ARG64721
anti-DPM1 antibody
anti-DPM1 antibody for IHC-Formalin-fixed paraffin-embedded sections,Western blot and Human
Controls and Markers antibody
Overview
| Product Description | Goat Polyclonal antibody recognizes DPM1 |
|---|---|
| Tested Reactivity | Hu |
| Tested Application | IHC-P, WB |
| Host | Goat |
| Clonality | Polyclonal |
| Isotype | IgG |
| Target Name | DPM1 |
| Antigen Species | Human |
| Immunogen | RELEVRSPRQNKYS-C |
| Conjugation | Un-conjugated |
| Alternate Names | Mannose-P-dolichol synthase subunit 1; Dolichol-phosphate mannosyltransferase subunit 1; Dolichyl-phosphate beta-D-mannosyltransferase subunit 1; DPM synthase subunit 1; EC 2.4.1.83; MPD synthase subunit 1; MPDS; CDGIE; Dolichol-phosphate mannose synthase subunit 1 |
Application Instructions
| Application Suggestion |
|
||||||
|---|---|---|---|---|---|---|---|
| Application Note | WB: Recommend incubate at RT for 1h. IHC-P: Antigen Retrieval: Steam tissue section in Citrate buffer (pH 6.0). * The dilutions indicate recommended starting dilutions and the optimal dilutions or concentrations should be determined by the scientist. |
Properties
| Form | Liquid |
|---|---|
| Purification | Purified from goat serum by antigen affinity chromatography. |
| Buffer | Tris saline (pH 7.3), 0.02% Sodium azide and 0.5% BSA. |
| Preservative | 0.02% Sodium azide |
| Stabilizer | 0.5% BSA |
| Concentration | 0.5 mg/ml |
| Storage Instruction | For continuous use, store undiluted antibody at 2-8°C for up to a week. For long-term storage, aliquot and store at -20°C or below. Storage in frost free freezers is not recommended. Avoid repeated freeze/thaw cycles. Suggest spin the vial prior to opening. The antibody solution should be gently mixed before use. |
| Note | For laboratory research only, not for drug, diagnostic or other use. |
Bioinformation
| Database Links |
Swiss-port # O60762 Human Dolichol-phosphate mannosyltransferase subunit 1 |
|---|---|
| Background | Dolichol-phosphate mannose (Dol-P-Man) serves as a donor of mannosyl residues on the lumenal side of the endoplasmic reticulum (ER). Lack of Dol-P-Man results in defective surface expression of GPI-anchored proteins. Dol-P-Man is synthesized from GDP-mannose and dolichol-phosphate on the cytosolic side of the ER by the enzyme dolichyl-phosphate mannosyltransferase. Human DPM1 lacks a carboxy-terminal transmembrane domain and signal sequence and is regulated by DPM2. [provided by RefSeq, Jul 2008] |
| Research Area | Controls and Markers antibody |
| Calculated MW | 30 kDa |
Images (2) Click the Picture to Zoom In
-
ARG64721 anti-DPM1 antibody WB image
Western Blot: Human Liver lysate (35 µg protein in RIPA buffer) stained with ARG64721 anti-DPM1 antibody at 0.1 µg/ml dilution.
-
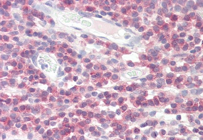
ARG64721 anti-DPM1 antibody IHC-P image
Immunohistochemistry: Paraffin-embedded Human tonsil tissue. Antigen Retrieval: Steam tissue section in Citrate buffer (pH 6.0). The tissue section was stained with ARG64721 anti-DPM1 antibody at 3.75 µg/ml dilution followed by AP-staining.
