ARG58508
anti-Dermatopontin antibody
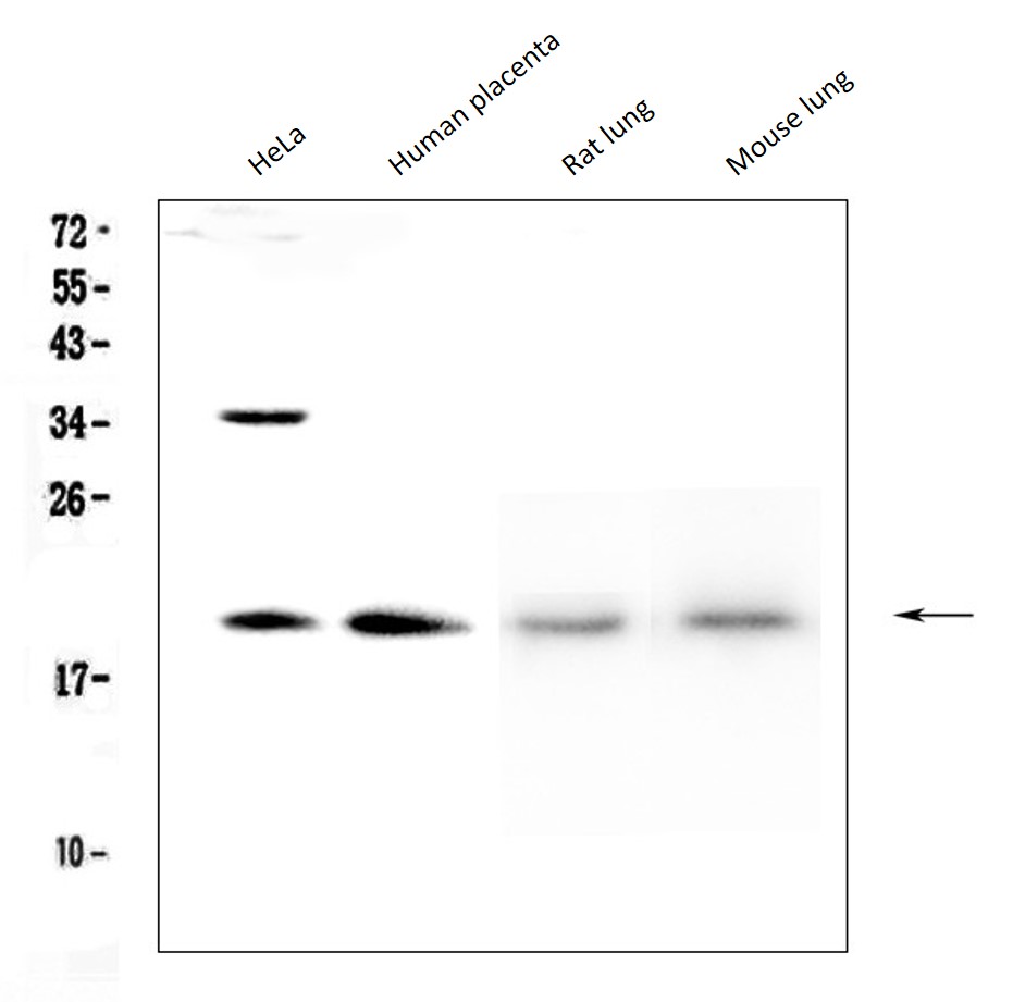
anti-Dermatopontin antibody for Western blot and Human,Mouse,Rat
Overview
| Product Description | Rabbit Polyclonal antibody recognizes Dermatopontin |
|---|---|
| Tested Reactivity | Hu, Ms, Rat |
| Tested Application | WB |
| Host | Rabbit |
| Clonality | Polyclonal |
| Isotype | IgG |
| Target Name | Dermatopontin |
| Antigen Species | Human |
| Immunogen | E. coli-derived Human Dermatopontin recombinant protein (Position: Q19-V201). |
| Conjugation | Un-conjugated |
| Alternate Names | TRAMP; Tyrosine-rich acidic matrix protein; Dermatopontin |
Application Instructions
| Application Suggestion |
|
||||
|---|---|---|---|---|---|
| Application Note | * The dilutions indicate recommended starting dilutions and the optimal dilutions or concentrations should be determined by the scientist. |
Properties
| Form | Liquid |
|---|---|
| Buffer | 0.9% NaCl, 0.2% Na2HPO4, 0.05% Sodium azide and 4% Trehalose. |
| Preservative | 0.05% Sodium azide |
| Stabilizer | 4% Trehalose |
| Concentration | 0.5 mg/ml |
| Storage Instruction | For continuous use, store undiluted antibody at 2-8°C for up to a week. For long-term storage, aliquot and store at -20°C or below. Storage in frost free freezers is not recommended. Avoid repeated freeze/thaw cycles. Suggest spin the vial prior to opening. The antibody solution should be gently mixed before use. |
| Note | For laboratory research only, not for drug, diagnostic or other use. |
Bioinformation
| Database Links | |
|---|---|
| Gene Symbol | DPT |
| Gene Full Name | dermatopontin |
| Background | Dermatopontin is an extracellular matrix protein with possible functions in cell-matrix interactions and matrix assembly. The protein is found in various tissues and many of its tyrosine residues are sulphated. Dermatopontin is postulated to modify the behavior of TGF-beta through interaction with decorin. [provided by RefSeq, Jul 2008] |
| Function | Seems to mediate adhesion by cell surface integrin binding. May serve as a communication link between the dermal fibroblast cell surface and its extracellular matrix environment. Enhances TGFB1 activity. Inhibits cell proliferation. Accelerates collagen fibril formation, and stabilizes collagen fibrils against low-temperature dissociation (By similarity). [UniProt] |
| Cellular Localization | Secreted, extracellular space, extracellular matrix. [UniProt] |
| Calculated MW | 24 kDa |
| PTM | Sulfated on tyrosine residue(s). [UniProt] |
Images (1) Click the Picture to Zoom In
