ARG58513
anti-E2F4 antibody
anti-E2F4 antibody for IHC-Formalin-fixed paraffin-embedded sections,Western blot and Human,Mouse,Rat
Overview
| Product Description | Rabbit Polyclonal antibody recognizes E2F4 |
|---|---|
| Tested Reactivity | Hu, Ms, Rat |
| Tested Application | IHC-P, WB |
| Host | Rabbit |
| Clonality | Polyclonal |
| Isotype | IgG |
| Target Name | E2F4 |
| Antigen Species | Human |
| Immunogen | Synthetic peptide corresponding to a sequence at the N-terminus of Human E2F4 (106-144aa ELQQREQELDQHKVWVQQSIRNVTEDVQNSCLAYVTHED), identical to the related Mouse and Rat sequences. |
| Conjugation | Un-conjugated |
| Alternate Names | E2F-4; Transcription factor E2F4 |
Application Instructions
| Application Suggestion |
|
||||||
|---|---|---|---|---|---|---|---|
| Application Note | IHC-P: Antigen Retrieval: By heat mediation. * The dilutions indicate recommended starting dilutions and the optimal dilutions or concentrations should be determined by the scientist. |
Properties
| Form | Liquid |
|---|---|
| Purification | Affinity purification with immunogen. |
| Buffer | 0.9% NaCl, 0.2% Na2HPO4, 0.05% Sodium azide and 5% BSA. |
| Preservative | 0.05% Sodium azide |
| Stabilizer | 5% BSA |
| Concentration | 0.5 mg/ml |
| Storage Instruction | For continuous use, store undiluted antibody at 2-8°C for up to a week. For long-term storage, aliquot and store at -20°C or below. Storage in frost free freezers is not recommended. Avoid repeated freeze/thaw cycles. Suggest spin the vial prior to opening. The antibody solution should be gently mixed before use. |
| Note | For laboratory research only, not for drug, diagnostic or other use. |
Bioinformation
| Database Links | |
|---|---|
| Gene Symbol | E2F4 |
| Gene Full Name | E2F transcription factor 4, p107/p130-binding |
| Background | The protein encoded by this gene is a member of the E2F family of transcription factors. The E2F family plays a crucial role in the control of cell cycle and action of tumor suppressor proteins and is also a target of the transforming proteins of small DNA tumor viruses. The E2F proteins contain several evolutionally conserved domains found in most members of the family. These domains include a DNA binding domain, a dimerization domain which determines interaction with the differentiation regulated transcription factor proteins (DP), a transactivation domain enriched in acidic amino acids, and a tumor suppressor protein association domain which is embedded within the transactivation domain. This protein binds to all three of the tumor suppressor proteins pRB, p107 and p130, but with higher affinity to the last two. It plays an important role in the suppression of proliferation-associated genes, and its gene mutation and increased expression may be associated with human cancer. [provided by RefSeq, Jul 2008] |
| Function | Transcription activator that binds DNA cooperatively with DP proteins through the E2 recognition site, 5'-TTTC[CG]CGC-3' found in the promoter region of a number of genes whose products are involved in cell cycle regulation or in DNA replication. The DRTF1/E2F complex functions in the control of cell-cycle progression from G1 to S phase. E2F4 binds with high affinity to RBL1 and RBL2. In some instances can also bind RB1. Specifically required for multiciliate cell differentiation: together with MCIDAS and E2F5, binds and activate genes required for centriole biogenesis. [UniProt] |
| Cellular Localization | Nucleus. [UniProt] |
| Calculated MW | 44 kDa |
| PTM | Differentially phosphorylated in vivo. [UniProt] |
Images (4) Click the Picture to Zoom In
-
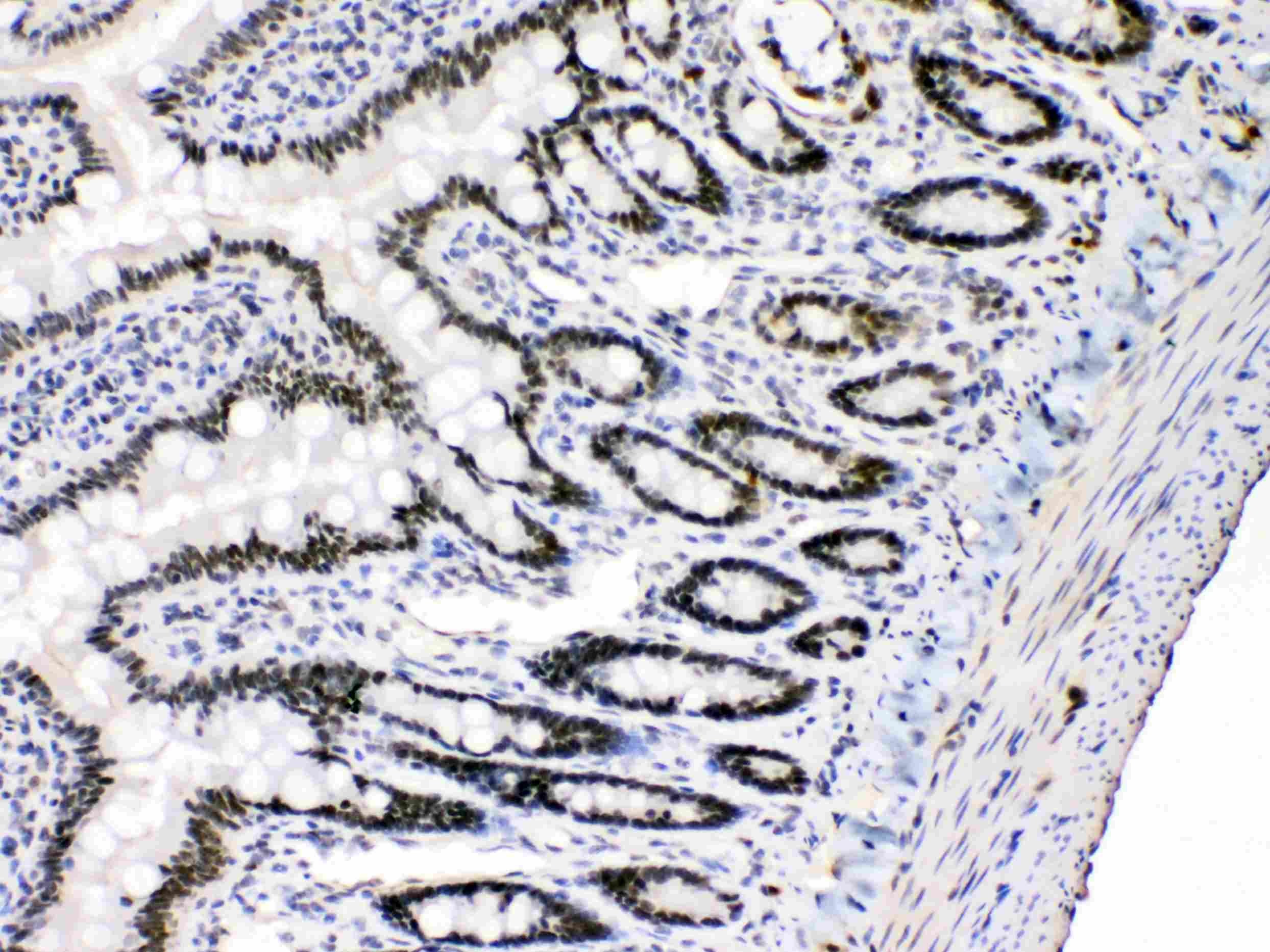
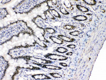
ARG58513 anti-E2F4 antibody IHC-P image
Immunohistochemistry: Paraffin-embedded Mouse intestine stained with ARG58513 anti-E2F4 antibody at 1 µg/ml dilution.
-
ARG58513 anti-E2F4 antibody WB image
Western blot: HeLa, U20S and MCF-7 whole cell lysates stained with ARG58513 anti-E2F4 antibody at 0.5 µg/ml dilution.
-
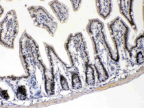
ARG58513 anti-E2F4 antibody IHC-P image
Immunohistochemistry: Paraffin-embedded Rat intestine stained with ARG58513 anti-E2F4 antibody at 1 µg/ml dilution.
-
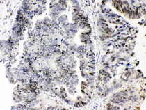
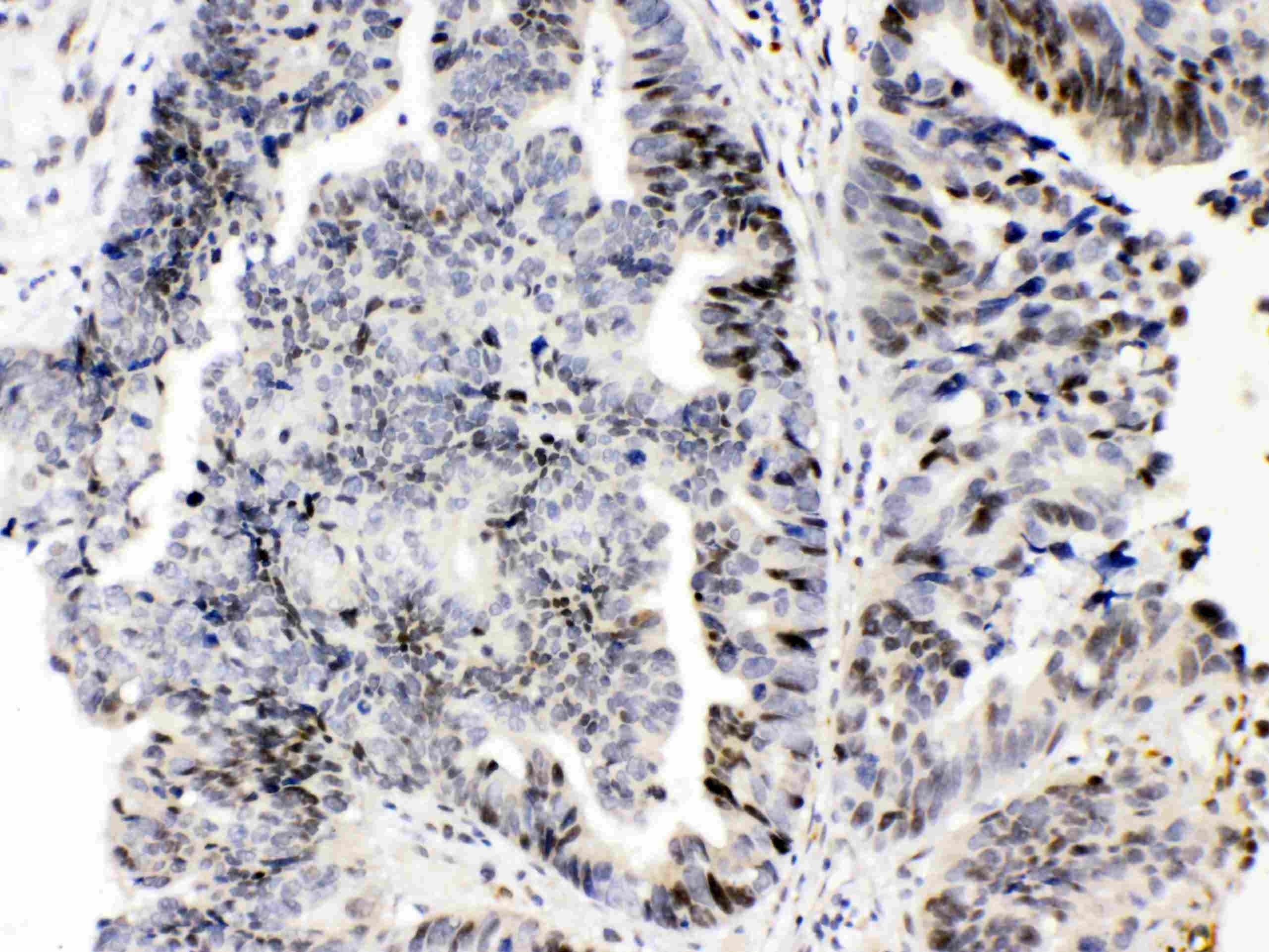
ARG58513 anti-E2F4 antibody IHC-P image
Immunohistochemistry: Paraffin-embedded Human intetsinal cancer stained with ARG58513 anti-E2F4 antibody at 1 µg/ml dilution.
