ARG58578
anti-DUT / Dutpase antibody
anti-DUT / Dutpase antibody for IHC-Formalin-fixed paraffin-embedded sections,Western blot and Human,Rat
Overview
| Product Description | Rabbit Polyclonal antibody recognizes DUT / Dutpase |
|---|---|
| Tested Reactivity | Hu, Rat |
| Tested Application | IHC-P, WB |
| Host | Rabbit |
| Clonality | Polyclonal |
| Isotype | IgG |
| Target Name | DUT / Dutpase |
| Antigen Species | Human |
| Immunogen | Synthetic peptide corresponding to aa. 212-229 of Human DUT. (KKGDRIAQLICERIFYPE) |
| Conjugation | Un-conjugated |
| Alternate Names | EC 3.6.1.23; dUTPase; Deoxyuridine 5'-triphosphate nucleotidohydrolase, mitochondrial; dUTP pyrophosphatase |
Application Instructions
| Application Suggestion |
|
||||||
|---|---|---|---|---|---|---|---|
| Application Note | IHC-P: Antigen Retrieval: Heat mediation was performed in Citrate buffer (pH 6.0) for 20 min. * The dilutions indicate recommended starting dilutions and the optimal dilutions or concentrations should be determined by the scientist. |
Properties
| Form | Liquid |
|---|---|
| Purification | Affinity purification with immunogen. |
| Buffer | 0.9% NaCl, 0.2% Na2HPO4, 0.05% Thimerosal, 0.05% Sodium azide and 5% BSA. |
| Preservative | 0.05% Thimerosal and 0.05% Sodium azide |
| Stabilizer | 5% BSA |
| Concentration | 0.5 mg/ml |
| Storage Instruction | For continuous use, store undiluted antibody at 2-8°C for up to a week. For long-term storage, aliquot and store at -20°C or below. Storage in frost free freezers is not recommended. Avoid repeated freeze/thaw cycles. Suggest spin the vial prior to opening. The antibody solution should be gently mixed before use. |
| Note | For laboratory research only, not for drug, diagnostic or other use. |
Bioinformation
| Database Links |
Swiss-port # P33316 Human Deoxyuridine 5'-triphosphate nucleotidohydrolase, mitochondrial Swiss-port # P70583 Rat Deoxyuridine 5'-triphosphate nucleotidohydrolase |
|---|---|
| Gene Symbol | DUT |
| Gene Full Name | deoxyuridine triphosphatase |
| Background | This gene encodes an essential enzyme of nucleotide metabolism. The encoded protein forms a ubiquitous, homotetrameric enzyme that hydrolyzes dUTP to dUMP and pyrophosphate. This reaction serves two cellular purposes: providing a precursor (dUMP) for the synthesis of thymine nucleotides needed for DNA replication, and limiting intracellular pools of dUTP. Elevated levels of dUTP lead to increased incorporation of uracil into DNA, which induces extensive excision repair mediated by uracil glycosylase. This repair process, resulting in the removal and reincorporation of dUTP, is self-defeating and leads to DNA fragmentation and cell death. Alternative splicing of this gene leads to different isoforms that localize to either the mitochondrion or nucleus. A related pseudogene is located on chromosome 19. [provided by RefSeq, Jul 2008] |
| Function | This enzyme is involved in nucleotide metabolism: it produces dUMP, the immediate precursor of thymidine nucleotides and it decreases the intracellular concentration of dUTP so that uracil cannot be incorporated into DNA. [UniProt] |
| Cellular Localization | Isoform 2: Nucleus. [UniProt] |
| Calculated MW | 27 kDa |
| PTM | Nuclear isoform 2 is phosphorylated in vivo on Ser-11, a reaction that can be catalyzed in vitro by CDC2. Phosphorylation in mature T-cells occurs in a cell cycle-dependent manner. Isoform 3 is not phosphorylated. [UniProt] |
Images (3) Click the Picture to Zoom In
-
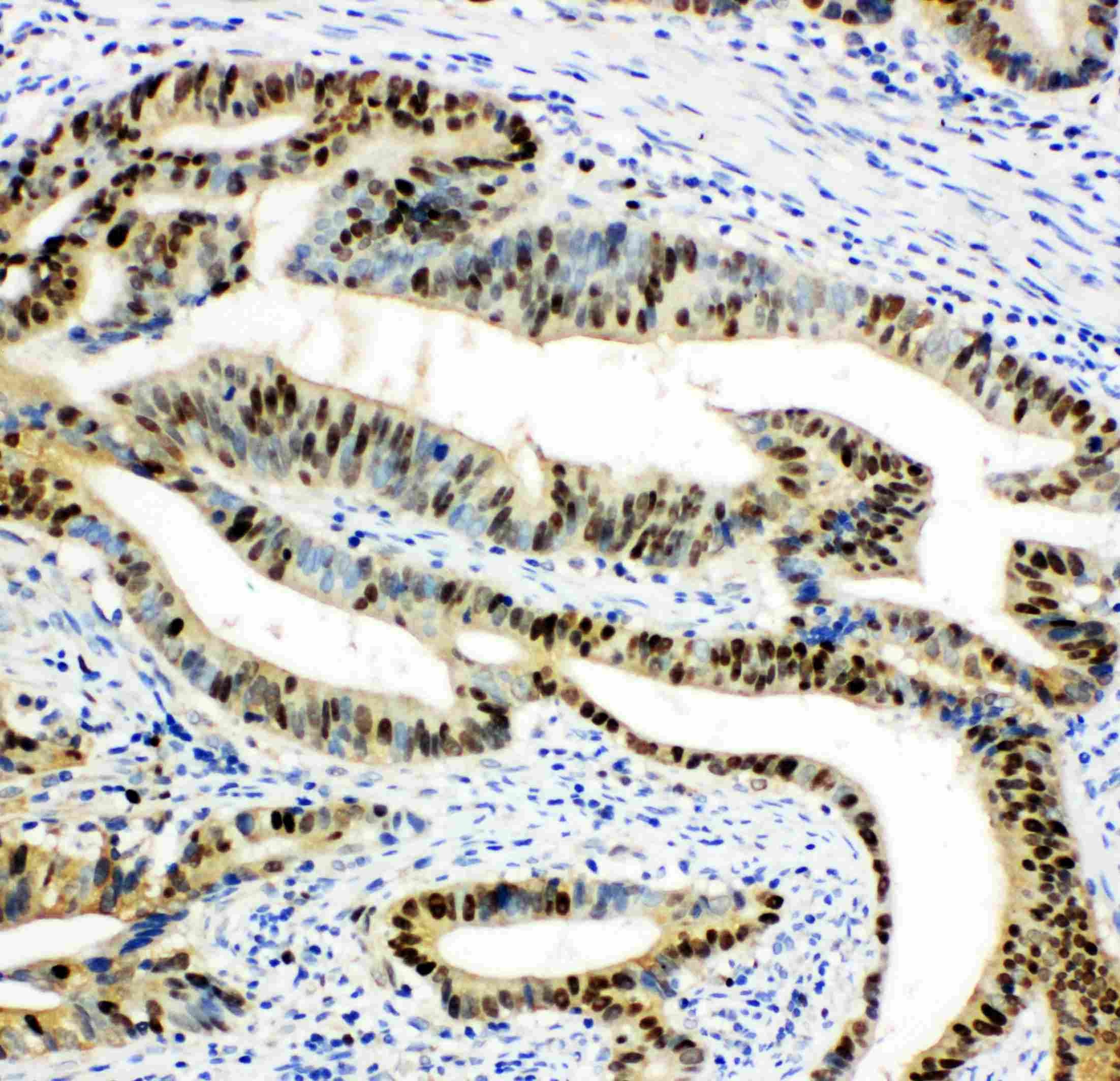
ARG58578 anti-DUT / Dutpase antibody IHC-P image
Immunohistochemistry: Paraffin-embedded Human Intestinal Cancer Tissue stained with ARG58578 anti-DUT / Dutpase antibody.
-
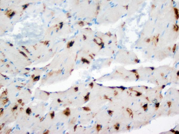
ARG58578 anti-DUT / Dutpase antibody IHC-P image
Immunohistochemistry: Paraffin-embedded Rat heart tissue. Antigen Retrieval: Heat mediation was performed in Citrate buffer (pH 6.0) for 20 min. The tissue section was blocked with 10% goat serum. The tissue section was then stained with ARG58578 anti-DUT / Dutpase antibody at 1 µg/ml dilution, overnight at 4°C.
-
ARG58578 anti-DUT / Dutpase antibody WB image
Western blot: 40 µg of HeLa whole cell lysate and SMMC whole cell lysate stained with ARG58578 anti-DUT / Dutpase antibody at 0.5 µg/ml dilution.
