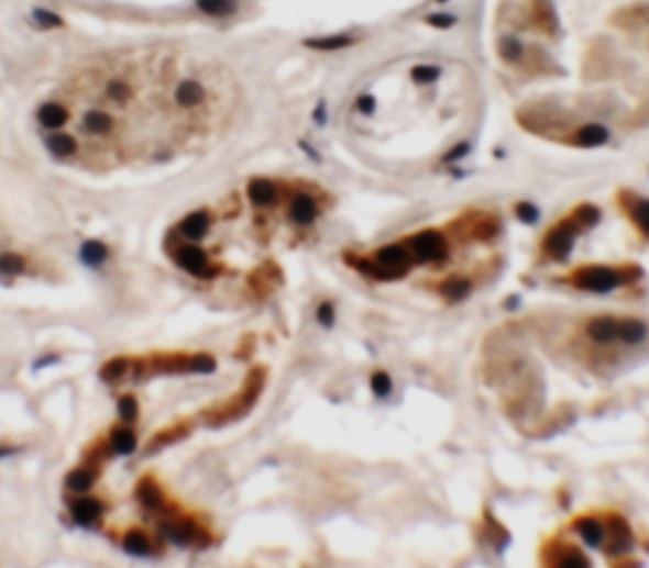
ARG46112
anti-Dbx 1 antibody
anti-Dbx 1 antibody for Western blot,IHC-Formalin-fixed paraffin-embedded sections and Human,Mouse,Rat
Overview
| Product Description | Rabbit Polyclonal antibody recognizes Dbx 1 |
|---|---|
| Tested Reactivity | Hu, Ms, Rat |
| Tested Application | IHC-P, WB |
| Host | Rabbit |
| Clonality | Polyclonal |
| Isotype | IgG |
| Target Name | Dbx 1 |
| Antigen Species | Human |
| Immunogen | A 15 amino acid synthetic peptide within aa. 100 - 150 of human Dbx 1. |
| Conjugation | Un-conjugated |
| Alternate Names | DBX1; Dbx; Homeobox protein DBX1; AI426026; Developing brain homeobox protein 1 |
Application Instructions
| Application Suggestion |
|
||||||
|---|---|---|---|---|---|---|---|
| Application Note | * The dilutions indicate recommended starting dilutions and the optimal dilutions or concentrations should be determined by the scientist. |
Properties
| Purification | Affinity chromatography purified |
|---|---|
| Buffer | PBS and 0.02% Sodium azide. |
| Preservative | 0.02% Sodium azide |
| Concentration | 1 mg/ml |
| Storage Instruction | For continuous use, store undiluted antibody at 2-8°C for up to a week. For long-term storage, aliquot and store at -20°C. Storage in frost free freezers is not recommended. Avoid repeated freeze/thaw cycles. Suggest spin the vial prior to opening. The antibody solution should be gently mixed before use. |
| Note | For laboratory research only, not for drug, diagnostic or other use. |
Bioinformation
| Database Links | |
|---|---|
| Gene Symbol | DBX1 |
| Gene Full Name | developing brain homeobox 1 |
| Function | Could have a role in patterning the central nervous system during embryogenesis. Has a key role in regulating the distinct phenotypic features that distinguish two major classes of ventral interneurons, V0 and V1 neurons. Regulates the transcription factor profile, neurotransmitter phenotype, intraspinal migratory path and axonal trajectory of V0 neurons, features that differentiate them from an adjacent set of V1 neurons. [UniProt] |
| Cellular Localization | Nucleus. |
| Calculated MW | 37 kDa |
Images (2) Click the Picture to Zoom In
