ARG51759
anti-DOK2 phospho (Tyr299) antibody
anti-DOK2 phospho (Tyr299) antibody for ICC/IF,IHC-Formalin-fixed paraffin-embedded sections,Western blot and Human
Cancer antibody; Signaling Transduction antibody
Overview
| Product Description | Rabbit Polyclonal antibody recognizes DOK2 phospho (Tyr299) |
|---|---|
| Tested Reactivity | Hu |
| Tested Application | ICC/IF, IHC-P, WB |
| Host | Rabbit |
| Clonality | Polyclonal |
| Isotype | IgG |
| Target Name | DOK2 |
| Antigen Species | Human |
| Immunogen | Peptide sequence around phosphorylation site of tyrosine 299 (G-E-Y(p)-A-V) derived from Human p56Dok-2. |
| Conjugation | Un-conjugated |
| Alternate Names | p56dok-2; Docking protein 2; p56DOK; dok-2; Downstream of tyrosine kinase 2; p56 |
Application Instructions
| Application Suggestion |
|
||||||||
|---|---|---|---|---|---|---|---|---|---|
| Application Note | * The dilutions indicate recommended starting dilutions and the optimal dilutions or concentrations should be determined by the scientist. |
Properties
| Form | Liquid |
|---|---|
| Purification | Antibodies were produced by immunizing rabbits with KLH-conjugated synthetic phosphopeptide. Antibodies were purified by affinity-chromatography using epitope-specific phosphopeptide. In addition, non-phospho specific antibodies were removed by chromatogramphy using non-phosphopeptide. |
| Buffer | PBS (without Mg2+ and Ca2+, pH 7.4), 150mM NaCl, 0.02% Sodium azide and 50% Glycerol. |
| Preservative | 0.02% Sodium azide |
| Stabilizer | 50% Glycerol |
| Concentration | 1 mg/ml |
| Storage Instruction | For continuous use, store undiluted antibody at 2-8°C for up to a week. For long-term storage, aliquot and store at -20°C. Storage in frost free freezers is not recommended. Avoid repeated freeze/thaw cycles. Suggest spin the vial prior to opening. The antibody solution should be gently mixed before use. |
| Note | For laboratory research only, not for drug, diagnostic or other use. |
Bioinformation
| Database Links | |
|---|---|
| Gene Symbol | DOK2 |
| Gene Full Name | docking protein 2, 56kDa |
| Background | DOK proteins are enzymatically inert adaptor or scaffolding proteins. They provide a docking platform for the assembly of multimolecular signaling complexes. DOK2 may modulate the cellular proliferation induced by IL-4, as well as IL-2 and IL-3. May be involved in modulating Bcr-Abl signaling. Attenuates EGF-stimulated MAP kinase activation |
| Function | DOK proteins are enzymatically inert adaptor or scaffolding proteins. They provide a docking platform for the assembly of multimolecular signaling complexes. DOK2 may modulate the cellular proliferation induced by IL-4, as well as IL-2 and IL-3. May be involved in modulating Bcr-Abl signaling. Attenuates EGF-stimulated MAP kinase activation (By similarity). [UniProt] |
| Research Area | Cancer antibody; Signaling Transduction antibody |
| Calculated MW | 45 kDa |
| PTM | On immunoreceptor stimulation, phosphorylated on C-terminal tyrosine residues. Phosphorylation on Tyr-345 is required for binding to the SH2 domain of NCK. Phosphorylation on both Tyr-271 and Tyr-299 is required for interaction with RASGAP. Phosphorylated on tyrosine residues by TEK/TIE2 (By similarity). |
Images (4) Click the Picture to Zoom In
-
ARG51759 anti-DOK2 phospho (Tyr299) antibody WB image
Western blot: Extracts from Jurkat cells untreated or treated with insulin stained with ARG51759 anti-DOK2 phospho (Tyr299) antibody.
-
ARG51759 anti-DOK2 phospho (Tyr299) antibody WB image
Western blot: Extracts from JK cells, treated with G-CSF or calf intestinal phosphatase (CIP), stained with ARG51759 anti-DOK2 phospho (Tyr299) antibody.
-
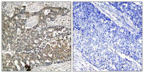
ARG51759 anti-DOK2 phospho (Tyr299) antibody IHC-P image
Immunohistochemistry: Paraffin-embedded Human breast carcinoma tissue stained with ARG51759 anti-DOK2 phospho (Tyr299) antibody (left) or the same antibody preincubated with blocking peptide (right).
-
ARG51759 anti-DOK2 phospho (Tyr299) antibody ICC/IF image
Immunofluorescence: methanol-fixed HeLa cells stained with ARG51759 anti-DOK2 phospho (Tyr299) antibody.
