ARG58133
anti-EBAG9 / RCAS1 antibody
anti-EBAG9 / RCAS1 antibody for IHC-Formalin-fixed paraffin-embedded sections,Western blot and Human,Mouse,Rat
Overview
| Product Description | Rabbit Polyclonal antibody recognizes EBAG9 / RCAS1 |
|---|---|
| Tested Reactivity | Hu, Ms, Rat |
| Tested Application | IHC-P, WB |
| Host | Rabbit |
| Clonality | Polyclonal |
| Isotype | IgG |
| Target Name | EBAG9 / RCAS1 |
| Antigen Species | Human |
| Immunogen | Synthetic peptide corresponding to aa. 31-213 of Human EBAG9. |
| Conjugation | Un-conjugated |
| Alternate Names | Cancer-associated surface antigen RCAS1; Receptor-binding cancer antigen expressed on SiSo cells; Estrogen receptor-binding fragment-associated gene 9 protein; EB9; PDAF |
Application Instructions
| Application Suggestion |
|
||||||
|---|---|---|---|---|---|---|---|
| Application Note | IHC-P: Antigen Retrieval: Boil tissue section in 10mM Citrate buffer (pH 6.0) for 20 min followed by cooling at RT. * The dilutions indicate recommended starting dilutions and the optimal dilutions or concentrations should be determined by the scientist. |
Properties
| Form | Liquid |
|---|---|
| Purification | Affinity purification with immunogen. |
| Buffer | PBS, 0.025% Sodium azide and 2.5% BSA. |
| Preservative | 0.025% Sodium azide |
| Stabilizer | 2.5% BSA |
| Concentration | 0.5 mg/ml |
| Storage Instruction | For continuous use, store undiluted antibody at 2-8°C for up to a week. For long-term storage, aliquot and store at -20°C or below. Storage in frost free freezers is not recommended. Avoid repeated freeze/thaw cycles. Suggest spin the vial prior to opening. The antibody solution should be gently mixed before use. |
| Note | For laboratory research only, not for drug, diagnostic or other use. |
Bioinformation
| Database Links | |
|---|---|
| Gene Symbol | EBAG9 |
| Gene Full Name | estrogen receptor binding site associated, antigen, 9 |
| Background | This gene was identified as an estrogen-responsive gene. Regulation of transcription by estrogen is mediated by estrogen receptor, which binds to the estrogen-responsive element found in the 5'-flanking region of this gene. The encoded protein is a tumor-associated antigen that is expressed at high frequency in a variety of cancers. Alternate splicing results in multiple transcript variants. A pseudogene of this gene has been defined on chromosome 10. [provided by RefSeq, Jul 2013] |
| Function | May participate in suppression of cell proliferation and induces apoptotic cell death through activation of interleukin-1-beta converting enzyme (ICE)-like proteases. [UniProt] |
| Cellular Localization | Cytoplasmic. [UniProt] |
| Calculated MW | 24 kDa |
Images (4) Click the Picture to Zoom In
-
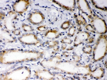
ARG58133 anti-EBAG9 / RCAS1 antibody IHC-P image
Immunohistochemistry: Formalin-fixed and paraffin-embedded Human prostate cancer tissue stained with ARG58133 anti-EBAG9 / RCAS1 antibody. Antigen Retrieval: Boil tissue section in 10mM Citrate buffer (pH 6.0) for 20 min followed by cooling at RT.
-
ARG58133 anti-EBAG9 / RCAS1 antibody WB image
Western blot: Rat testis, 22RV1, HeLa, MCF7 and Jurkat cell lysates stained with ARG58133 anti-EBAG9 / RCAS1 antibody.
-
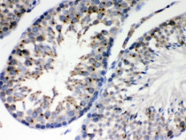
ARG58133 anti-EBAG9 / RCAS1 antibody IHC-P image
Immunohistochemistry: Formalin-fixed and paraffin-embedded Mouse testis stained with ARG58133 anti-EBAG9 / RCAS1 antibody. Antigen Retrieval: Boil tissue section in 10mM Citrate buffer (pH 6.0) for 20 min followed by cooling at RT.
-
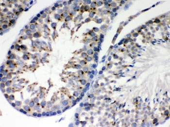
ARG58133 anti-EBAG9 / RCAS1 antibody IHC-P image
Immunohistochemistry: Formalin-fixed and paraffin-embedded Rat testis stained with ARG58133 anti-EBAG9 / RCAS1 antibody. Antigen Retrieval: Boil tissue section in 10mM Citrate buffer (pH 6.0) for 20 min followed by cooling at RT.
