase II antibody WB image
Western Blot: human spleen tissue lysate in the absence (lane 1) or presence (lane 2) of blocking peptide stained with ARG54335 anti-DNase II antibody at 1 μg/ml dilution.
-
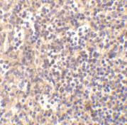
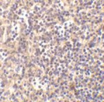
ARG54335 anti-DNase II antibody IHC-P image
Immunohistochemistry: human spleen stained with ARG54335 anti-DNase II antibody at 5 μg/ml dilution.
