ARG40115
anti-DPPA4 antibody
anti-DPPA4 antibody for IHC-Formalin-fixed paraffin-embedded sections,Western blot and Human
Overview
| Product Description | Rabbit Polyclonal antibody recognizes DPPA4 |
|---|---|
| Tested Reactivity | Hu |
| Tested Application | IHC-P, WB |
| Host | Rabbit |
| Clonality | Polyclonal |
| Isotype | IgG |
| Target Name | DPPA4 |
| Antigen Species | Human |
| Immunogen | KLH-conjugated synthetic peptide corresponding to aa. 50-79 of Human DPPA4. |
| Conjugation | Un-conjugated |
| Alternate Names | 2410091M23Rik; Developmental pluripotency-associated protein 4 |
Application Instructions
| Application Suggestion |
|
||||||
|---|---|---|---|---|---|---|---|
| Application Note | IHC-P: Antigen Retrieval: Heat mediation was performed in Citrate buffer (pH 6.0). * The dilutions indicate recommended starting dilutions and the optimal dilutions or concentrations should be determined by the scientist. |
||||||
| Positive Control | CEM |
Properties
| Form | Liquid |
|---|---|
| Purification | Purification with Protein A and immunogen peptide. |
| Buffer | PBS and 0.09% (W/V) Sodium azide. |
| Preservative | 0.09% (W/V) Sodium azide. |
| Storage Instruction | For continuous use, store undiluted antibody at 2-8°C for up to a week. For long-term storage, aliquot and store at -20°C or below. Storage in frost free freezers is not recommended. Avoid repeated freeze/thaw cycles. Suggest spin the vial prior to opening. The antibody solution should be gently mixed before use. |
| Note | For laboratory research only, not for drug, diagnostic or other use. |
Bioinformation
| Database Links |
Swiss-port # Q7L190 Human Developmental pluripotency-associated protein 4 |
|---|---|
| Gene Symbol | DPPA4 |
| Gene Full Name | developmental pluripotency associated 4 |
| Function | May be involved in the maintenance of active epigenetic status of target genes. May inhibit differentiation of embryonic cells into a primitive ectoderm lineage. [UniProt] |
| Cellular Localization | Nucleus. Note=Associated with transcriptionally active chromatin. [UniProt] |
| Calculated MW | 34 kDa |
Images (2) Click the Picture to Zoom In
-
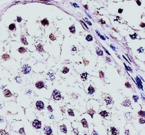
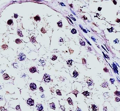
ARG40115 anti-DPPA4 antibody IHC-P image
Immunohistochemistry: Paraformaldehyde-fixed and paraffin-embedded Human testis was blocked with 3% BSA for 0.5 hour at RT. Antigen Retrieval: Heat mediation was performed in Citrate buffer (pH 6.0). Samples were stained with ARG40115 anti-DPPA4 antibody at 1:25 for 1 hour at 37°C.
-
ARG40115 anti-DPPA4 antibody WB image
Western blot: 35 µg of CEM cell lysate stained with ARG40115 anti-DPPA4 antibody.
