ARG43127
anti-DOK7 antibody
anti-DOK7 antibody for IHC-Formalin-fixed paraffin-embedded sections,Western blot and Human,Mouse,Rat
Overview
| Product Description | Rabbit Polyclonal antibody recognizes DOK7 |
|---|---|
| Tested Reactivity | Hu, Ms, Rat |
| Tested Application | IHC-P, WB |
| Host | Rabbit |
| Clonality | Polyclonal |
| Isotype | IgG |
| Target Name | DOK7 |
| Antigen Species | Human |
| Immunogen | Synthetic peptide corresponding to a sequence of Human DOK7. (STVEERVAQEALETLQLEKRLSLLSHAGR) |
| Conjugation | Un-conjugated |
| Alternate Names | CMS10; Protein Dok-7; CMS1B; C4orf25; Downstream of tyrosine kinase 7 |
Application Instructions
| Application Suggestion |
|
||||||
|---|---|---|---|---|---|---|---|
| Application Note | IHC-P: Antigen Retrieval: Heat mediation was performed in Citrate buffer (pH 6.0) for 20 min. * The dilutions indicate recommended starting dilutions and the optimal dilutions or concentrations should be determined by the scientist. |
||||||
| Observed Size | ~ 65 kDa |
Properties
| Form | Liquid |
|---|---|
| Purification | Immunogen affinity purified. |
| Buffer | 0.2% Na2HPO4, 0.9% NaCl, 0.05% Sodium azide and 4% Trehalose. |
| Preservative | 0.05% Sodium azide |
| Stabilizer | 4% Trehalose |
| Concentration | 0.5 mg/ml |
| Storage Instruction | For continuous use, store undiluted antibody at 2-8°C for up to a week. For long-term storage, aliquot and store at -20°C or below. Storage in frost free freezers is not recommended. Avoid repeated freeze/thaw cycles. Suggest spin the vial prior to opening. The antibody solution should be gently mixed before use. |
| Note | For laboratory research only, not for drug, diagnostic or other use. |
Bioinformation
| Database Links | |
|---|---|
| Gene Symbol | DOK7 |
| Gene Full Name | docking protein 7 |
| Background | The protein encoded by this gene is essential for neuromuscular synaptogenesis. The protein functions in aneural activation of muscle-specific receptor kinase, which is required for postsynaptic differentiation, and in the subsequent clustering of the acetylcholine receptor in myotubes. This protein can also induce autophosphorylation of muscle-specific receptor kinase. Mutations in this gene are a cause of familial limb-girdle myasthenia autosomal recessive, which is also known as congenital myasthenic syndrome type 1B. Alternative splicing results in multiple transcript variants. [provided by RefSeq, Sep 2009] |
| Function | Probable muscle-intrinsic activator of MUSK that plays an essential role in neuromuscular synaptogenesis. Acts in aneural activation of MUSK and subsequent acetylcholine receptor (AchR) clustering in myotubes. Induces autophosphorylation of MUSK. [UniProt] |
| Cellular Localization | Cell membrane; Peripheral membrane protein. Cell junction, synapse. Note=Accumulates at neuromuscular junctions. [UniProt] |
| Calculated MW | 53 kDa |
Images (5) Click the Picture to Zoom In
-
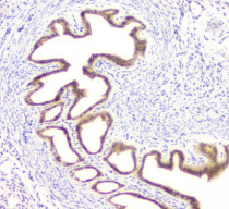
ARG43127 anti-DOK7 antibody IHC-P image
Immunohistochemistry: Paraffin-embedded Rat ovary tissue. Antigen Retrieval: Heat mediation was performed in Citrate buffer (pH 6.0) for 20 min. The tissue section was blocked with 10% goat serum. The tissue section was then stained with ARG43127 anti-DOK7 antibody at 1 µg/ml dilution, overnight at 4°C.
-
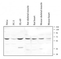
ARG43127 anti-DOK7 antibody WB image
Western blot: 50 µg of sample under reducing conditions. HeLa, PC-3, HL-60, Rat skeletal muscle, Rat heart, Mouse skeletal muscle and Mouse heart lysates stained with ARG43127 anti-DOK7 antibody at 0.5 µg/ml dilution, overnight at 4°C.
-
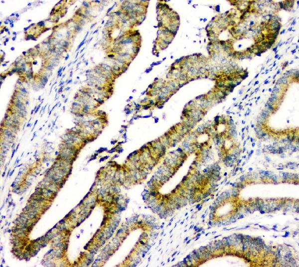
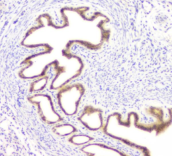
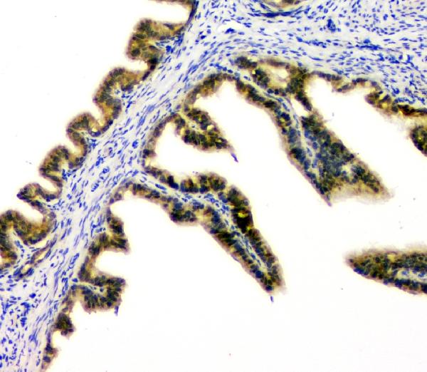
ARG43127 anti-DOK7 antibody IHC-P image
Immunohistochemistry: Paraffin-embedded Human intestinal cancer tissue. Antigen Retrieval: Heat mediation was performed in Citrate buffer (pH 6.0) for 20 min. The tissue section was blocked with 10% goat serum. The tissue section was then stained with ARG43127 anti-DOK7 antibody at 1 µg/ml dilution, overnight at 4°C.
-
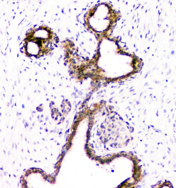
ARG43127 anti-DOK7 antibody IHC-P image
Immunohistochemistry: Paraffin-embedded Human mammary cancer tissue. Antigen Retrieval: Heat mediation was performed in Citrate buffer (pH 6.0) for 20 min. The tissue section was blocked with 10% goat serum. The tissue section was then stained with ARG43127 anti-DOK7 antibody at 1 µg/ml dilution, overnight at 4°C.
-
ARG43127 anti-DOK7 antibody IHC-P image
Immunohistochemistry: Paraffin-embedded Mouse ovary tissue. Antigen Retrieval: Heat mediation was performed in Citrate buffer (pH 6.0) for 20 min. The tissue section was blocked with 10% goat serum. The tissue section was then stained with ARG43127 anti-DOK7 antibody at 1 µg/ml dilution, overnight at 4°C.
