ARG55949
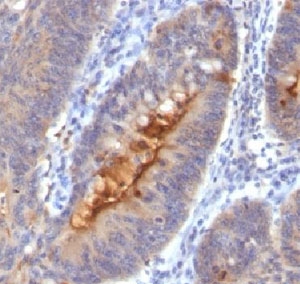
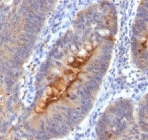
anti-ECM1 / Secretory Component antibody [SC05]
anti-ECM1 / Secretory Component antibody [SC05] for Flow cytometry,ICC/IF,IHC-Formalin-fixed paraffin-embedded sections and Human,Rat
Overview
| Product Description | Mouse Monoclonal antibody [SC05] recognizes ECM1 / Secretory Component |
|---|---|
| Tested Reactivity | Hu, Rat |
| Tested Application | FACS, ICC/IF, IHC-P |
| Host | Mouse |
| Clonality | Monoclonal |
| Clone | SC05 |
| Isotype | IgG1, kappa |
| Target Name | ECM1 / Secretory Component |
| Antigen Species | Human |
| Immunogen | Secretory component protein isolated from Human colostrum. |
| Conjugation | Un-conjugated |
| Alternate Names | URBWD; Extracellular matrix protein 1; Secretory component p85 |
Application Instructions
| Application Suggestion |
|
||||||||
|---|---|---|---|---|---|---|---|---|---|
| Application Note | IHC-P: Antigen Retrieval: Boil tissue section in 10 mM Citrate buffer (pH 6.0) for 10-20 min, followed by cooling at RT for 20 min. * The dilutions indicate recommended starting dilutions and the optimal dilutions or concentrations should be determined by the scientist. |
Properties
| Form | Liquid |
|---|---|
| Purification | Purification with Protein G. |
| Buffer | PBS (pH 7.4), 0.05% Sodium azide and 0.1 mg/ml BSA |
| Preservative | 0.05% Sodium azide |
| Stabilizer | 0.1 mg/ml BSA |
| Concentration | 0.2 mg/ml |
| Storage Instruction | For continuous use, store undiluted antibody at 2-8°C for up to a week. For long-term storage, aliquot and store at -20°C or below. Storage in frost free freezers is not recommended. Avoid repeated freeze/thaw cycles. Suggest spin the vial prior to opening. The antibody solution should be gently mixed before use. |
| Note | For laboratory research only, not for drug, diagnostic or other use. |
Bioinformation
| Database Links | |
|---|---|
| Gene Symbol | ECM1 |
| Gene Full Name | extracellular matrix protein 1 |
| Background | This gene encodes a soluble protein that is involved in endochondral bone formation, angiogenesis, and tumor biology. It also interacts with a variety of extracellular and structural proteins, contributing to the maintenance of skin integrity and homeostasis. Mutations in this gene are associated with lipoid proteinosis disorder (also known as hyalinosis cutis et mucosae or Urbach-Wiethe disease) that is characterized by generalized thickening of skin, mucosae and certain viscera. Alternatively spliced transcript variants encoding distinct isoforms have been described for this gene. [provided by RefSeq, Feb 2011] |
| Function | Involved in endochondral bone formation as negative regulator of bone mineralization. Stimulates the proliferation of endothelial cells and promotes angiogenesis. Inhibits MMP9 proteolytic activity. [UniProt] |
| Cellular Localization | Cell surface and cytoplasmic |
| Calculated MW | 61 kDa |
Images (1) Click the Picture to Zoom In
