ARG63464
anti-Dicarbonyl Reductase antibody
anti-Dicarbonyl Reductase antibody for IHC-Formalin-fixed paraffin-embedded sections,Western blot and Human
Metabolism antibody; Signaling Transduction antibody
Overview
| Product Description | Goat Polyclonal antibody recognizes Dicarbonyl Reductase |
|---|---|
| Tested Reactivity | Hu |
| Tested Application | IHC-P, WB |
| Host | Goat |
| Clonality | Polyclonal |
| Isotype | IgG |
| Target Name | Dicarbonyl Reductase |
| Antigen Species | Human |
| Immunogen | GSTLPVEGGFWAC |
| Conjugation | Un-conjugated |
| Alternate Names | PNTSU; Sperm surface protein P34H; EC 1.1.1.10; Kidney dicarbonyl reductase; HCRII; kiDCR; Short chain dehydrogenase/reductase family 20C member 1; KIDCR; Carbonyl reductase II; SDR20C1; Dicarbonyl/L-xylulose reductase; XR; P34H; DCR; L-xylulose reductase; HCR2 |
Application Instructions
| Application Suggestion |
|
||||||
|---|---|---|---|---|---|---|---|
| Application Note | IHC-P: Antigen Retrieval: Microwaved tissue section in Citrate buffer (pH 6.0). WB: Recommend incubate at RT for 1h. * The dilutions indicate recommended starting dilutions and the optimal dilutions or concentrations should be determined by the scientist. |
Properties
| Form | Liquid |
|---|---|
| Purification | Purified from goat serum by antigen affinity chromatography. |
| Buffer | Tris saline (pH 7.3), 0.02% Sodium azide and 0.5% BSA. |
| Preservative | 0.02% Sodium azide |
| Stabilizer | 0.5% BSA |
| Concentration | 0.5 mg/ml |
| Storage Instruction | For continuous use, store undiluted antibody at 2-8°C for up to a week. For long-term storage, aliquot and store at -20°C or below. Storage in frost free freezers is not recommended. Avoid repeated freeze/thaw cycles. Suggest spin the vial prior to opening. The antibody solution should be gently mixed before use. |
| Note | For laboratory research only, not for drug, diagnostic or other use. |
Bioinformation
| Database Links | |
|---|---|
| Background | The protein encoded by this gene acts as a homotetramer to catalyze diacetyl reductase and L-xylulose reductase reactions. The encoded protein may play a role in the uronate cycle of glucose metabolism and in the cellular osmoregulation in the proximal renal tubules. Defects in this gene are a cause of pentosuria. Two transcript variants encoding different isoforms have been found for this gene.[provided by RefSeq, Aug 2010] |
| Research Area | Metabolism antibody; Signaling Transduction antibody |
| Calculated MW | 26 kDa |
Images (2) Click the Picture to Zoom In
-
ARG63464 anti-Dicarbonyl Reductase antibody WB image
Western Blot: human kidney lysate (RIPA buffer, 35 µg total protein per lane) stained with ARG63464 anti-DCXR antibody at 0.1 µg/ml dilution.
-
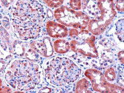
ARG63464 anti-Dicarbonyl Reductase antibody IHC-P image
Immunohistochemistry: paraffin embedded human kidney. (Microwaved antigen retrieval with citrate buffer pH 6) stained with ARG63464 anti-DCXR antibody at 1 µg/ml dilution followed by HRP-staining.
